고정된 트윗
aung phyo
2.6K posts

aung phyo
@pathphyo
Practising pathologist at N Health Myanmar with interest in #Dermpath #Hemepath #surgpath #Digital_Path
Myanmar 가입일 Mayıs 2011
2.1K 팔로잉2K 팔로워

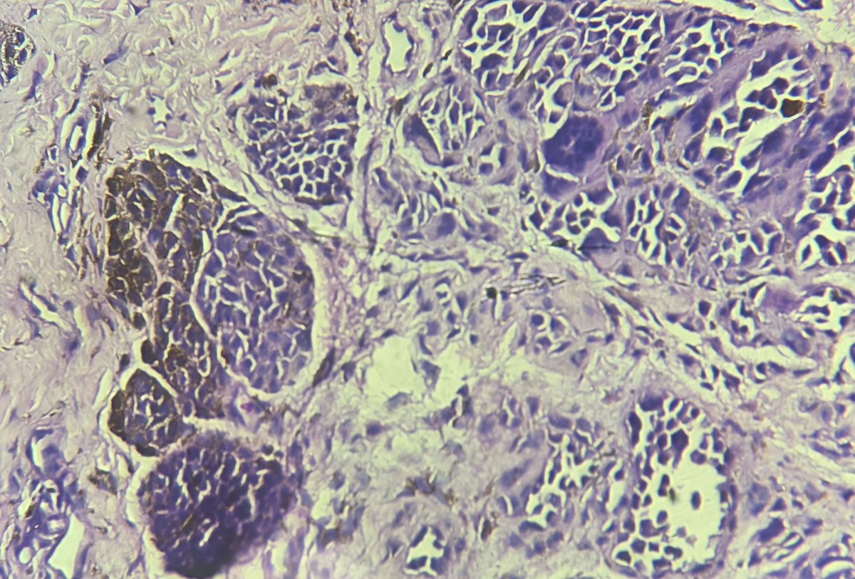
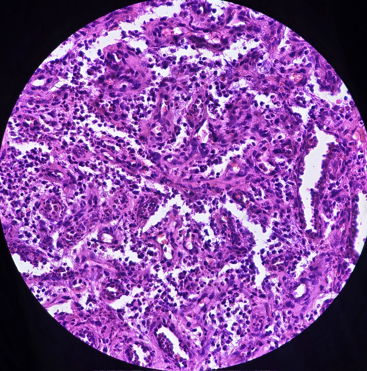
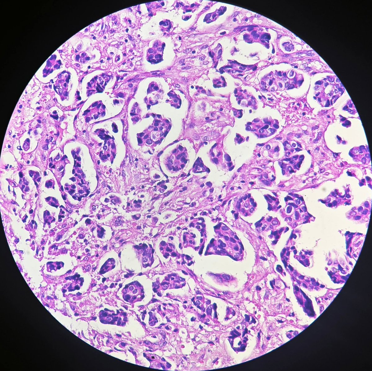
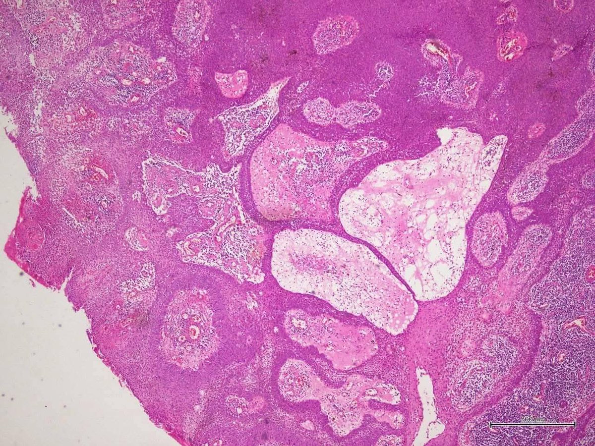
Regional lymph node metastasis of mucinous carcinoma, rectum with stage IIIC disease.
#pathology #GIPath #mucinous_carcinoma

English

Papillary squamous cell carcinoma of cervix is a rare variant of squamous cell carcinoma of the cervix characterized by papillary architecture with fibrovascular cores and malignant squamous epithelial lining.
#pathology #gynepath #SCC #Papillary




English

This little intradermal nevus on right cheek features cute multinucleated melanocytes.
#pathology #dermpath #nevus




English

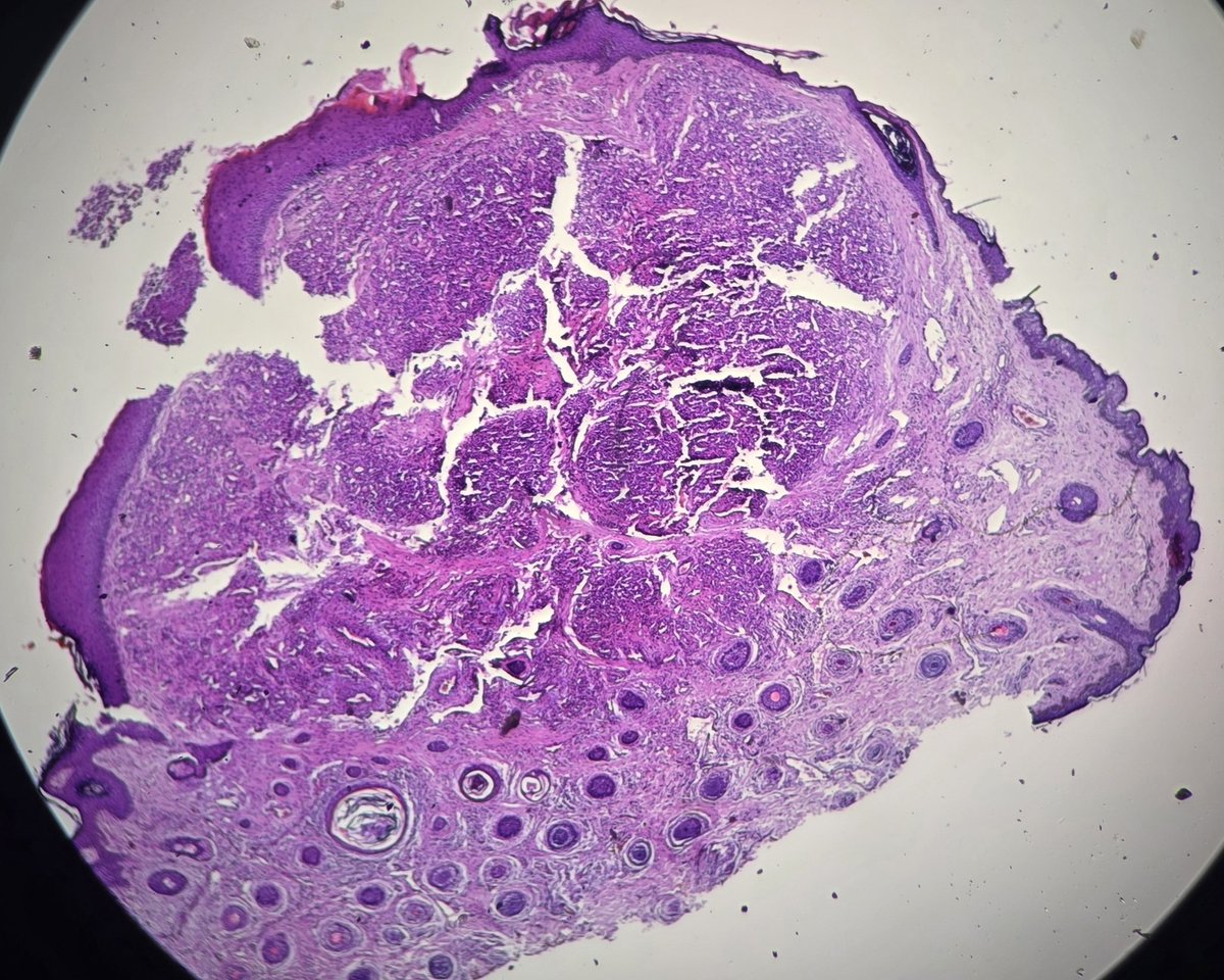
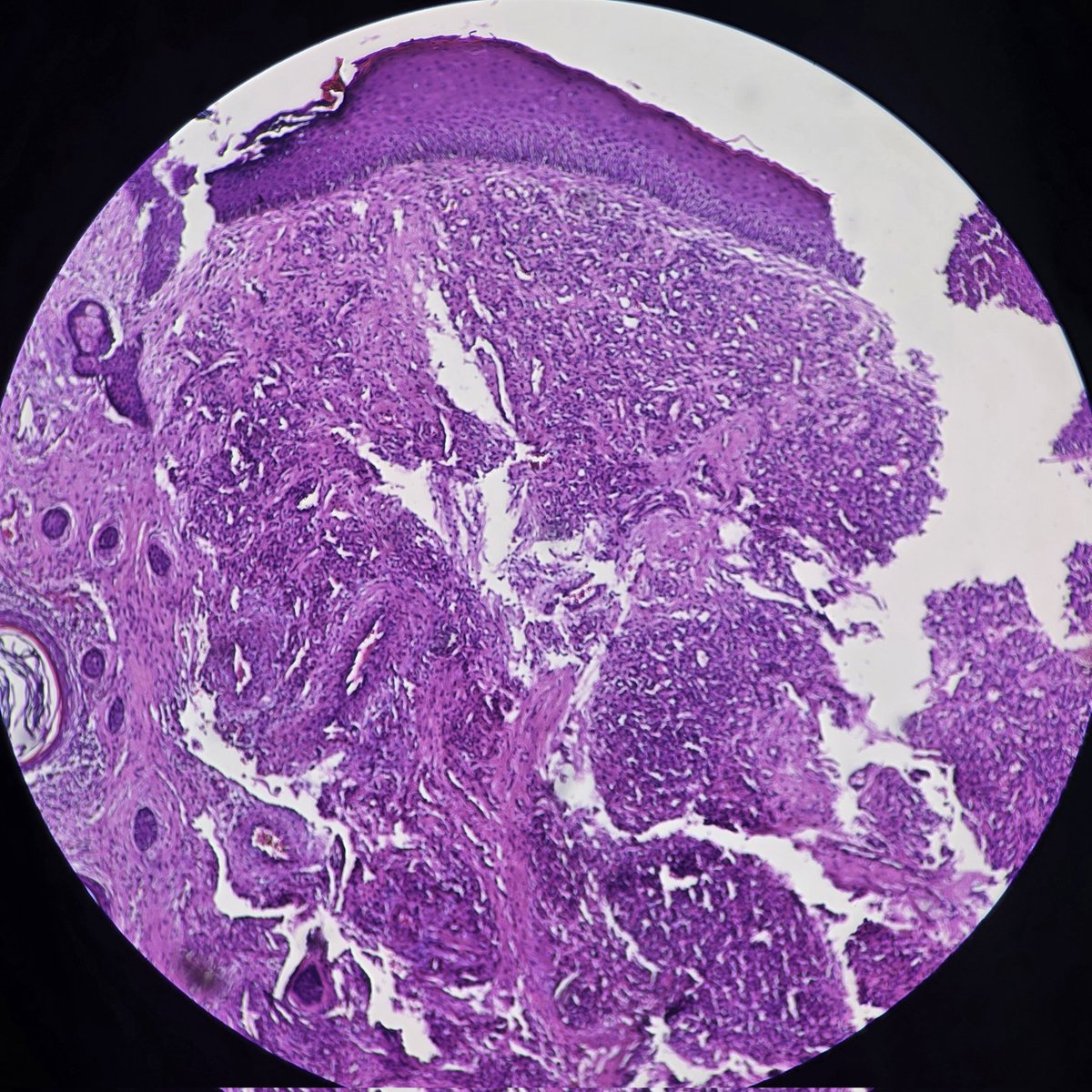
A cute lobular capillary hemangioma presenting as a small periorbital lump in 12 yrs old girl.
#pathology #dermpath




English
aung phyo 리트윗함

Case of Low-Grade Adenosquamous Carcinoma 🍥🔬
An infiltrative, deceptively bland carcinoma with angulated tubules showing glandular and squamous differentiation in spindled sclerotic stroma.
#PathX #PathTwitter #breastpath

English

Adenomyoepithelioma of breast, a biphasic tumor comprising epithelial and myoepithelial proliferation. #pathology #breastpath #adenomyoepithelioma




Română

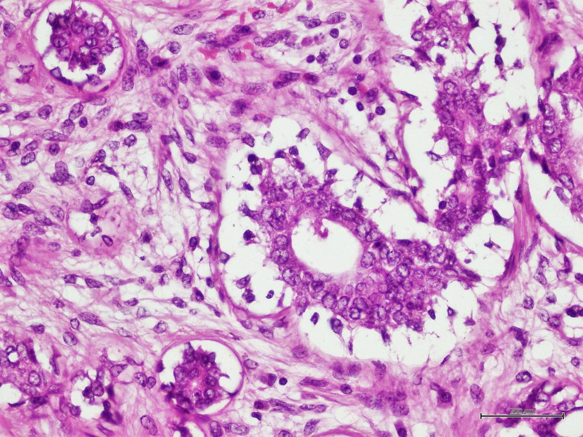
A nasty cervical lymph node metastasis of ovarian serous carcinoma with micropapillary growth pattern. This poor lady has clinically advanced MOT with pulmonary nodules and cervical lymphadenopathy. #pathology #Gynaepath #Oncopath




English

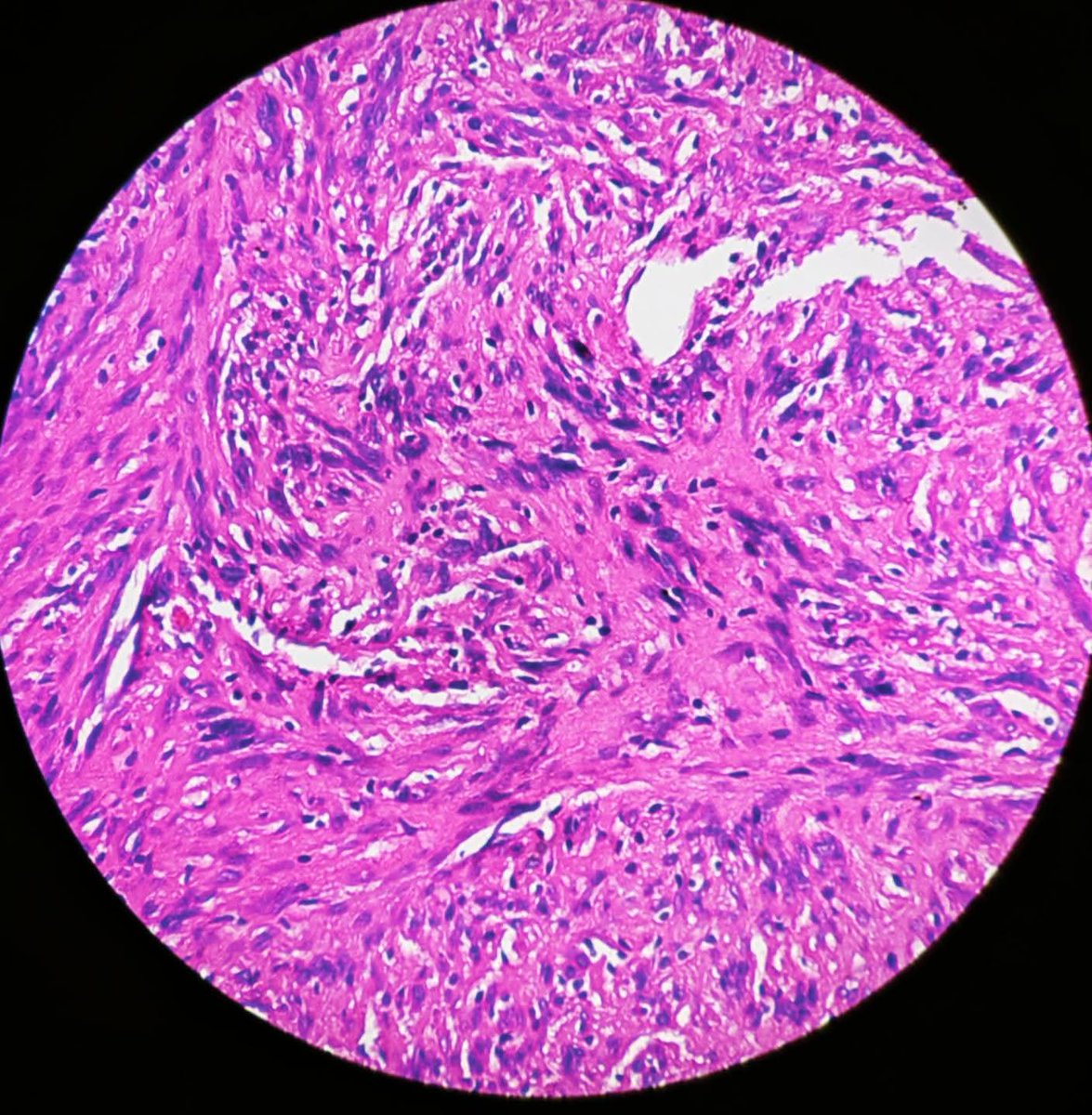
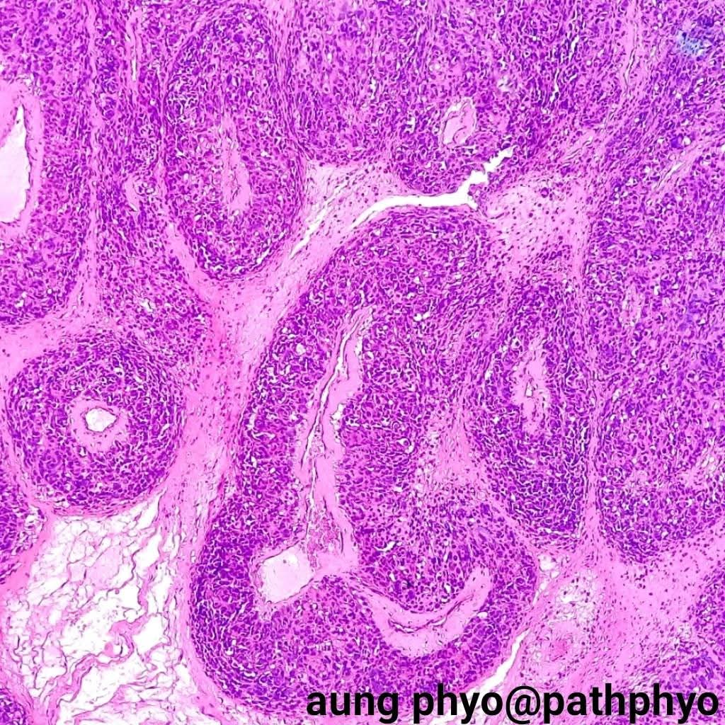
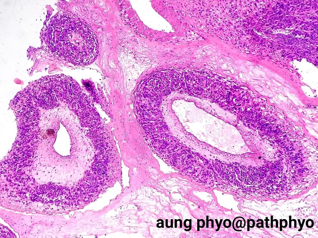
An adult male with huge cervical swelling in carotid sheath clinically suspected cervical lymphadenopathy. Incisional biopsy was taken which turned out to be a benign Schwannoma suggested by several Verocay bodies.#pathology #SoftTissue #Schwannoma




English

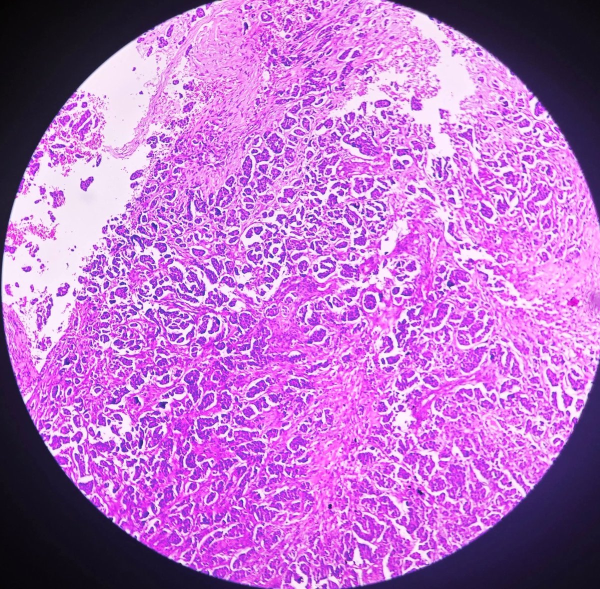
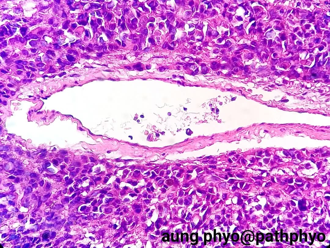
Nodal metastasis of poorly differentiated gastric carcinoma: Presence of poorly cohesive cells (some are signet ring forms) in subcapsular lymphatic sinus.
#Pathology #GIPath



English

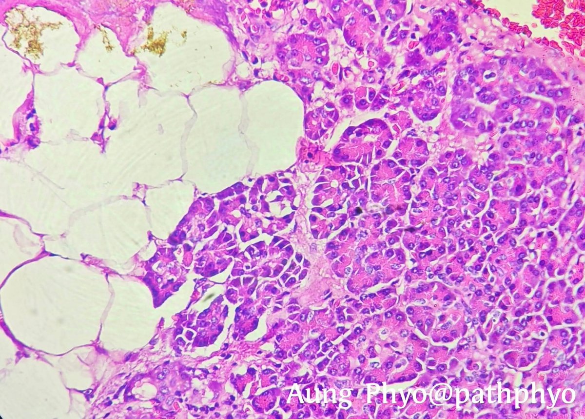
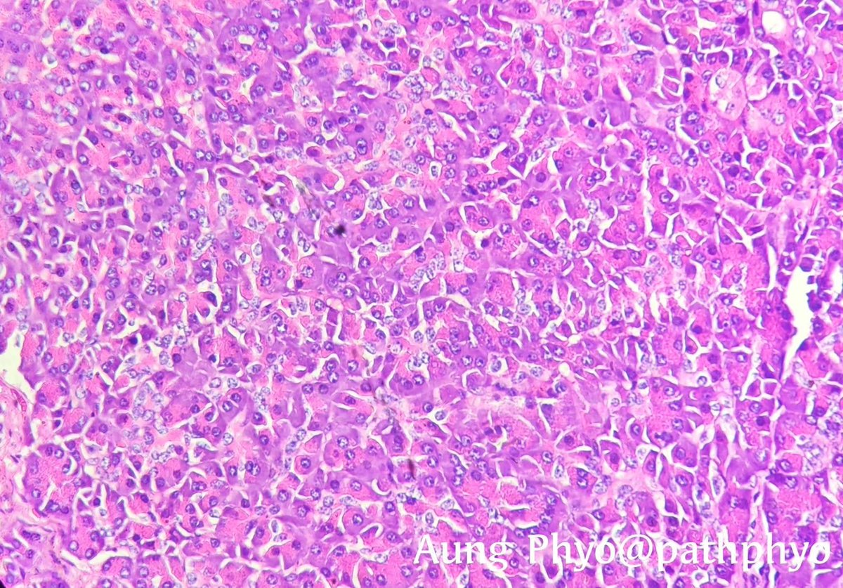
A rare incidental pancreatic heterotopia in mesocolon of right hemicolectomy specimen in a patient with stage IIIC colonic adenocarcinoma. #pathology #GIpath #histopath #Pancreatic_heterotopia




Myanmar 🇲🇲 English

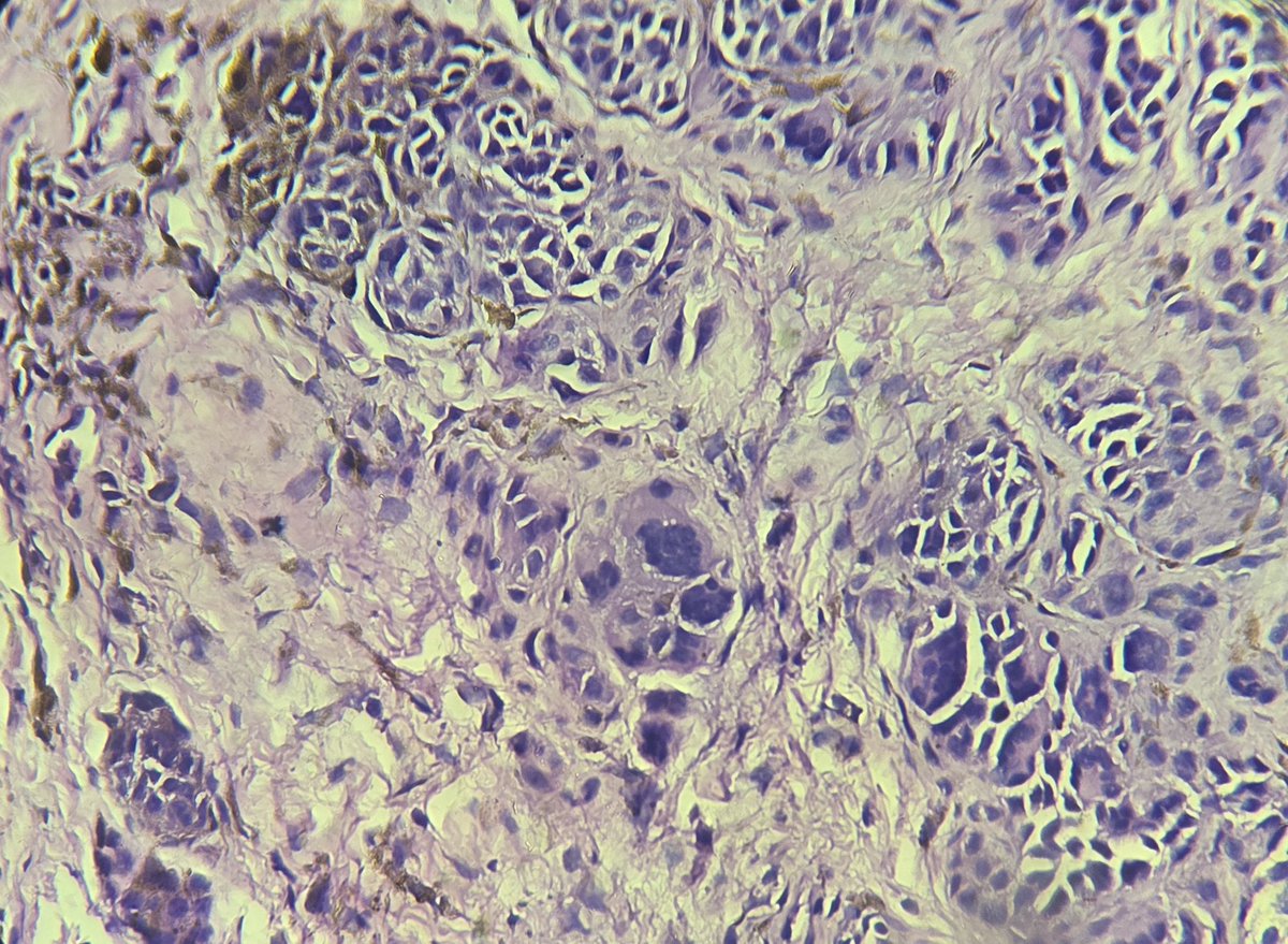
@BlackLane335 Yes but this histology is clearly malignant and quite suggestive for NPC.
English

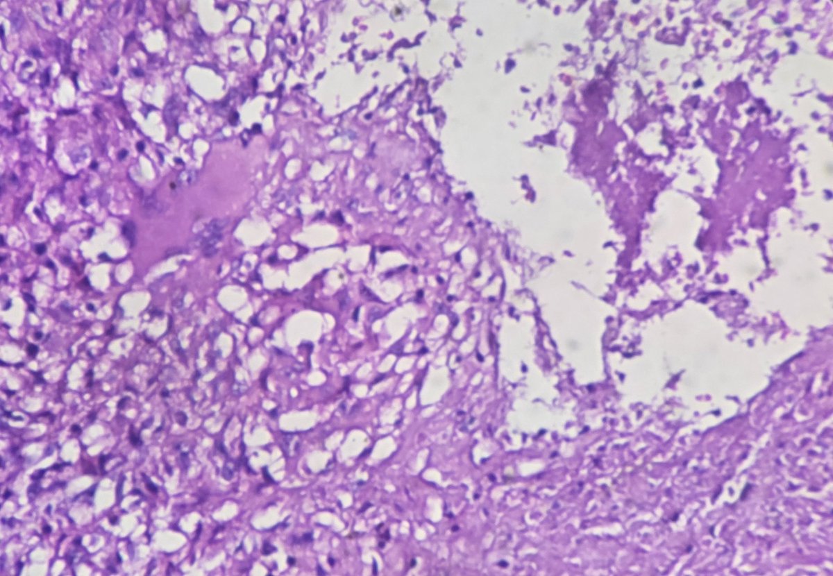
@pathphyo In children and adolescents, this presentation is particularly misleading and can easily be mistaken for inflammation or tuberculosis.
English

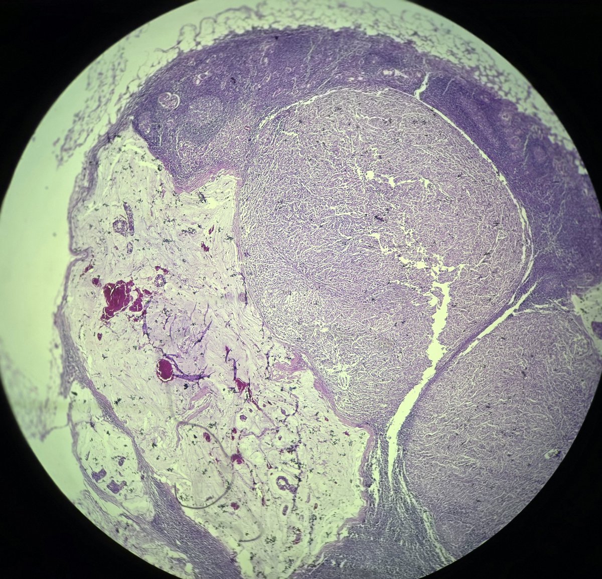
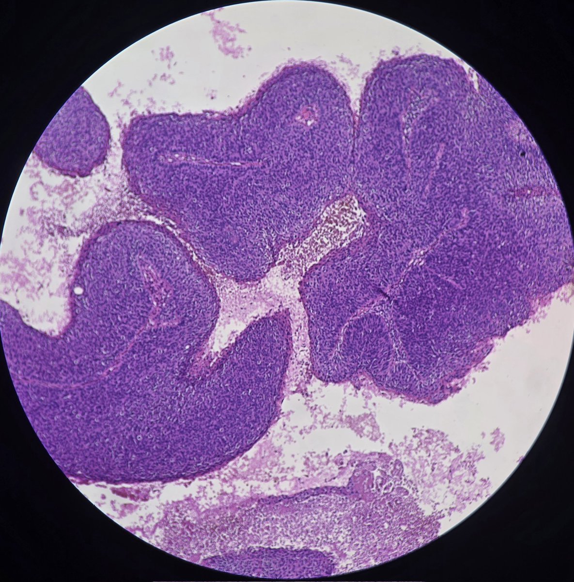
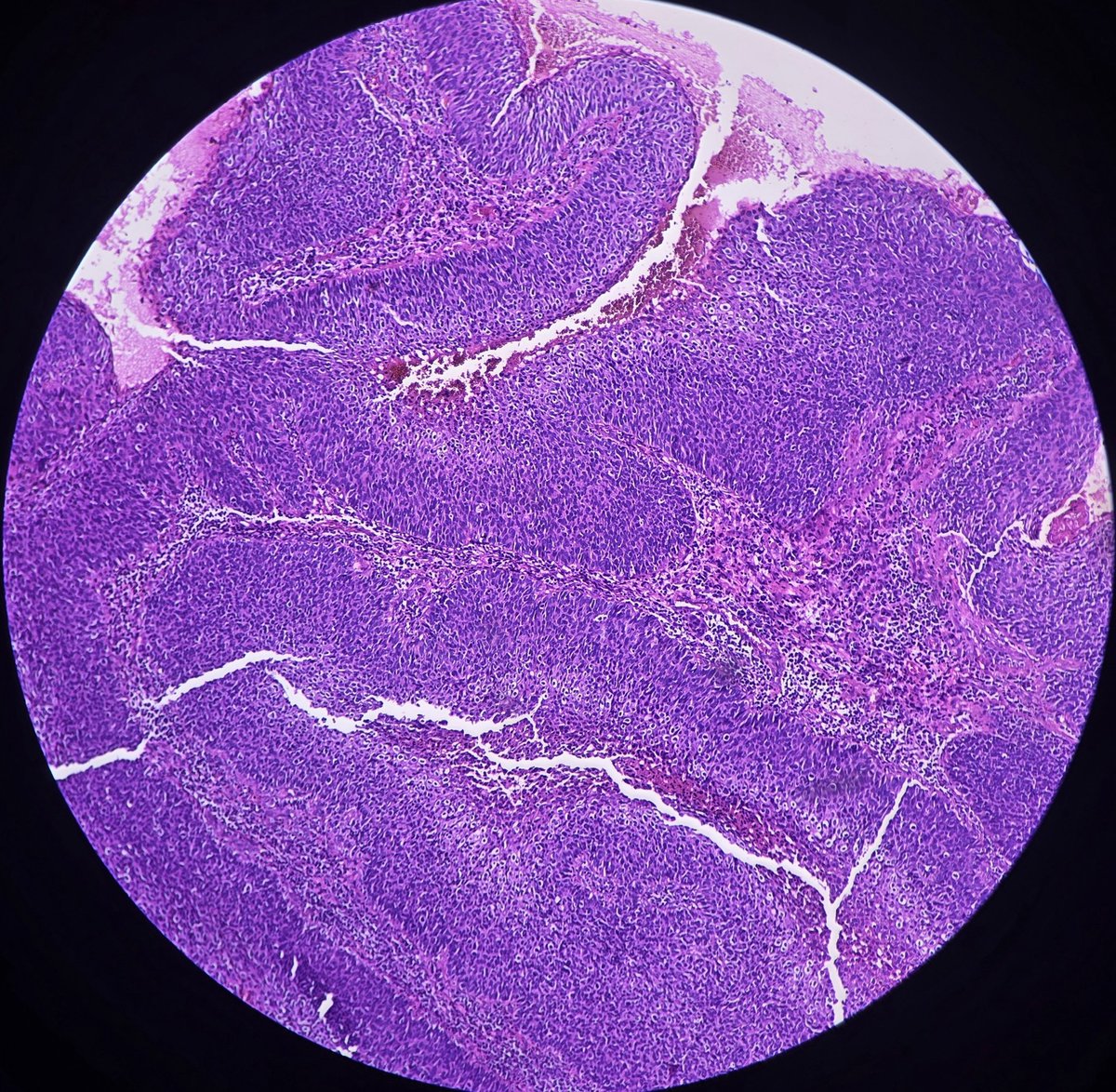
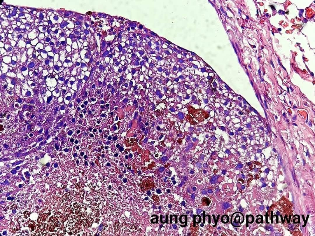
13 yrs old boy with gradually enlarging cervical lymphadenopathy. A case of metastatic lymphoepithelial carcinoma lurking in nasopharynx. #pathology #ENTPath




English

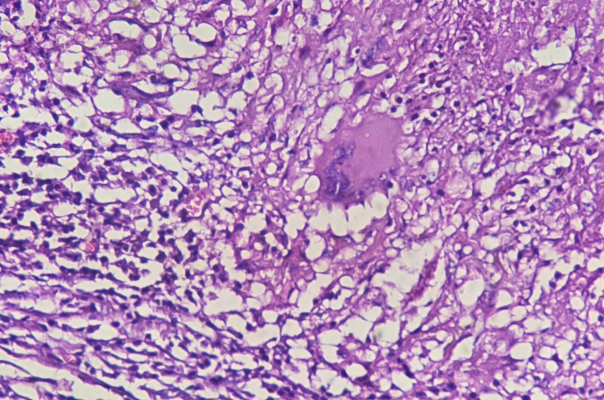
@pathphyo Idk. Non-necrotizing, could be cross contamination. Be sure to correlate with serological studies. Otherwise congratulations on a successful hunt.
English

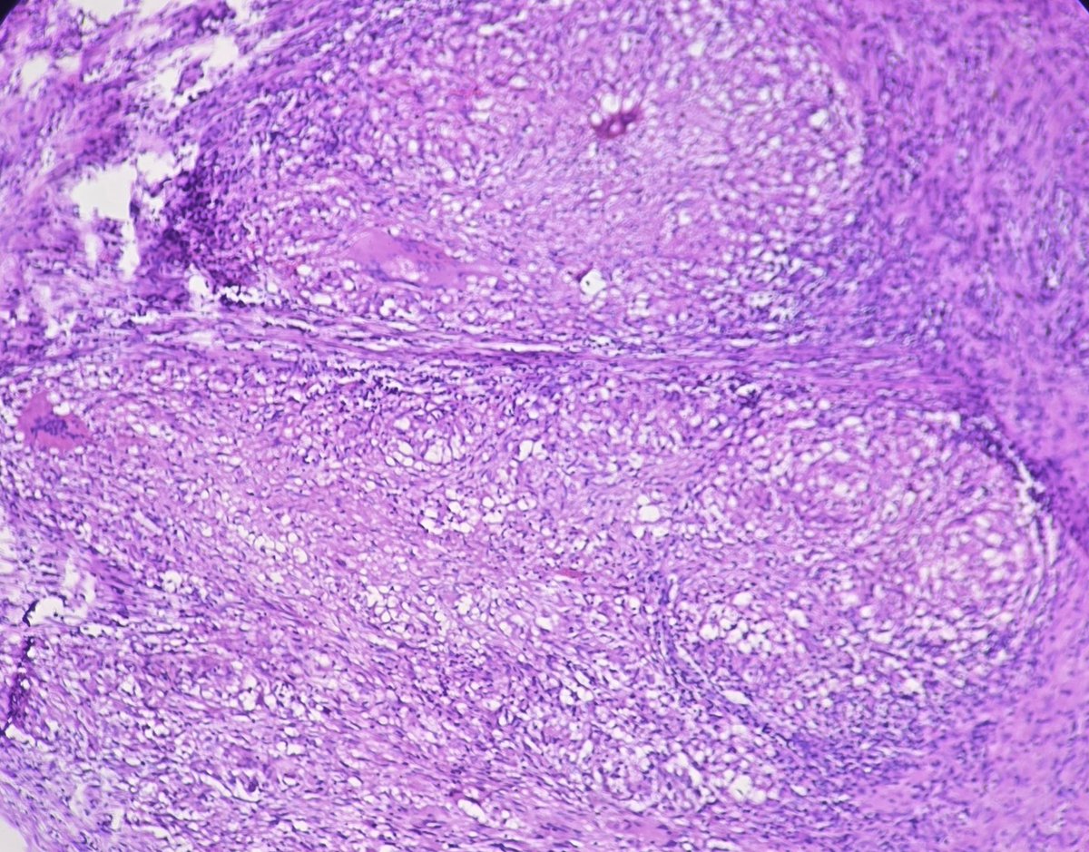
A reward after meticulously searching the scanned slide of AFB stain on non-necrotizing granulomatous lymphadenitis.
#pathology #AFB #Granuloma

English

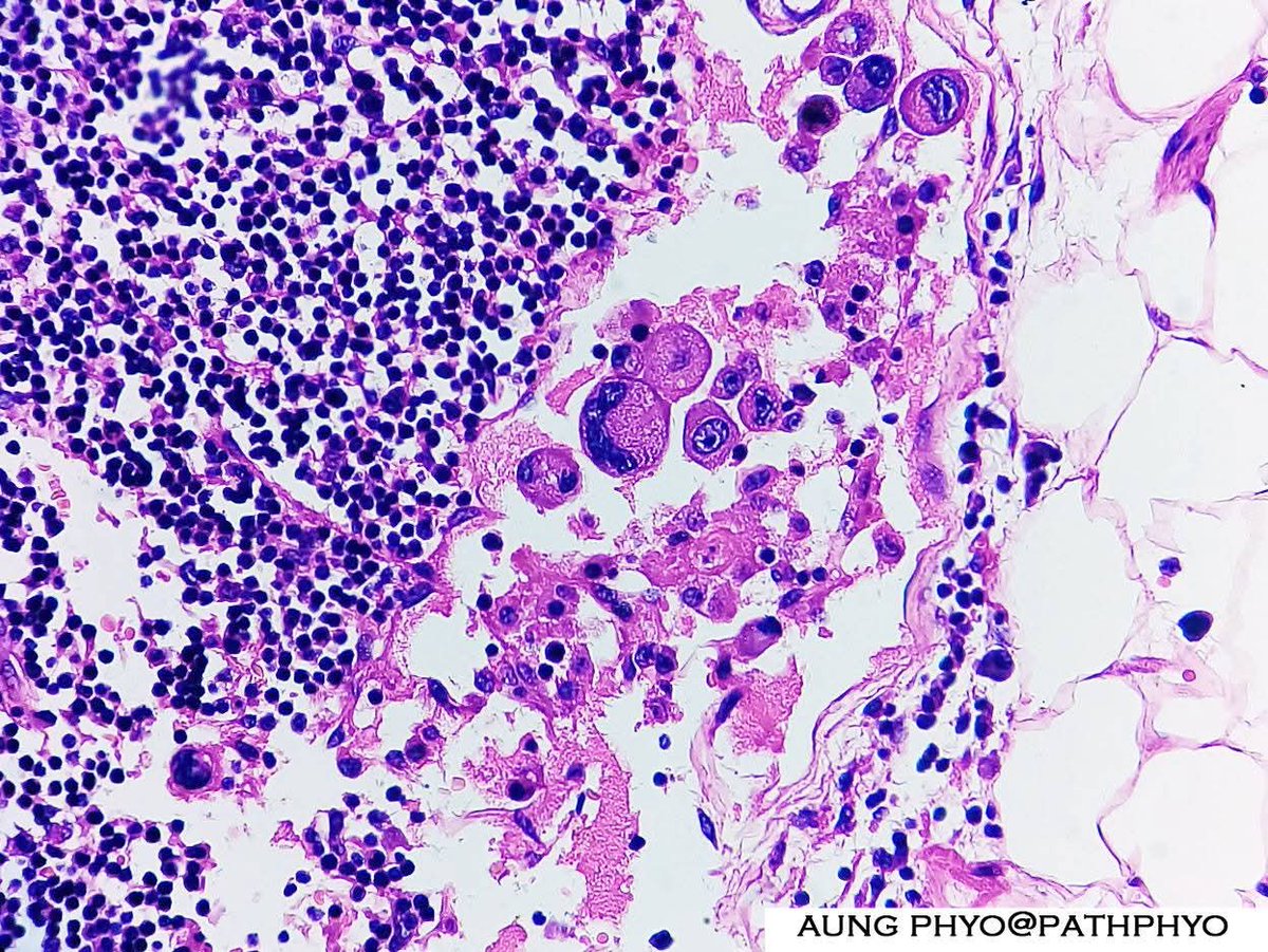
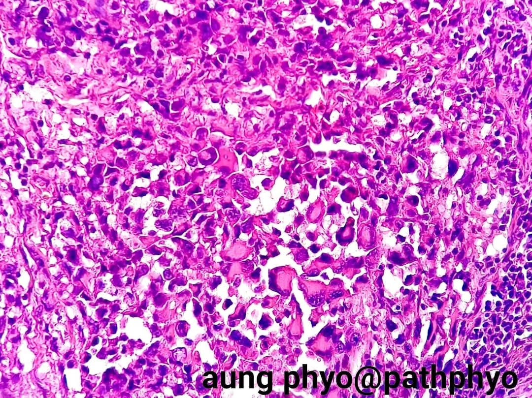
Cancer cell cannibalism: A larger malignant cell engulfing other smaller malignant cells.
This is a case of nodal metastasis of poorly differentiated adenocarcinoma. The patient has multiple cerebral mets too.
#Pathology #Oncopath

English
















