Sabitlenmiş Tweet
Pathology Walker@Auto Tweet Bot
5.7K posts

Pathology Walker@Auto Tweet Bot
@Patholwalker
Twting Pathology, Histology&Endoscopy, sometimes Mushroom. My pics are All CR Free with quoting source as conditions. Please use the pics as much as you'd like.
Inside Microscope Katılım Temmuz 2017
2.6K Takip Edilen22.8K Takipçiler

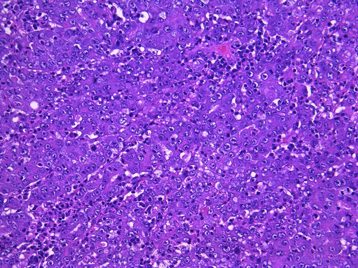
Mismatch-repair deficient endometrioid carcinoma. HE and MLH-1(+), MSH-2(-), MSH-6(-), PMS2(+). Isthmus of uterus. #Pathology #Pathologist #GynPath




Indonesia

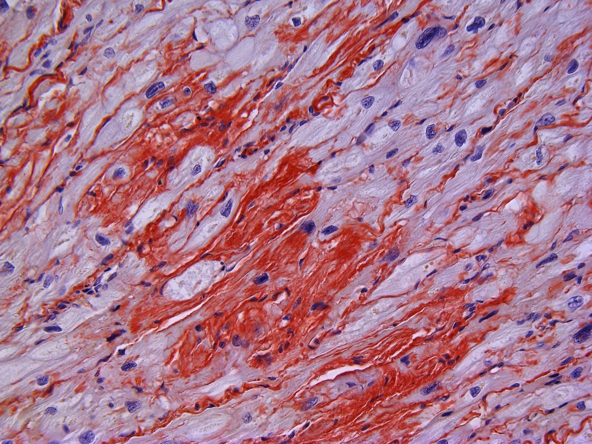
Amyloid cardiomyopathy. HE, Direct fast scarlet and Polarized light view #Pathology #Pathologist #CardiacPath




English

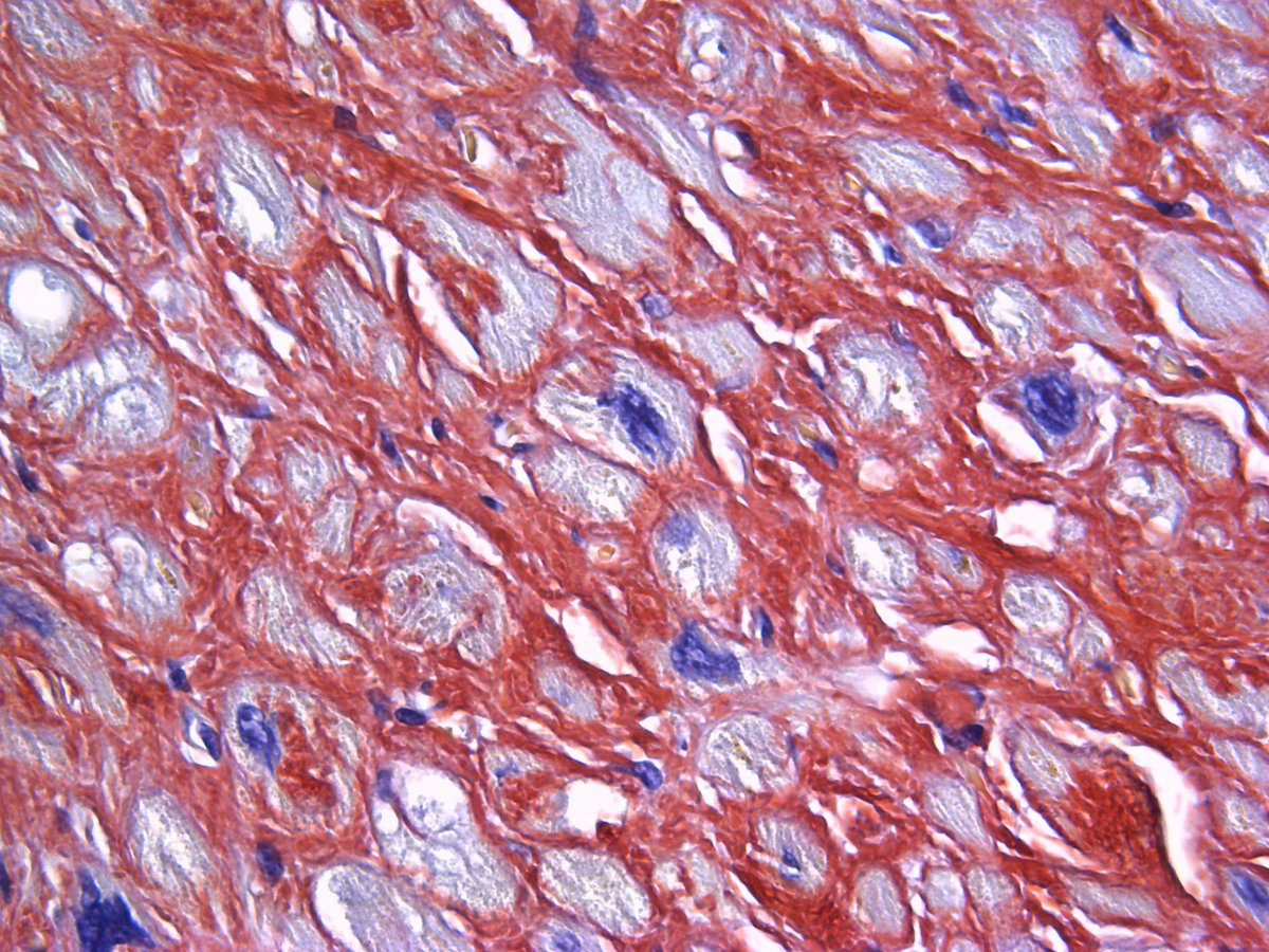
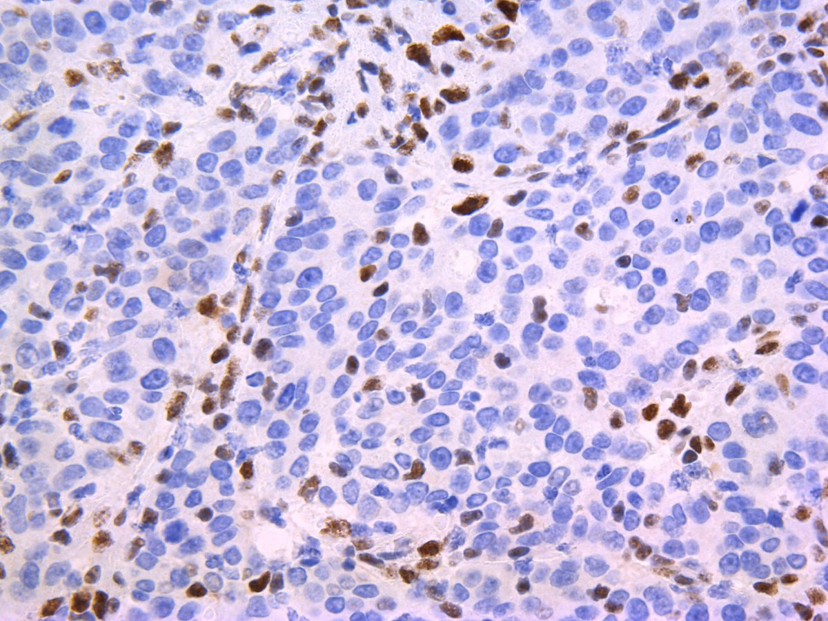
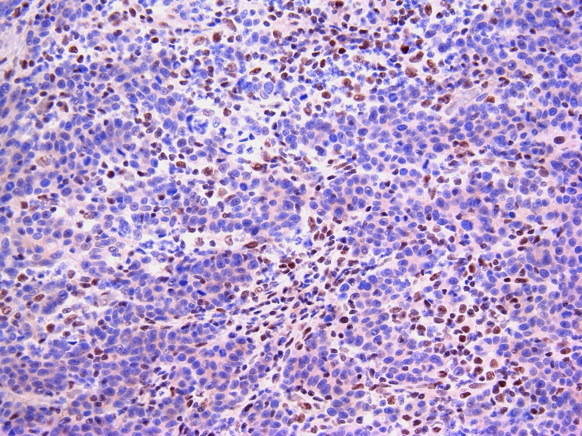
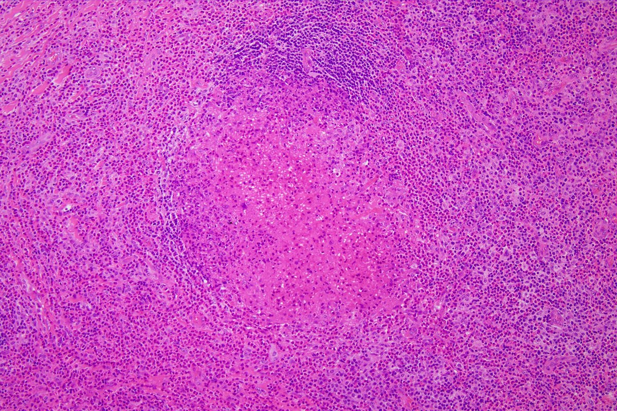
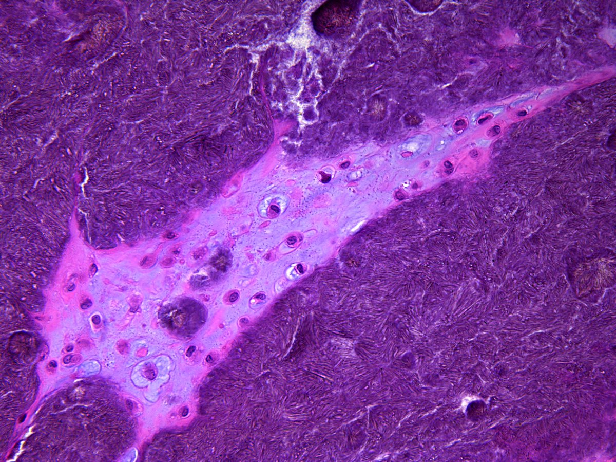
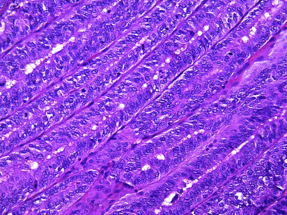
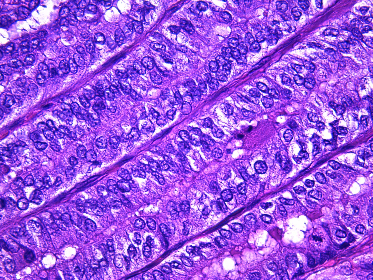
(Continued) Medulllary carcinoma of ascending colon. MLH-1, PMS2, MUC5AC and Ki-67 (MIB-1) . #Pathology #Pathologist #GIPath




English
Pathology Walker@Auto Tweet Bot retweetledi

Ruptured intracerebral cerebral aneurysm. Elastica van Gieson and Hematoxylin & eosin. #Pathology #Pathologist #NeuroPath




Română

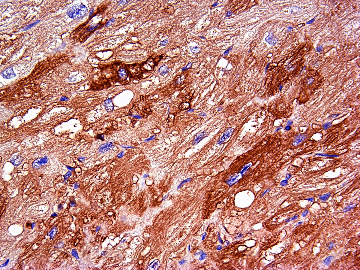
Transthyretin amyloidosis, heart, biopsy. HE, Direct fast scarlet, Polarized light view, Amtloid transthyretin. #Pathology #Pathologist #CardiacPath




English

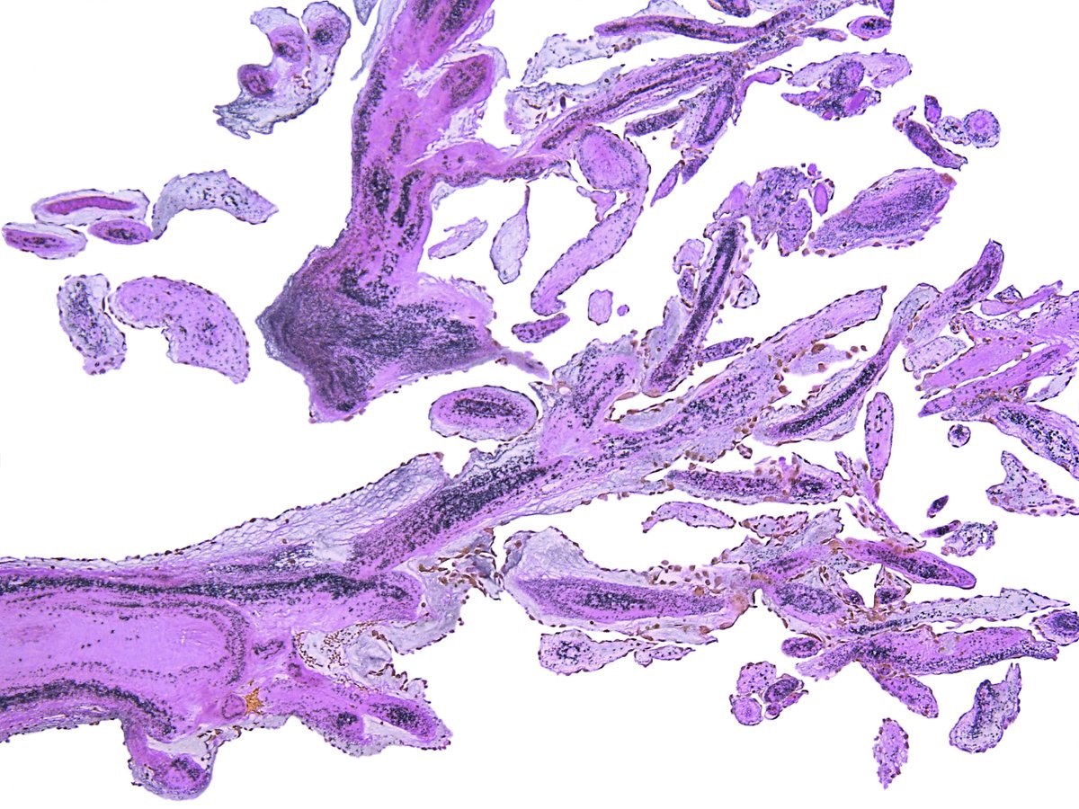
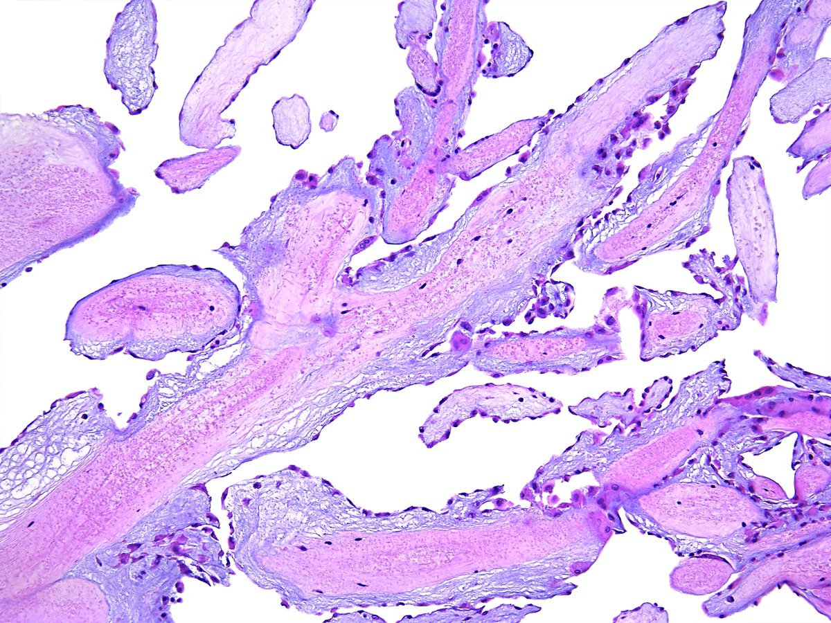
Papillary fibroelastoma of heart. HE, Elastica van Gieson, Gross. #CardiacPath #Pathology #Pathologist




English














































