Georgia Association of Pathology (GAP)

573 posts

Georgia Association of Pathology (GAP) banner
Georgia Association of Pathology (GAP)

Georgia Association of Pathology (GAP)

@GAPathologists

We aim to be the voice of Georgia #pathologists 🔬🧬🧫 | #Pathology News + Events + #GAPCoTM | Follow us on 🐦 + 📷

Georgia 가입일 Haziran 2020
275 팔로잉815 팔로워
Georgia Association of Pathology (GAP) 리트윗함
Risha Khatri, MD 🩺
Risha Khatri, MD 🩺@RishaKhatri·
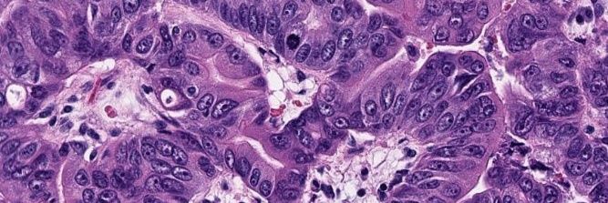
Yesterday, I attended the Reception of @GAPathologists and reunited with my friend, and future Pathologist, Aldo and met with the President of GAP, Dr. Lara Harik. And I set up my poster! Mine is Poster #3 outside the Exhibit Hall. Please come check it out! #GAP2023 #PathTwitter
Risha Khatri, MD 🩺 tweet mediaRisha Khatri, MD 🩺 tweet mediaRisha Khatri, MD 🩺 tweet mediaRisha Khatri, MD 🩺 tweet media
English
2
4
25
2.4K
Mallika
Mallika@MallikaM41·
@GAPathologists Great presentation. Where can I find the recording? Is there a link to the recording? Thanks.
English
1
0
1
24