StemCellReports

1.4K posts

StemCellReports banner
StemCellReports

StemCellReports

@stemcellreports

For scientists. By scientists. The official journal of the @ISSCR | Editor-in-Chief: Janet Rossant, CC, PhD

가입일 Temmuz 2019
183 팔로잉3.6K 팔로워
StemCellReports 리트윗함
Pancreatic Cell News
Pancreatic Cell News@PancreaticCell·
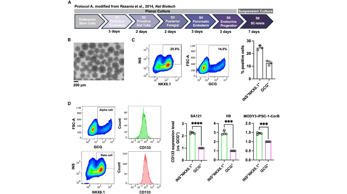
👓 Check this out! Scientists presented a robust cell-sorting-based purification strategy to enhance stem cell-derived beta (SC-beta) cell purity. @stemcellreports | bit.ly/473lPal
Pancreatic Cell News tweet media
English
0
1
5
143
StemCellReports
StemCellReports@stemcellreports·
New study presents results from the CIRCA-19 trials evaluating umbilical cord–derived mesenchymal stromal cells for severe COVID-19 acute respiratory distress syndrome. Cells were well tolerated and linked to improved clinical outcomes from lymphopenia ow.ly/orGw50Yt8BS
StemCellReports tweet media
English
0
1
2
179
StemCellReports
StemCellReports@stemcellreports·
Stem Cell Reports is proud to be the Official Meeting Journal of the 20th Annual Wisconsin Stem Cell Symposium, taking place in Fitchburg, Wisconsin, USA on 15 April 2026. Learn more: ow.ly/45Ve50Yw014
StemCellReports tweet media
English
0
1
2
147
StemCellReports
StemCellReports@stemcellreports·
Online Now! Nuclear Lipin1 recruits HDAC2 to epigenetically repress SREBP1-dependent lipid synthesis and myelination in hypoxic preterm white matter injury, offering targets for white matter repair in preterm infants. ow.ly/nJrp50Yt8tA @CellPressNews
StemCellReports tweet media
English
0
1
3
379
StemCellReports
StemCellReports@stemcellreports·
New article highlights Korea’s new Advanced Regenerative Medicine Treatment category under its amended regenerative medicine law, focusing on patient access, review processes, safety monitoring, ethical safeguards, and lessons from Japan’s framework. ow.ly/3U4e50Yt8pq
StemCellReports tweet media
English
0
2
1
350
StemCellReports
StemCellReports@stemcellreports·
Canonical & non-canonical WNT signaling pathways sequentially orchestrate early retinal morphogenesis and environmental factors within the host retina strongly drive the alignment and functional integration of graft photoreceptors. ow.ly/spGh50Yqg7r @Riken_EN @Riken_JP
StemCellReports tweet media
English
0
1
4
681
StemCellReports
StemCellReports@stemcellreports·
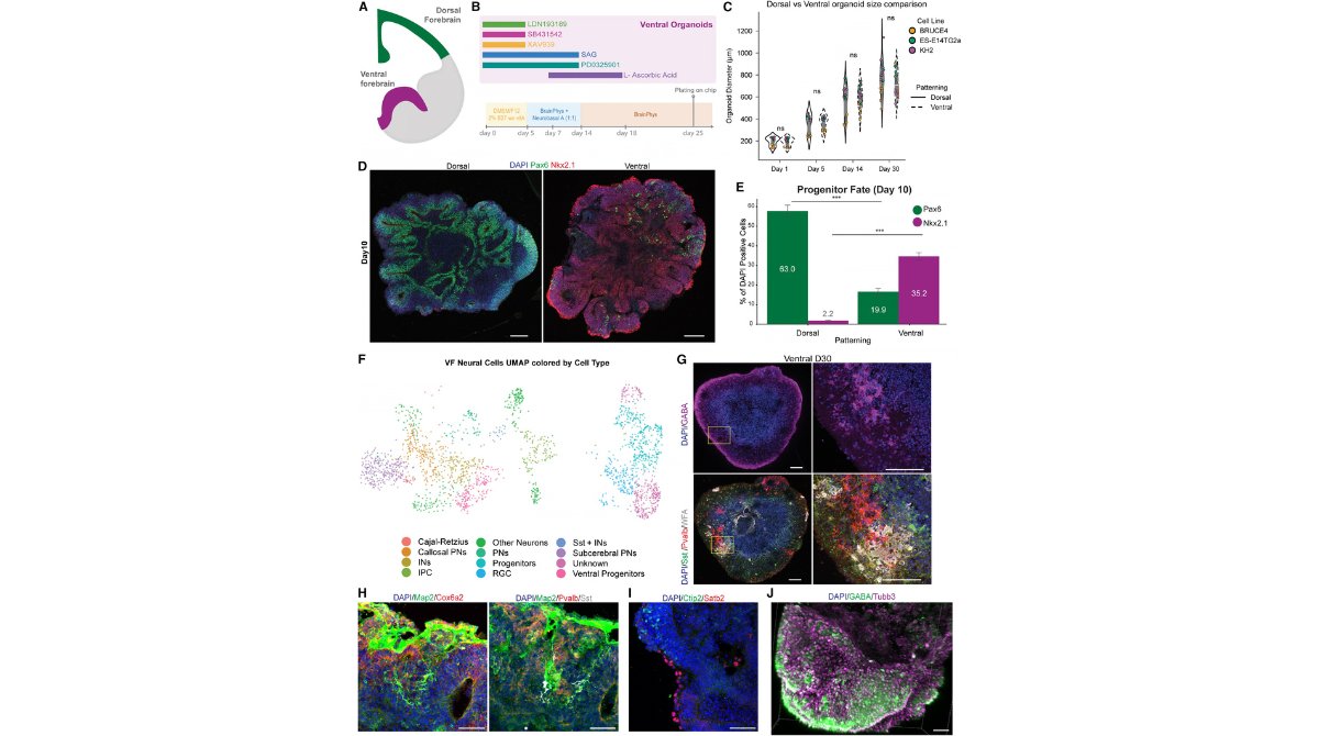
Mouse forebrain #organoids self-organize into small-world neural networks. Findings demonstrate how cellular composition influences neural circuit self-organization, establishing mouse forebrain organoids as models of cortical network assembly. ow.ly/aCfV50YqfSm
StemCellReports tweet media
English
0
2
4
714
StemCellReports
StemCellReports@stemcellreports·
Delayed forebrain excitatory and inhibitory neurogenesis in STRADA-related megalencephaly via mTOR hyperactivity. Findings suggest mTOR inhibition during fetal brain development may be a potential therapeutic strategy in STRADA deficiency. ow.ly/Xpn850Yqftv @UMichMedSchool
StemCellReports tweet media
English
0
1
8
453
StemCellReports
StemCellReports@stemcellreports·
Guests on the latest The Stem Cell Report podcast created new lab models to study Merkel cells. Their work provides easier access to Merkel cells for future studies including disease models to understand the pathophysiology of these cells. @zje_institute ow.ly/owXF50YrsWb
English
0
1
3
312
StemCellReports
StemCellReports@stemcellreports·
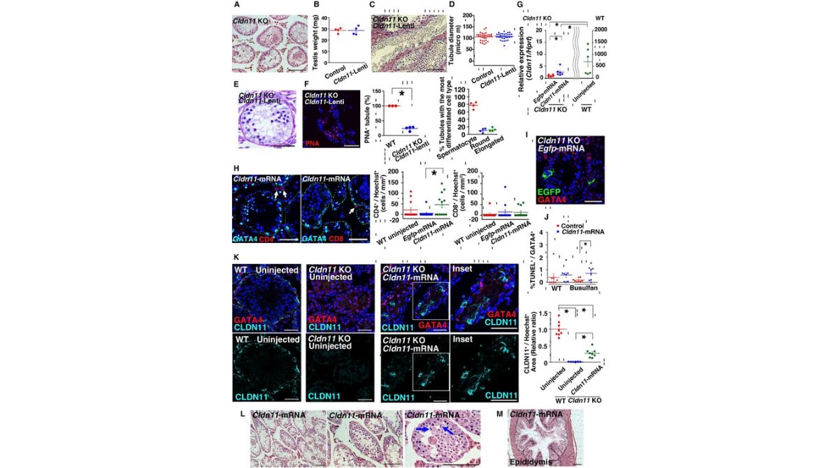
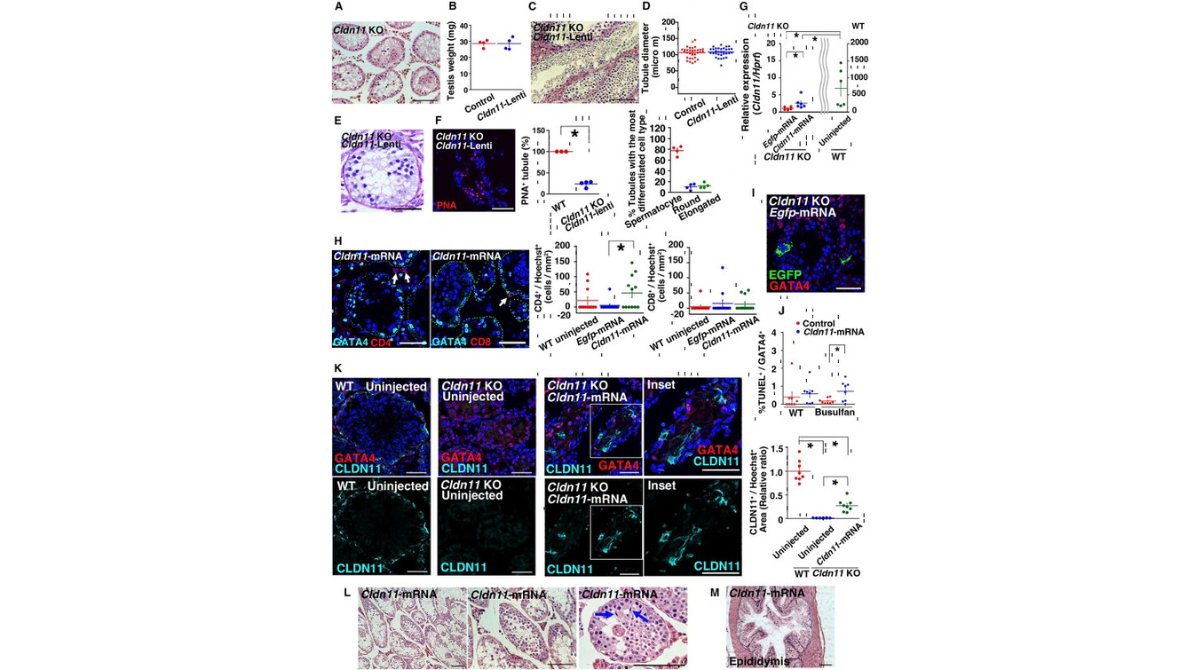
mRNA delivery into Sertoli cells restores fertility to congenitally infertile male mice, demonstrating the potential of an mRNA-based therapy for male infertility that targets testicular somatic cells without introducing genetic material into the germline cell.com/stem-cell-repo…
StemCellReports tweet media
English
0
1
13
1.3K
StemCellReports
StemCellReports@stemcellreports·
Stem Cell Reports, the @ISSCR's online, open-access journal, is seeking applications for an Associate Editor. Applications are due 10 April 2026. Learn more: ow.ly/38oG50YrX9Q
StemCellReports tweet media
English
0
1
1
459
StemCellReports
StemCellReports@stemcellreports·
Check out this new research! Mettl3 promotes reprogramming and axonogenesis of induced retinal ganglion cells, offering insights to improve neuronal fate and axon regeneration outcomes for therapeutic purposes to treat neurodegenerative diseases. ow.ly/x1Fw50Yqgpj
StemCellReports tweet media
English
0
3
7
600
StemCellReports
StemCellReports@stemcellreports·
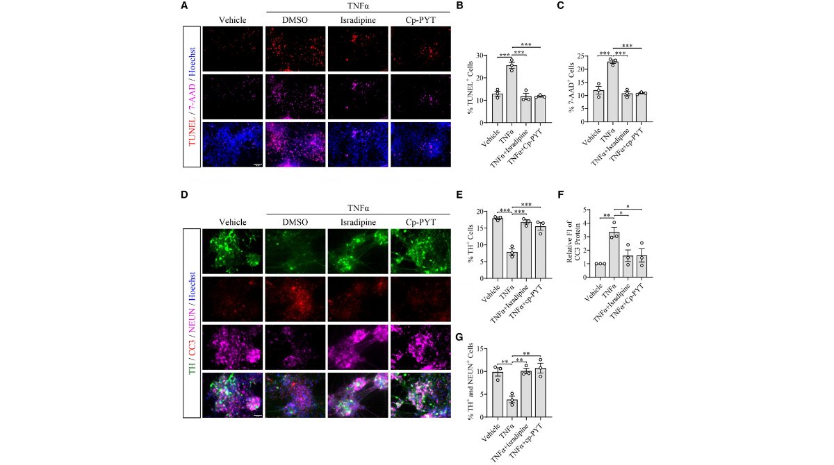
Poor survival of transplanted midbrain dopaminergic neurons remains a key risk for Parkinson’s disease therapy. New research shows selective Cav1.3 inhibition promotes survival of transplanted hPSC-derived neurons by suppressing the CaMKII-p65-p53 pathway ow.ly/Iot750Yqf4Z
StemCellReports tweet media
English
0
2
3
573
StemCellReports
StemCellReports@stemcellreports·
Listen & learn about touch. The Xiao & Wang labs join the Podcast to talk about Merkel cells & their publication tinyurl.com/3pzb3phj on new platforms to study these specialize cells. Available for download with your favorite podcasts & here tinyurl.com/yc6h7rvu. @ISSCR
StemCellReports tweet media
English
0
1
1
415
StemCellReports
StemCellReports@stemcellreports·
Online now! Genome-engineered human pluripotent stem cells evade immune rejection in humanized mice, surviving 5 months in transplantation models. The study provides proof-of-principle for universal donor stem cells for regenerative medicine. ow.ly/VBeu50YqeT0
StemCellReports tweet media
English
0
10
19
1.4K
StemCellReports
StemCellReports@stemcellreports·
New commentary reframes TNF in hematopoiesis. TNF’s effects are cell type-, context-, and time-dependent. Rather than being simply “bad,” TNF can prune progenitors while transiently reprogramming HSCs without sacrificing long-term regenerative capacity. ow.ly/lO0y50YoF64
StemCellReports tweet media
English
0
2
6
544