

FOAMrad
1.1K posts

@FOAMrad
Free Open Access Radiology Education. Encouraging a community of radiologists to freely share and discuss radiology knowledge using the #FOAMrad hashtag.



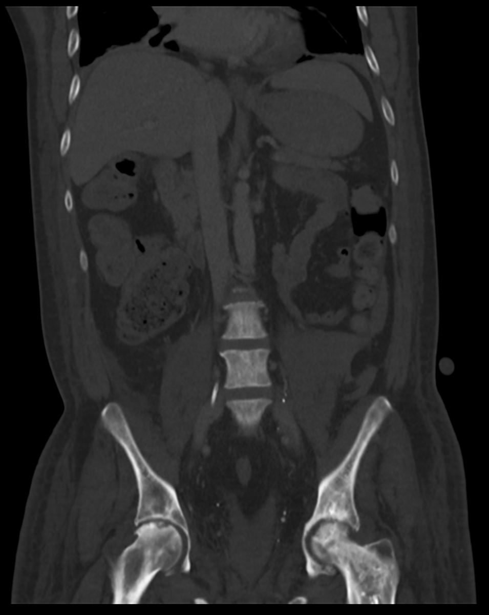
Scroll through the images in this quiz case on @Radiopaedia: radiopaedia.org/cases/d7151fa3… How many hernias can you see? I'll share the answer over the weekend! #FOAMrad


⏰ There are now just 3 days remaining to submit an abstract for radiology educational posters (rPosters) at #Radiopaedia2024 (July 22-26). Accepted rPosters will feature in the virtual event and receive a DOI citation and the chance to win an award. Details in thread 👇🏼




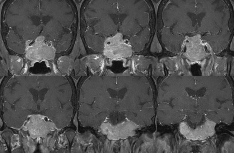
I mentored future radiologist Dr Niharika Praveen to publish this case on @radiopaedia ❓ Can you work out what background disease this person has? ❓ Which complications have arisen? Full answer over weekend with link to case (w/ stacks & annotations)






















This week on the podcast Andrew is joined by the one and only @teachplaygrub to chat about the grading and reporting of cervical canal stenosis on MRI. It’s a fun one! 🎧 radiopaedia.org/podcast #foamed #foamrad #neurorad #radres





