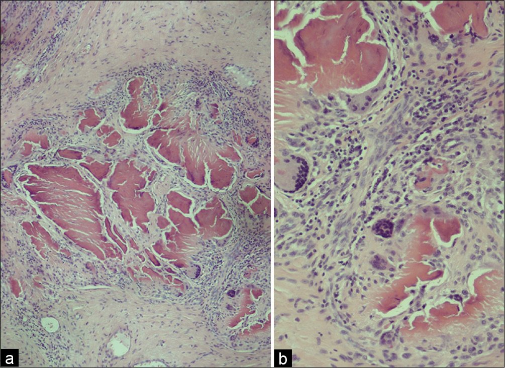
Surgical Neurology International (SNI) me-retweet

Unraveling a rare cause of spinal stenosis: Coexistent AL and ATTR amyloidosis involving the ligamentum flavum
#Amyloidosis | @amangodaramd @huntsmancancer @SNInt
ncbi.nlm.nih.gov/pmc/articles/P…
English






























