
@tikitakatoyo سمی ترش اونایین که فک میکنن عقل کلن اعتماد بنفس بیخودی دارن
فارسی
دندانپزشکِ ثم
13 posts

@Samindentistry
دندانپزشک بدون فیلتر






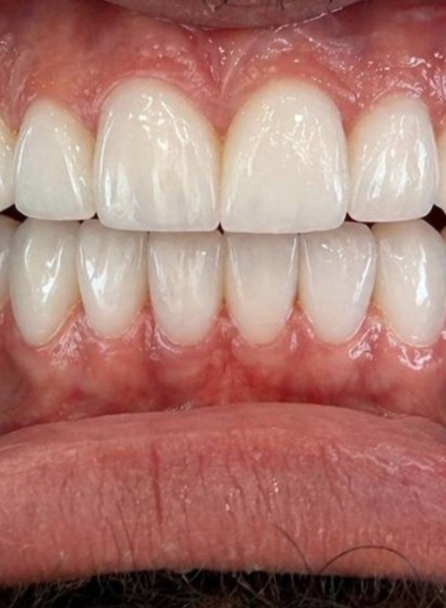
یکی از ونیرهای امروزم خیلی خوشگل شد(به نظر خودم) ولی الان عکسهاش رو میبینم میدلاین بالا یه مقدار کجه و دوتا یکا خیلی قرینه نیستن. اعصابم خورد شد سر همچین چیزهای کوچیکی ونیرم ایده آل نشده💔


از وقتی برام جرمگیری کردی همه دندونام خراب شده



