고정된 트윗

We are happy to present the first issue of the ABATED study newsletter!
@NIHRresearch @charl_marshall @QMUL @ainostics @preventiveneur1
To receive a PDF copy of the newsletter by email, please contact us at wiph-abated@qmul.ac.uk




English
ABATED Study
79 posts

@ABATED_Study
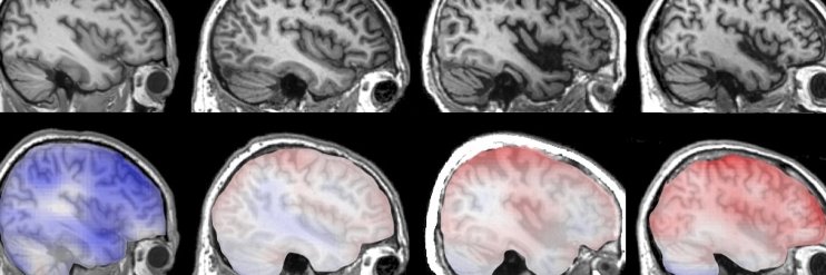
The ABATED study aims to validate novel AI technology for predicting dementia. Run by @charl_marshall @ainostics @preventiveneur1. Funded by @NIHRresearch.













Which disease-modifying Alzheimer’s drugs are the most promising? dlvr.it/TFk6C1












