@RevistaRADIOLOGIA

1.2K posts

@RevistaRADIOLOGIA banner
@RevistaRADIOLOGIA

@RevistaRADIOLOGIA

@RevistaRADIOLO2

RADIOLOGÍA es el Órgano de Expresión Científica Oficial de la Sociedad Española de Radiología Médica (SERAM)

Bergabung Şubat 2018
70 Mengikuti6.8K Pengikut
@RevistaRADIOLOGIA
@RevistaRADIOLOGIA@RevistaRADIOLO2·
Desde 2023 @RevistaRADIOLO2 colabora con @EDiRNetwork publicando sus casos y elaborando preguntas a través de sus artículos. Si te estás preparando el examen, consulta sus redes sociales y nuestra revista
EuropeanBoardRadiology@EDiRNetwork

Ever wondered if an expiratory CT is actually necessary? 🫁 A must-read article breaks down the "when" and "how" of this technique. Essential for #Radiology residents! Read here: elsevier.es/en-revista-rad… #EDIR #Radiology #EBR

Español
0
2
6
814
@RevistaRADIOLOGIA
@RevistaRADIOLOGIA@RevistaRADIOLO2·
Cierra nuestro número otro artículo de la serie de RM fetal que repasa toda la patología de cabeza y cuello y un nuevo caso del EDIR que te ayudará con la preparación del examen. ¡No te lo pierdas!
Español
0
0
0
50
@RevistaRADIOLOGIA
@RevistaRADIOLOGIA@RevistaRADIOLO2·
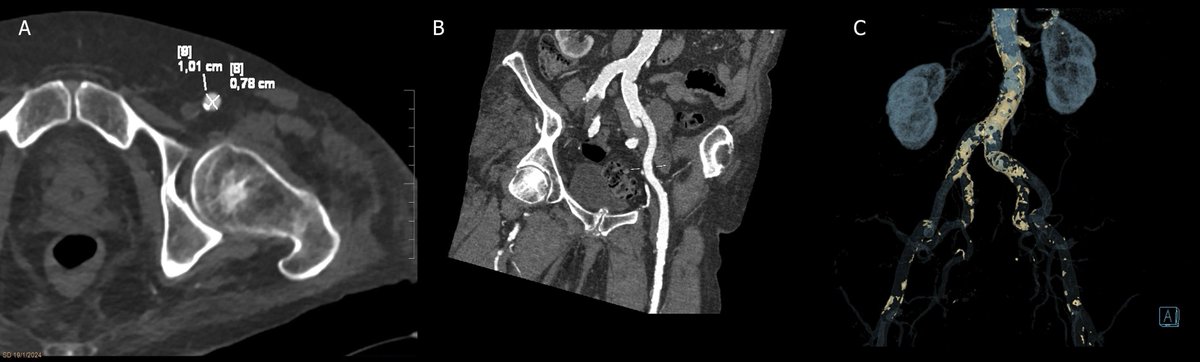
Y Radiología en imágenes presenta tres interesantes revisiones sobre las fístulas arteriales intraabdominales, el tumor desmoide y causas de fallo del implante coclear
Español
1
0
0
54