Greg Zaharchuk retweetledi

Congratulations @nancyfstanford on Faculty of the Year! Thank you for your dedication to our patients, faculty, and trainees. You are an inspiration to all of us ! @StanfordRad @Qle_stanford @JeremyHeitMDPHD


English
Greg Zaharchuk
1.2K posts

@GregZ_MD
Neuroradiologist, scientist, teacher, and learner interested in improving the health of patients using advanced imaging and AI


































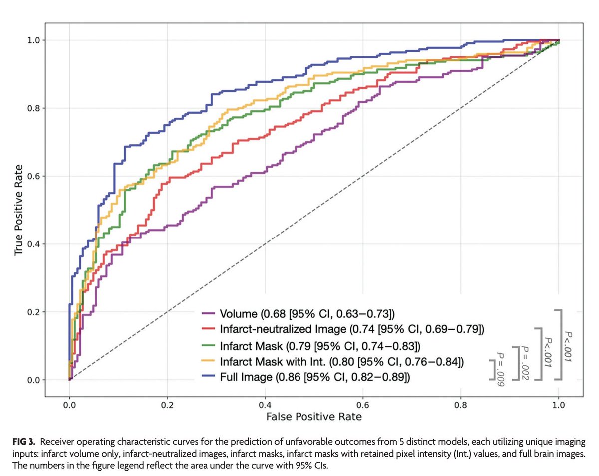
🎊 Our new study is now online in AJNR! While stroke research has focused on the infarct, we show using AI that non-infarct regions tied to brain plasticity and health also predict functional outcomes. @GregZ_MD @stanfordneuroi1 @StanfordRad @TheAJNR ajnr.org/content/early/…





