Meryem Terzioglu, MD me-retweet

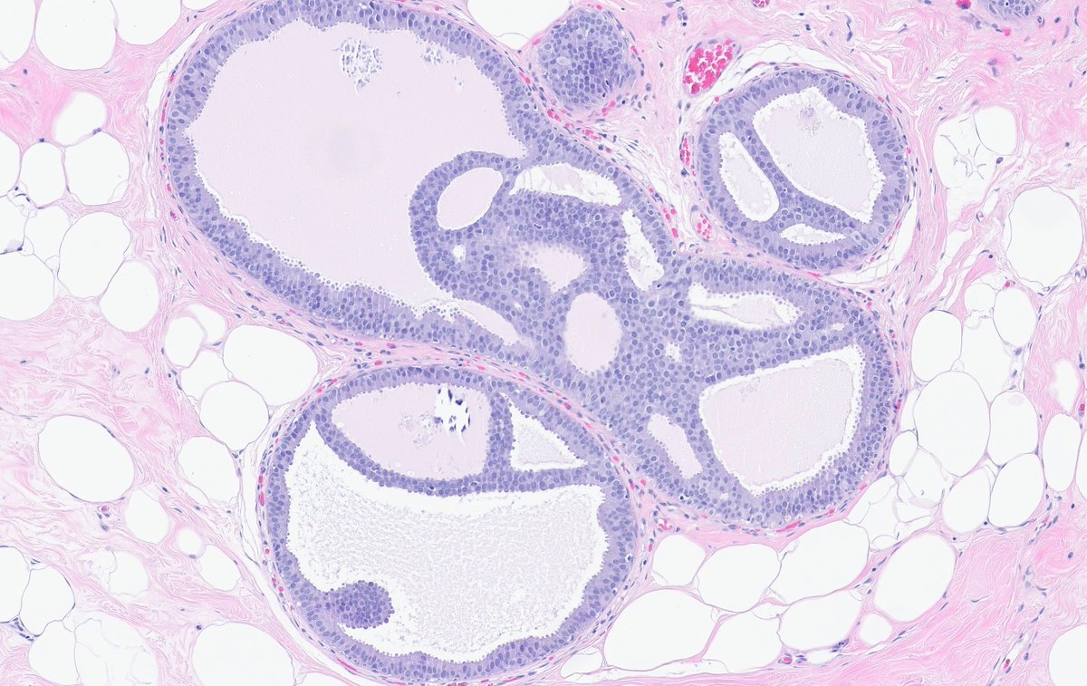
Beautiful ADH arising from FEA. I think there are a couple of peace symbols hiding in there ☮️:)
#breastpath

English
Meryem Terzioglu, MD
307 posts

@md_terzioglu
Pathologist- AP/CP & Hematopathology trained @CCFPATHRES



🧩 Bloody Bladder When signing out this lesion, what clinical question comes to mind? 👨 65-year-old man • Prior prostate adenocarcinoma? 👩 45-year-old woman • Prior cervical carcinoma? not always. So… what’s the diagnosis? 🤔 #DxMindMap #BladderTumor #PathTwitter #JHUPath









































