Ruba

145 posts

Ruba

Ruba

@Ruba0e

4th year dental student | ✨

انضم Aralık 2022
326 يتبع281 المتابعون
Ruba
Ruba@Ruba0e·
Pediatric Clinic 🦷✨
Ruba tweet mediaRuba tweet mediaRuba tweet mediaRuba tweet media
Català
0
1
22
569
Ruba
Ruba@Ruba0e·
Complete Denture Placement ✨
Ruba tweet mediaRuba tweet mediaRuba tweet media
English
1
1
31
2.1K
Ruba
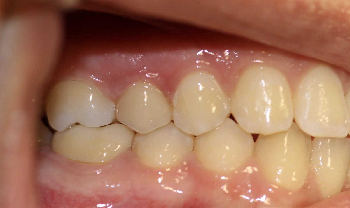
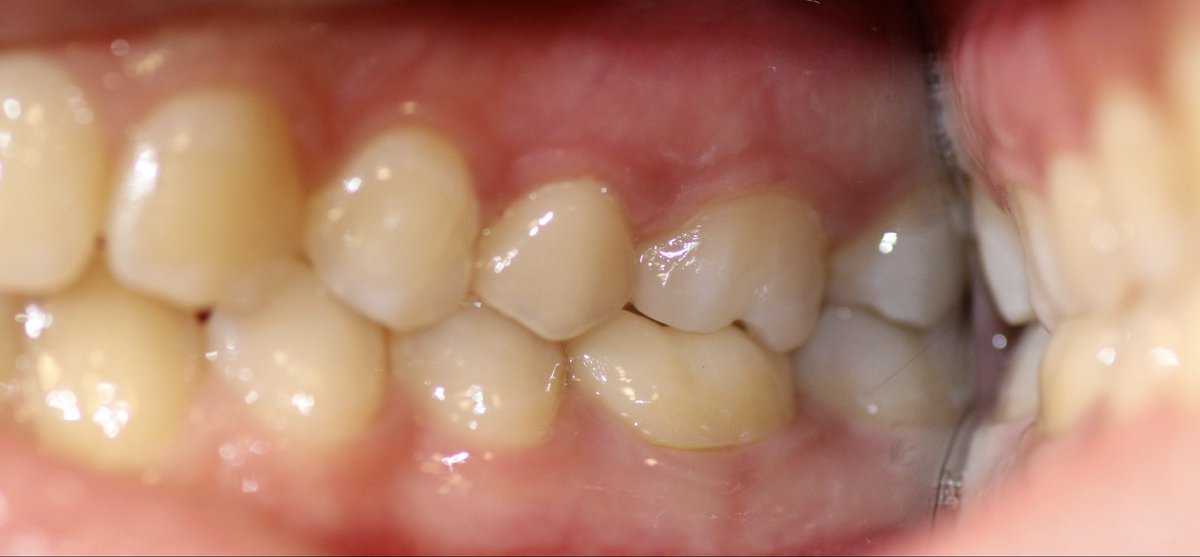
Ruba@Ruba0e·
Fixed case: E-max crown for #15 final result ✨
Ruba tweet mediaRuba tweet mediaRuba tweet mediaRuba tweet media
English
6
0
120
7K
Ruba
Ruba@Ruba0e·
Pediatric clinic ✨
Ruba tweet mediaRuba tweet media
Català
1
0
21
892
Ruba
Ruba@Ruba0e·
@itzReaam مبروك التخرج رئام منها للاعلى يارب 🤍
العربية
1
0
2
277
رِئام
رِئام@itzReaam·
﴿وآخِرُ دَعواهُم أَنِ الحمدُللَّهِ ربّ العَالمِين﴾ الحمدلله على التمام والشكر له حسن الختام تخرجت بفضل الله من كلية طب الأسنان بجامعة الملك سعود أي شرفٍ أحظى به، وأي سعادة تغمرني أن أكرمني الله بإلقاء كلمة الخريجات الحمدلله الذي ماتيقنت به خيرًا وأملًا إلا وأغرقني سرورًا❤️
رِئام tweet mediaرِئام tweet mediaرِئام tweet media
العربية
11
0
73
10K
Ruba
Ruba@Ruba0e·
@madawiq9 الف مبروك مضاوي منها للاعلى يارب وعقبال المناصب العليا 💕💕
العربية
1
0
1
209
Madawi Alqahtani
Madawi Alqahtani@madawiq9·
درست ما أحب وانتميت لما أؤمن به تخصص طب الاسنان، حيث الشغف والانتماء. ومضت الأيام والسنوات واليوم تم بحمد الله وتوفيقه تخرجي من كلية طب الاسنان بجامعة الملك سعود بتقدير ممتاز مع مرتبة الشرف الأولـى. شكري وامتناني أولًا لله، ثم لعائلتي الداعمة و سندي وظلي الدافئ دائمًا 🎓♥️.
Madawi Alqahtani tweet mediaMadawi Alqahtani tweet mediaMadawi Alqahtani tweet mediaMadawi Alqahtani tweet media
العربية
36
4
510
22.7K
Ruba
Ruba@Ruba0e·
@Asma_space الف مبروك أسماء ومنها للاعلى يارب 💕💕
العربية
1
0
1
166
Ruba
Ruba@Ruba0e·
@lena_dentist مبروك لينا وعقبال التخرج يارب ✨❤️❤️
العربية
1
0
1
198
Ruba
Ruba@Ruba0e·
Officially a junior dental student!! ✨ #3rdYearDone
Ruba tweet media
English
3
0
28
2.6K
Norah
Norah@NorahAlota·
3rd year Clinic ✅
Norah tweet media
English
1
0
28
2.4K
Ruba
Ruba@Ruba0e·
@AL_heba0 So glad we ended with those X-ray room moments!! It was a stressful but fun to see what u did 😂💕
English
1
0
1
150
Heba
Heba@AL_heba0·
For the end of this year, phantom lab, long days, all nerve wracking moments,x-ray rooms lines, laughs, sadness, happiness, joy, and fun. I am grateful الحمدلله♥️
Heba tweet media
English
5
0
21
1.6K
Ruba
Ruba@Ruba0e·
@lena_dentist ماشاءالله تبارك الله الف مبروك لينا 💕💕 🤩 والله يكتب أجرك يارب
العربية
1
0
2
197
لينا الشهراني
لينا الشهراني@lena_dentist·
الحمدلله على كُل تسخيره، دائماً وابداً ♥️.. #فريق_جامعة_الملك_سعود_للعمل_التطوعي
لينا الشهراني tweet media
العربية
15
1
70
7K
Ruba
Ruba@Ruba0e·
Prostho labs: DONE ✨🤩
Ruba tweet mediaRuba tweet media
English
0
0
29
2.5K
Ruba
Ruba@Ruba0e·
Today Resto Clinic 🦷
Ruba tweet mediaRuba tweet media
English
2
0
34
4.2K
Ruba
Ruba@Ruba0e·
Randoms ✨
Ruba tweet mediaRuba tweet mediaRuba tweet mediaRuba tweet media
Lietuvių
0
0
30
2.8K
Ruba
Ruba@Ruba0e·
Back ✨😶
Ruba tweet mediaRuba tweet mediaRuba tweet mediaRuba tweet media
English
1
0
23
2.2K
DENT 443
DENT 443@Dent1443·
السؤال الخامس والأخير سؤال الجائزة المميزة 😍 #فوازير_سَنون_رمضانيه
DENT 443 tweet media
العربية
8
0
2
756
DENT 443
DENT 443@Dent1443·
السؤال الأول #فوازير_سَنون_رمضانيه
DENT 443 tweet media
العربية
5
0
3
1.3K
DENT 443
DENT 443@Dent1443·
السؤال الثالث #فوازير_سَنون_رمضانيه
DENT 443 tweet media
العربية
9
0
3
551