고정된 트윗

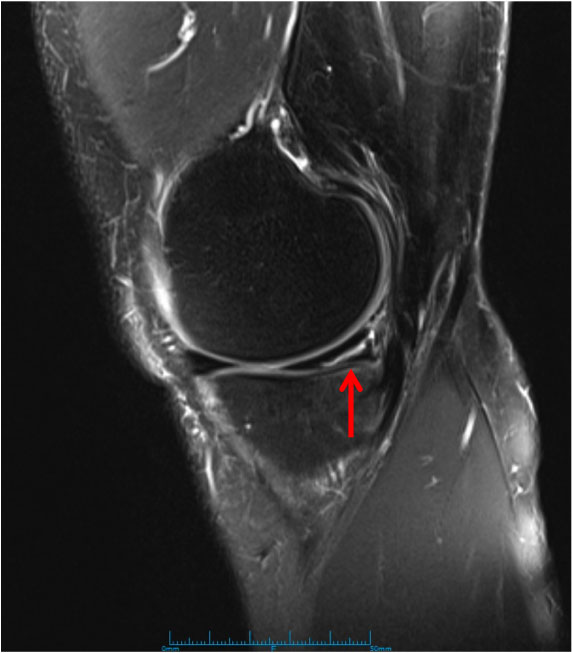
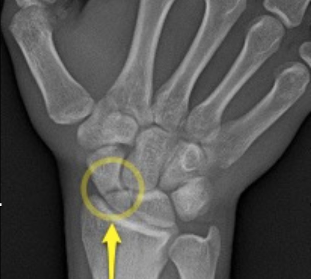
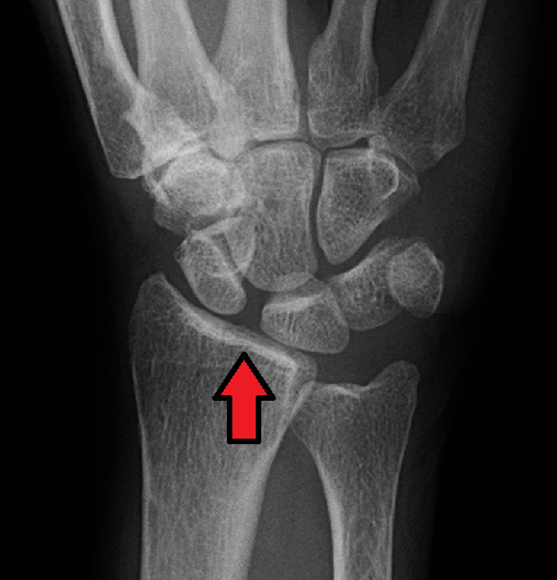
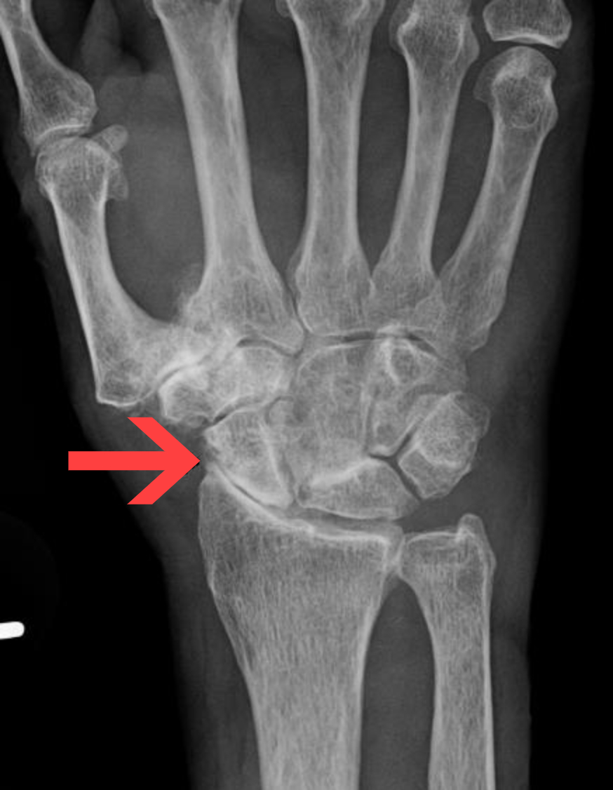
Expand your clinical knowledge with WikiSM.org —a comprehensive resource for sports medicine, MSK exams, and rehabilitation—and MedEdCases.com for real-world, case-based emergency medicine learning
#SportsMedicine #MedicalEducation #EmergencyMedicine #Meded #Physio #ATC #Ortho #Radiology #Pediatrics

English

















































