
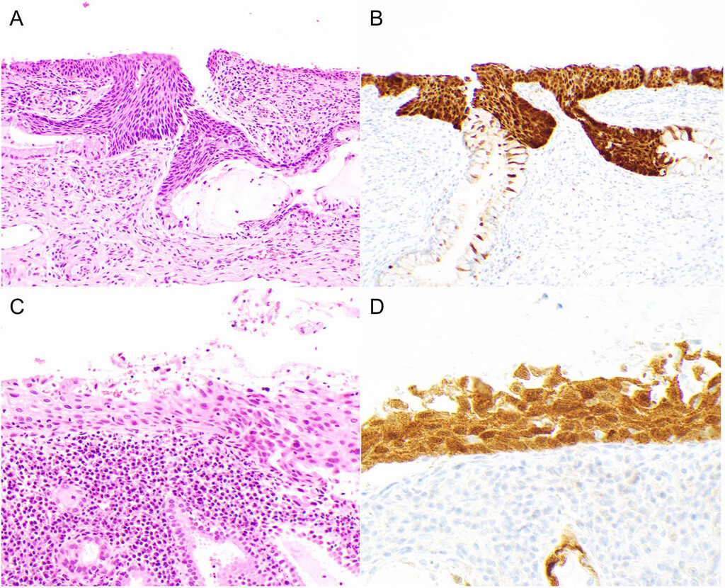
Review the biomarkers in cervical squamous neoplasia, part of the Archives Special Section on the 11th Princeton Integrated Gynecologic Pathology Symposium, here 👉 doi.org/10.5858/arpa.2…
#CAP #Archives #Pathology #GynPathology

English
Arch Pathol Lab Med
1.9K posts

@ArchivesPath
The Archives of Pathology & Laboratory Medicine. An official publication of @Pathologists. Celebrating 100 years 🎉. Editor-in-Chief: Alain C. Borczuk, MD































