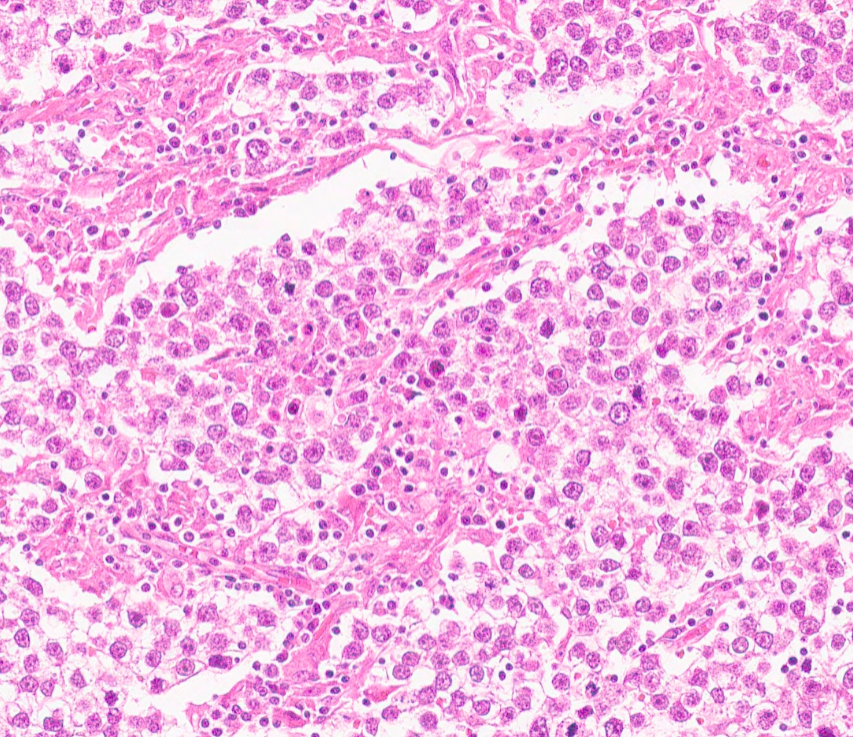
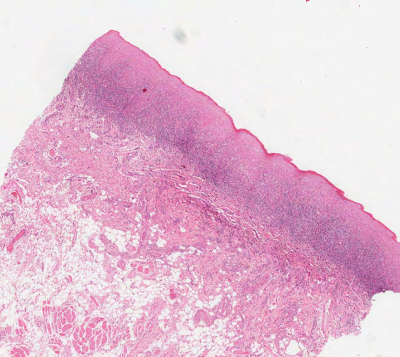
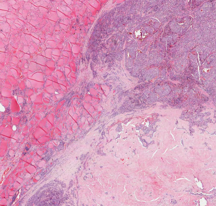
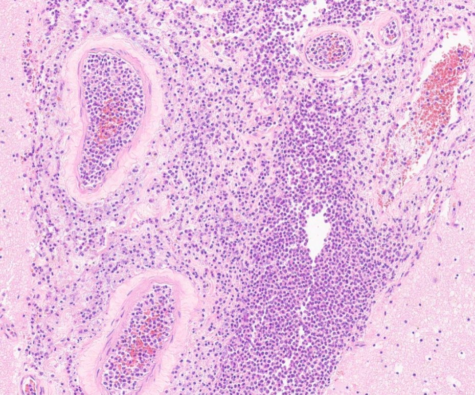
Sabitlenmiş Tweet

Since 2003, we have been creating one of the largest pathology educational resources online.. completely open access and free to use for non-commercial activities.. please get in touch for educational collaboration or commercial use 👍 any use pls credit: virtualpathology.leeds.ac.uk


English
















