Angehefteter Tweet
🫖 ..
5.3K posts


و عن شبابه فيما أبلاه
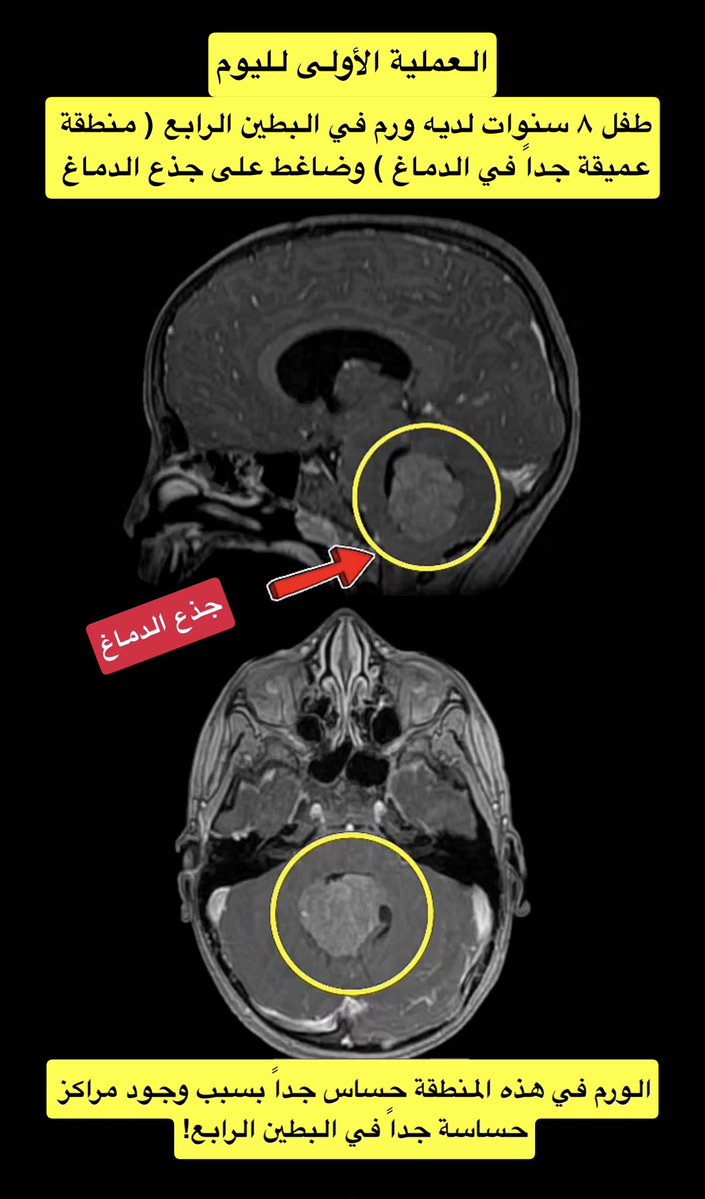
الدكتور #هاني_الجهني استشاري المخ و الاعصاب بغرفة العمليات يجري عملية ازالة ورم من قاع الدماغ لطفل عمره ٨ سنوات . اجريت العملية
بوضع الجلوس للمريض و الجراح
يقف على ركبتيه ..
هذه هي الكفاءات السعودية فخر لنا
و للوطن .. اللهم زده علماً و بارك في عمله ..
أبناء و بنات الوطن🇸🇦
#saudi
#Neurosurgeon
@DrHaniAljohani



العربية
🫖 .. retweetet


ليلة عمر 🤍
زواج أخي الأكبر عبدالعزيز …
@mesmmarr
جازا الله كل من تعنى وشرف، الله لا يرحمنا طيب دعاويكم



العربية

@as23_____ @cxc20f @ilil2p1 ودامك شايفته موضوع تافه سدي حلقك بنعال ليه كثر الهرج والبكبكة ذي وشوي وتموتين وانتي تدافعين عنه ؟
العربية

والله العظيم مايضحك وسخافه دام ذي تصرفاتكم لا تشرهون يوم الناس تضطر تكذب
ْ@Ladiibellla
اسم الداعم مت والله تحزن
العربية

@as23_____ @cxc20f @ilil2p1 انتي فيك صعوبات فهم ولا وش ؟ قلت تمثلنا لانها منتحلة والاغلب ما يدري وهي تقول انها سعودية بالتالي مصدقين كلامها
وبعدين اوه هي على غلط بس نسكت لين تسوي طامة وبعدين وقتها نفكر نقول انها مو سعودية ولا مننا ؟ وش العقلية الغبية ذي بسببكم صاروا يتمادون وكل من هب ودب يتلزق
العربية

@as23_____ @cxc20f @ilil2p1 لا والله ضرني ، ضرني لأنها جالسة تمثلنا وتتصدر المشهد باسمنا وبكرة لو سوت طامة او فضيحة بتنحسب على السعوديات والقبيلة اللي ادعتها كذب
و سكوتنا عن الأشكال ذي هو الي يخلي هويتنا مستباحة لكل من هب ودب ، هذا غير ان الانتساب لغير الأب والقبيلة ملعون صاحبه شرعاً ومجرّم قانوناً
العربية

@as23_____ @5Xsunshine_ عندنا كوفي يزين وافل وذا حشوته مرا يمييي !
واحس لو نفس الفكرة بس ينحط بعد الاستواء شرايح موز بوسطه بعد يطلع اححه😋

العربية

@corrgsz @Liala_555 شلون بلسم بسسسس😔💔مهما احاول اسوي زي كذا احس يبقى بالشعر مدري كيف مع ان الحنا حقي نظيف بس وسوسه الموضوع احس م ينظف
العربية

@Liala_555 ااي كنت اسوي زييك
بعدين صرت اغسل بمويه وبعد نص ساعه احط زيت واغسل تغسيله عميقه
بس شكلي برجع على اللي قبل
العربية

🫖 .. retweetet














