Arwa
19 posts

Arwa ری ٹویٹ کیا
Arwa ری ٹویٹ کیا

اجتمعنا اليوم لنعيش لحظات جميلة وسط عامنا الأخير بقلوبٍ تُدرك أنّها تعيش آخر الفصول.
بين ضحكات بناتي الصادقة، والصور التي تحفظ ذكرياتنا، شعرتُ أنّ هذا اليوم سيبقى طويلًا في الذاكرة…
كان احتفاءً بسيطًا، لكنه يشبهنا؛ ناعم، دافئ، ومليء بما لا يُقال…
#senior_coffee_break




العربية
Arwa ری ٹویٹ کیا
Arwa ری ٹویٹ کیا

لقد أعدت تشكيل مسارنا ووهبتنا آمالًا جديدة. نحن، كجيل يؤمن بقوة التغيير، نقف بجانبك لصياغة مصير أفضل لوطننا حتى يكتمل السرد. سننام اليوم كسعوديين، متوشحين بالفخر، مشبعين بالعزة، وقلوبنا تنبض بقصة لم تكتمل فصولها بعد.. 💚
سألتُ الله أن يُبقيكَ دهرًا
فما لكَ في البريّة من نَظيرِ.
#محمد_بن_سلمان

العربية

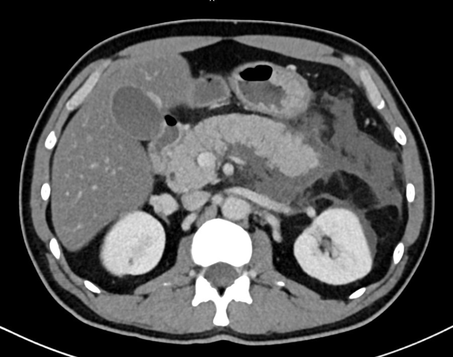
@IhabFathiSulima Acute pancreatitis
CT finding : peripancreatic fat stranding
English

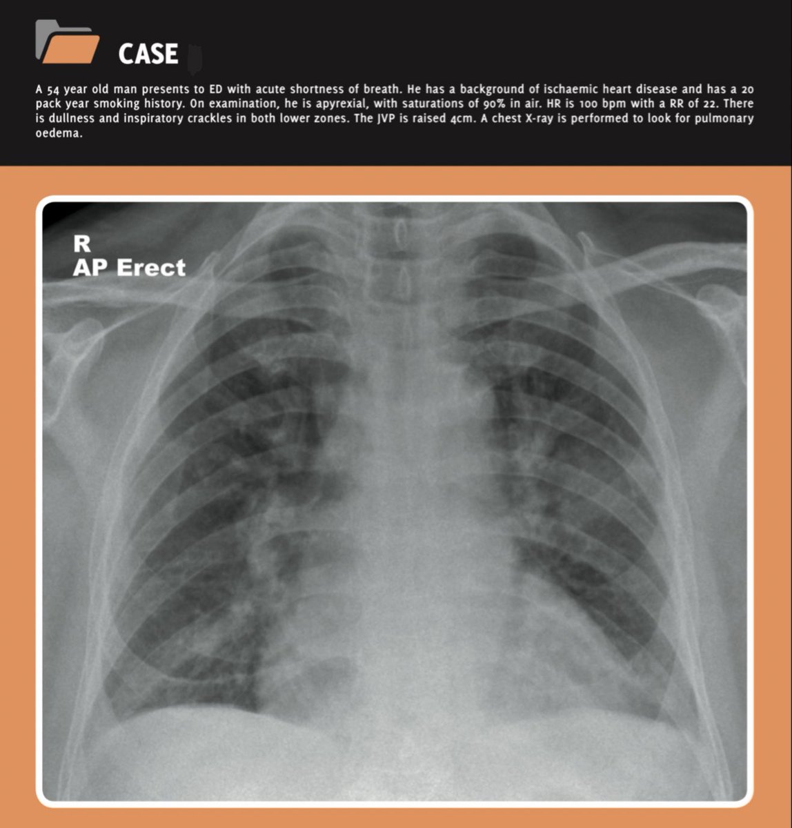
@world_of_med1 Bilateral lower zone opacities suggestive of pulmonary congestion/oedema, Possible cardiomegaly (or may be due to the view AP the heart appear enlarged), No clear pneumothorax or localized consolidation
and Vascular congestion visible
English
Arwa ری ٹویٹ کیا





























