
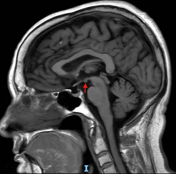
All models agree the image points to the mammillary body, with the key interpretation being Wernicke encephalopathy from alcohol-related thiamine deficiency; there is no notable disagreement beyond minor wording differences about the clinical triad and MRI appearance.
🤝 Model Agreement Score: 97/100
📋 Full case & discussion: medicalsphere.ai/cases/6c7255ae…
English










