
Samson W. Fine, MD
8.6K posts

Samson W. Fine, MD
@rovingatuscap
Attending Urologic Pathologist 🔬 #gupath #prostatecancer Dept Pathology & Lab Med @MSKPathology opinions=mine & do not reflect the views of my employer
New York, NY Katılım Şubat 2012
3.2K Takip Edilen8.1K Takipçiler


@fouad_boulos Makes sense - was just throwing it out there…had a not so recent case in an unusual location…
English

What a fascinating suggestion Dr. Fine! I have not considered that so I did not do any Ewing IHC or molecular testing. I think it's because I saw compelling hair follicle differentiation, and because it looked benign to me albeit quite basaloid. The overall architecture struck me as a basaloid skin adnexal tumor with trichoblastic differentiation rather than anything ominous.
English

This is a superficial breast lesion in a man. What is your differential?
I am stumped.
#breastpath #dermpath




English

Honored to join Urologic Oncology colleagues and lend a Pathology voice and insights to the proceedings of this meeting addressing Targeted Biopsy & Focal Therapy @BehfarEhdaieMD @MSKCancerCenter


English

@rovingatuscap @Sara_Jiang @KMirza @JMGardnerMD @h_alahmadie @LJTafeMD @LaraHarikMD @Mvgs1706 @drmehrarohit @RonAraneta Here's my version of Springtime in NYC!



English

Beautiful angiomyolipoma/PECcoma of kidney displaying all 3 components, dystrophic vasculature (lower R), and perivascular epithelioid (PEC) cells radiating from the blood vessel (upper center) #gupath

English

Striking abrupt transition in urothelium from normal/reactive changes (R) to flat urothelial carcinoma in situ (L), the latter marked by profound disorder of architecture and cytology #gupath

English
Samson W. Fine, MD retweetledi

🚨Don’t miss the first webinar in the USCAP Professional Development Series next Tuesday (May 12)!
🌟“From Insight to Impact: Leadership Lessons in Pathology” by Dr. Sarah Dry
🌟Moderated by Dr. Terri Jones
🌟An initiative of the membership committee
@TEwaJonesMD @RaulSGonzalezMD @DrCristinaMagi @TheUSCAP
#Pathology #USCAP #Leadership
USCAP@TheUSCAP
Join your fellow pathologists on May 12 for our newest, member-exclusive series! Learn more: buff.ly/eMO7peS
English

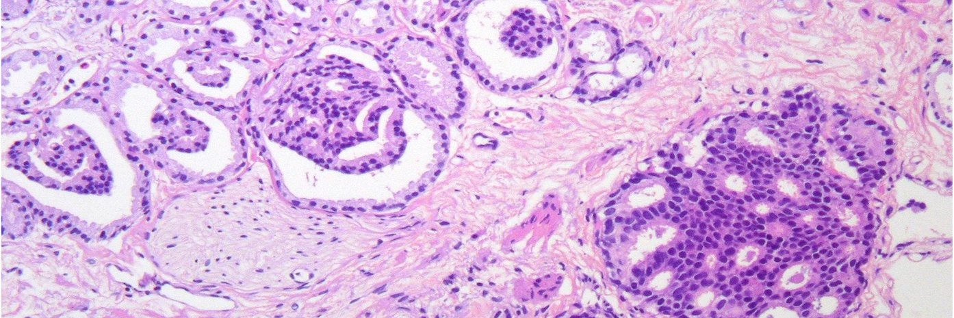
@fetot Clue: PIN-like stratified glandular epithelium that “drips” along tissue edges
English

@slusagar @KukMariya Beautiful case - esp. in infiltrative-appearing examples such as this, the combination of the granular/crumpled cytoplasm and labeling for histiocyte markers will help distinguish from high-grade foamy gland carcinoma or (post-ADT) carcinoma with profound hormonal therapy effect
English

#GUpath prostate bx
Gleason 4+4 prostatic adenocarcinoma?
nope! this is just #beautyinb9 xanthoma
⏬⏬




English
Samson W. Fine, MD retweetledi

📣 Join us for the next @GU_Path_Society Virtual Education Series!
🧬 Tumor Staging in GU Pathology (Part 1)
📅 June 23, 2026 | ⏰ 12–1:30 PM EST
Featuring: 👨⚕️ Dr. Tekin @buraktekinmd
👨⚕️ Dr. Sangoi @slusagar
👩⚕️ Dr. Siegmund
Register now 👉 us02web.zoom.us/webinar/regist…

English


Samson W. Fine, MD retweetledi

Join us this Thursday at the Annual Symposium in Translational Research in Pathology at @MSKCancerCenter featuring the William Gerald Award Lecture and outstanding research presentations. @MSKCME @MSKPathology @rovingatuscap mskcc.cloud-cme.com/course/courseo…
English

@IHC_guy @KMirza @ALBoothMD @MArnold_PedPath @LJTafeMD @hemepathguy @JLHornick @RobHumbleMD @DianaEstherossi @YarisDombrovsky @stephen_lagana Best wishes on your move, Andrew @IHC_guy!!
English

As I spend the weekend packing my office and contemplating my lives, old and new, I wanted to share the poetry and wisdom of my great old friend, Frank Mitros, who inscribed this text for me upon his retirement in 2012 (1/4)


Carlos HF Chan MD PhD@CarlosHFChan
Today is our last day of work in Iowa, ending a decade long surgery-pathology partnership with @IHC_guy. Not April Fool 😏. We will both head to separate way on June 1 ✈️ ➡️ 🍎 and 🍑
English
Samson W. Fine, MD retweetledi

100 Xfluencers in Prostate Cancer: Key Opinion Leaders to follow on X (Twitter) in 2025
OncoDaily brings to you our annual list of the 100 Xfluencers in Prostate Cancer, bridging the gap between traditional lecture halls and the real-time, expert-led breakthroughs happening right now on X.
Join the experts. Stay updated. Drive the conversation.
oncodaily.com/not-to-miss/10…
#Cancer #ProstateCancer #UroOnc #GUOnc #OncoDaily100 #100XfluencersinProstateCancer #OncoDaily #Oncology #MedEd #MedTwitter #MedX #MedOnc @CancerWorldmag

English
Samson W. Fine, MD retweetledi

Behind every diagnosis is a doctor who sees what others can’t.
On Doctor’s Day, let’s celebrate the unsung heroes of #DiagnosticMedicine—pathologists & radiologists—whose expertise guides care, clarifies uncertainty, and saves lives from behind the scenes.

English

So long San Antonio #USCAP2026 - as always, was great fun learning with & from colleagues and friends #MakingConnections #BeyondtheAbstract




English











