Neurosonology Lab - LHC
86 posts

Neurosonology Lab - LHC
@LabLhc
Hospital de Santa Maria,Lisbon Bergabung Haziran 2022
64 Mengikuti245 Pengikut
Neurosonology Lab - LHC me-retweet
Neurosonology Lab - LHC me-retweet

São muitos os experts incluídos no programa científico do 18.º Congresso PT do AVC, tanto do panorama nacional como internacional 🙌
O encontro, que decorre até amanhã, tem sido marcado pela participação plena em sala, diálogo nos momentos de debate.
#18congressoportuguesavc




Português

Check out our new article 👇
Sensitivity and Accuracy of Doppler Ultrasound compared to CT Angiography for the Diagnosis of Carotid Webs: Systematic Review
@CatarinaACF @MSerodio0 @AlmeidaNessa28 @KompassKarger
karger.com/ced/article-ab…
English
Neurosonology Lab - LHC me-retweet

As #ESNCH2023 comes to a close, we are excited to announce #ESNCH2024 will be held from 2 - 4 October in Almería, #Spain!
Chair: Patricia Martinez-Sanchez
More information coming soon.
@ESOstroke @EANeurology @JSargentoF

English

Congratulations Prof. @CatarinaACF on the recognition of Best Poster “Off-label prescription in stroke: comparative analysis of the recommendations of the european stroke organization and indications approved by the european medicines regulatory agencies”.

English

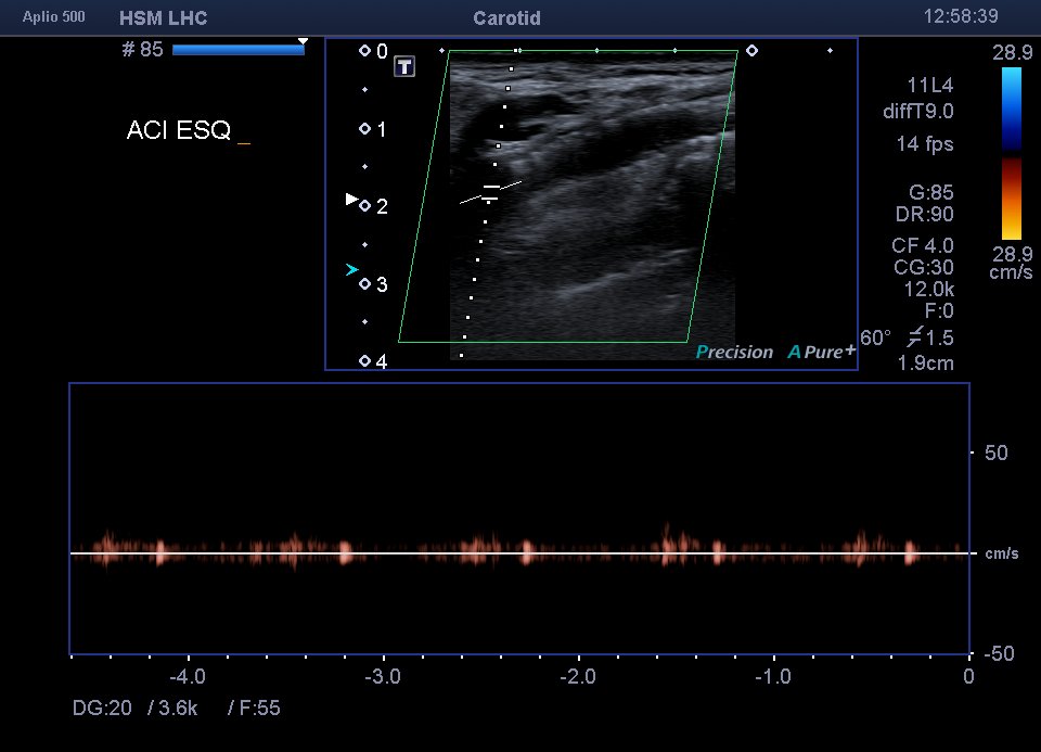
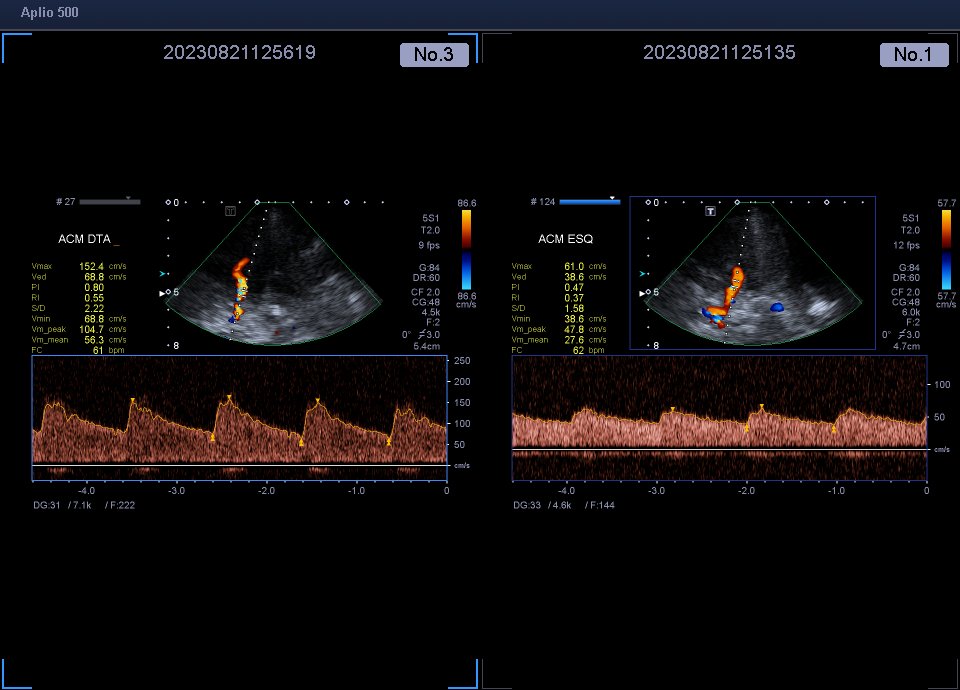
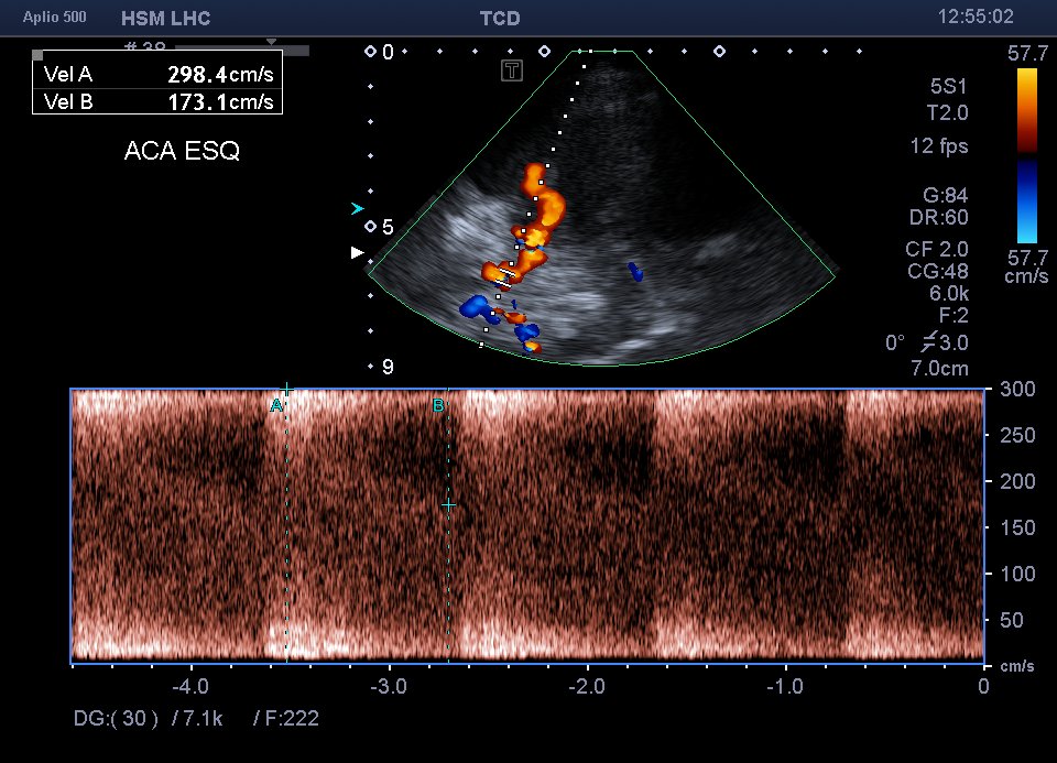
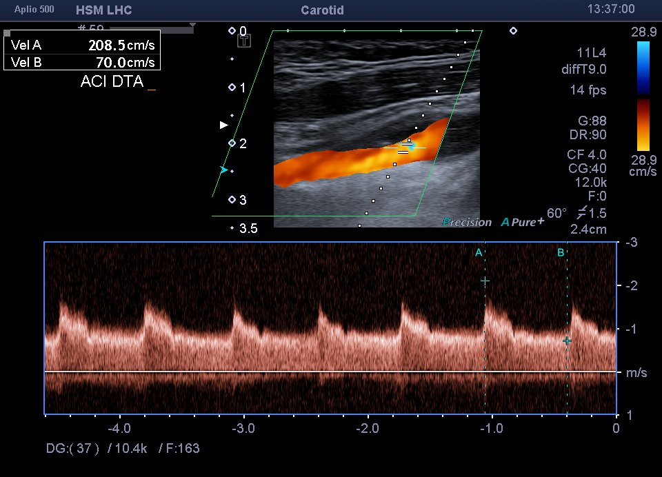
@neurosonology @neurosonologia @Neurosoncanada @neuroangio1 @WorldStrokeOrg @American_Stroke @StrokeAHA_ASA @ESOstroke @SPAVC_pt @WorldStrokeEd The patient was anticoagulated
English
Neurosonology Lab - LHC me-retweet





































