Закреплённый твит

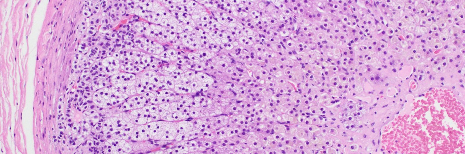
🔬Happy Monday, Twitterverse! We at the Path dept of AMC want to help educate residents and fellow learners alike to showcase the interesting world of pathology. We will strive to present an unknown case once at least every two weeks. Can you guess the diagnoses?🤔 #pathtwitter
English


























