
Happy New Year from us! Starting the year with a board favorite!
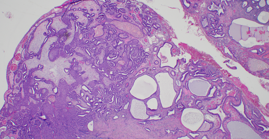
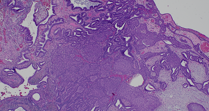
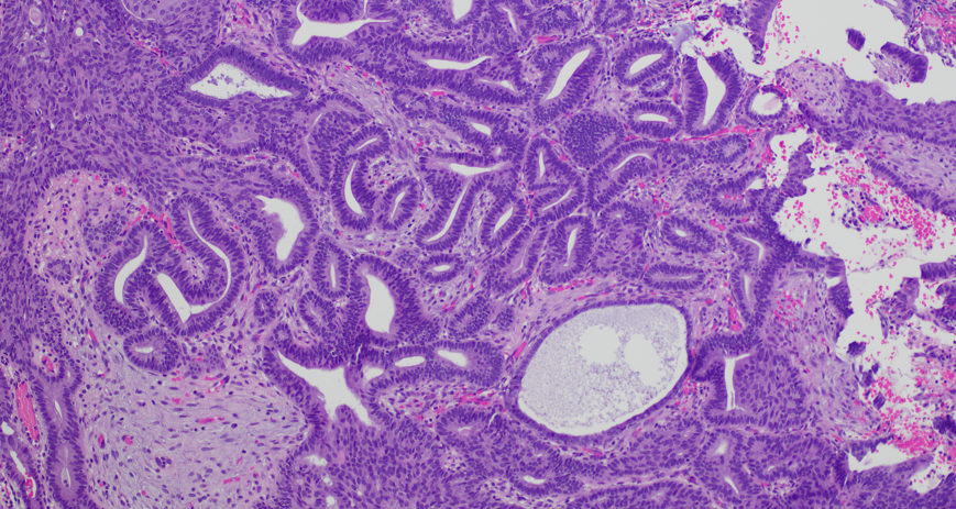
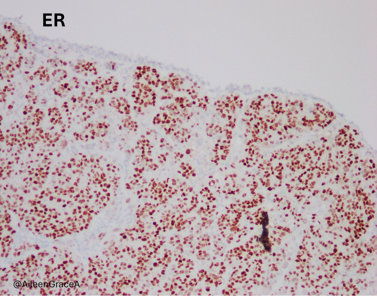
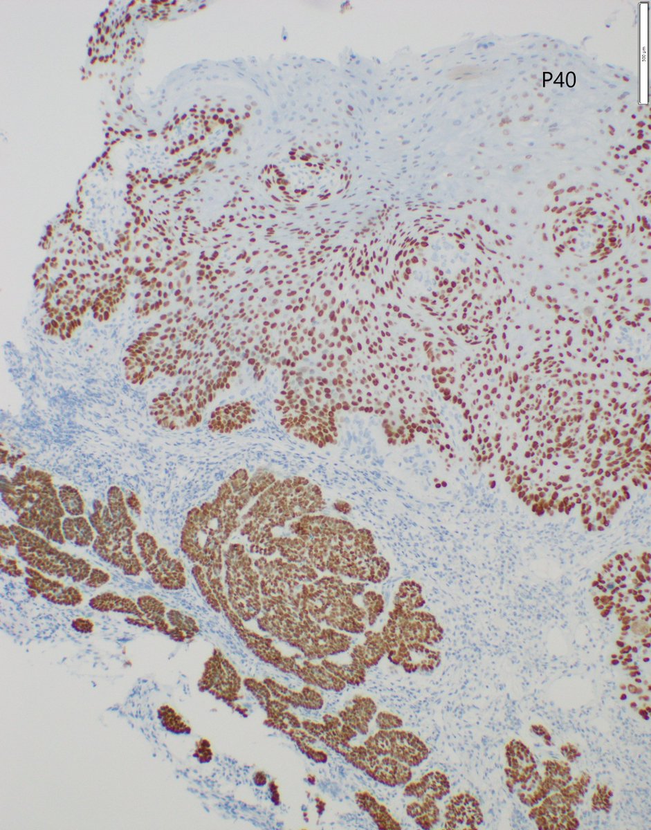
Atypical polypoid adenomyoma: biphasic lesion with crowded, architecturally complex endometrioid glands showing cytologic atypia, embedded in a myomatous stroma. Don’t overcall as carcinoma #PathTwitter #GYNpath



English





























