




Roger Williams_IR
298 posts

@rogshw
Father, US Marine and Interventional Radiologist with special interests in oncology and pain palliation. My Tweets are my own. Innovation=Interventional

















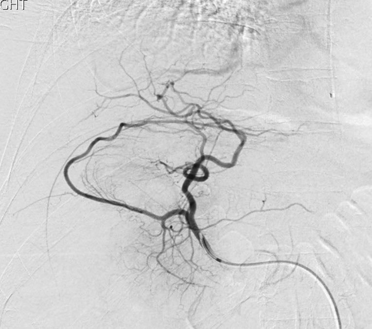
What’s happening here? Wrong answers only 🫣 #irad







More records in interventional radiology! Yesterday, the first TIPS ( Trans-jugular intra-hepatic porto-systemic shunt) was conducted on a patient with recurrent hematemesis (vomiting blood) due to portal hypertension secondary to liver cirrhosis.





I am delighted to announce that @NimaKokabiMD from @EmoryIRad will be joining @VIRTarHeels family as the VC of Clinical Research and Director of IO! Golden future ahead w/amazing prospects of improving clinical care+research @MaureenKohi @UNCRadiology @DavidMauroMD @UNC_SOM






