Abdulrahman Alshamrani
3.7K posts

Abdulrahman Alshamrani
@1AA_SH
Neurosurgery PGY5 🧠 @modgovksa
Makkah - Jeddah Katılım Aralık 2012
520 Takip Edilen1.4K Takipçiler
Abdulrahman Alshamrani retweetledi

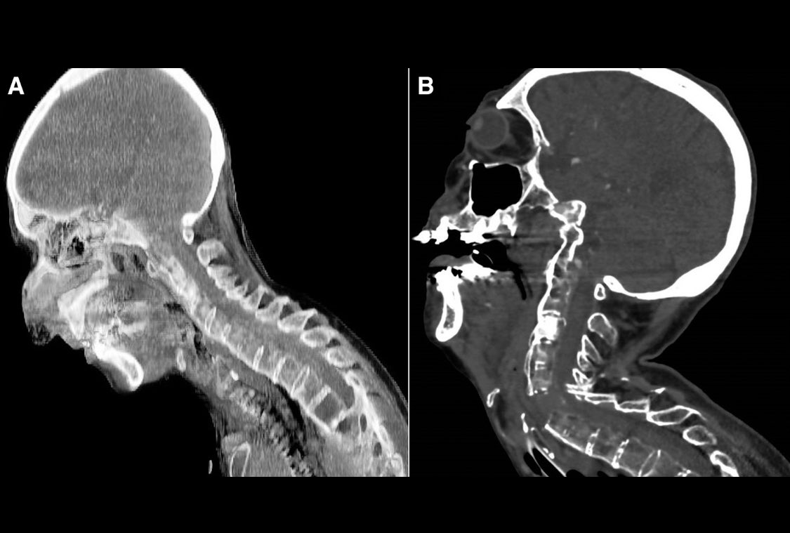
🏃 كارثة طبيب التخدير ⚠️ تخيل تدخل غرفة العمليات تمشي وتطلع مشلول💥
✨في حالة طبية نادرة تسمى (Ankylosing Spondylitis)، وهي مرض روماتيزمي مناعي مزمن يسبب التهاباً وتصلباً في العمود الفقري . تصور لما العمود الفقري يتحول إلى قطعة واحدة صلبة وفاقدة للمرونة تماماً مثل قصب الخيزران.
✨القصة المؤلمة لسيدة تبلغ من العمر 82 عاماً، تعاني من هذا المرض منذ سنوات، دخلت لعملية جراحية. طبعا لتأمين مجرى الهواء أثناء العمليه قرر الفريق استخدام "المنظار الحنجري بالفيديو" (Video Laryngoscopy).
✨طبعاً التكنولوجيا لا تغني عن المهارات الأساسية وليست دائماً الحل! طبعا المنظار بالفيديو عادة ما يكون منقذاً في الحالات الصعبة، لكن في هذه الحالة، وبسبب الزاوية الحادة للمنظار والقوة التي استُخدمت لرؤية الأحبال الصوتية، حدث ما لم يكن في الحسبان.. "كسر!"
4/ الكسر كان بسبب القوة التي بُذلت لتوسيع مجرى التنفس تسببت في كسر الفقرات العنقية (C5-C6).
✨ تخيل أن رقبة المريض كُسرت أثناء محاولة إنقاذ حياتها بالتنفس! لأن الرقبة "الهشة" لم تتحمل أدنى ضغط لتعديل زاويتها.
✨الدرس القاسي في هذه الحالة المنشورة في مجلة Anesthesiology أصبحت مرجعاً عالمياً 💥الرسالة واضحة: في حالات "العمود الفقري الملتحم"، التكنولوجيا قد تخونك، واللطف والمهارة اليدوية الفائقة ومعرفة تاريخ مريضك المرضي جيدا أهم من أقوى الأجهزة.
✨الخلاصة: "القوة" لا تعني دائماً "السيطرة ". أحياناً، محاولة رؤية الحبال الصوتية تحت ضغط الوقت والخوف من تدهور الحالة قد تكلف المريض عموده الفقري. دائمًا اسأل عن البدائل الأكثر أماناً في الحالات المعقدة.

العربية

@ShamraniAA رحمه الله وغفر له واسكنه فسيح جناته وعظم الله اجركم واحسن عزاءكم
العربية

@AhmadMAlOthman ما شاء الله
مبارك دكتور أحمد و كل التوفيق في القادم
العربية
Abdulrahman Alshamrani retweetledi

@Abdullah_rvv @MajdSamman مبارك يا الزميل
و كل التوفيق في القادم
Welcome to the club
العربية

{وَآخِرُ دَعْوَاهُمْ أَنِ الْحَمْدُ لِلَّهِ رَبِّ الْعَالَمِينَ}
الحمدلله!
فضل الله عظيم سبحانه!
بفضل الله وحده! ثم بفضل اساتذتي ومعلميني وعلى رأسهم @MajdSamman تم قبولي ببورد جراحة المخ والأعصاب بهذا الصرح العظيم، مدينة الملك سلمان بن عبدالعزيز الطبيه🌹
الحمدلله وحده❤️


العربية
Abdulrahman Alshamrani retweetledi
Abdulrahman Alshamrani retweetledi

In this operative video, @AaronCohenGadol demonstrates the resection of an inferior posterior frontal glioma of the non-dominant hemisphere.
The tumor is visualized at the posterior Sylvian fissure, just inferior to the motor and somatosensory cortices. Sleep mapping is performed for motor and somatosensory function, which confirms no functional tissue overlying the tumor, permitting safe resection. White matter dissection is performed using bipolar forceps as scissors, carefully peeling the tumor from surrounding tracts while protecting deep vessels. Vessels feeding the tumor are sacrificed, while those leading to motor and somatosensory cortices are preserved. The tumor is progressively removed until clear margins are obtained.
Learn more here: zurl.co/o0BF1
#Neurosurgery #GliomaSurgery #DrCohen #SurgicalExcellence
English
Abdulrahman Alshamrani retweetledi
Abdulrahman Alshamrani retweetledi

Abdulrahman Alshamrani retweetledi

Does the work up for dizziness make your head spin?
Wondering what you should look when a patient presents w/dizziness?
This month’s @theAJNR SCANtastic has what you need to hear!
ajnr.org/content/46/8/1…
For every patient w/dizziness, remember the mnemonic VESTIBULAR to remind you what to look for:
V is for vestibular schwannoma, vestibular neuritis
E for endolymphatic hydrops (Meniere’s)
S for stroke
T for TIA
I for internal otitis (labyrinthitis)
B for BBPV
U for under hydration
L for loops of vessels (vascular loops)
A for arrhythmia
R for recurrent migraine (vestibular migraine)
In this month’s @the AJNR, de Pont et al. looked at delayed post contrast imaging for Meniere’s. They found that when the filling defect for the endolymph herniates into the semicircular canal, Meniere’s disease is usually more severe & chronic
I think it looks like a bird pooping!
So now you know this finding for Meniere’s disease on delayed post contrast MRI! Hopefully now an MRI for dizziness won’t put you off balance!
Follow @theAJNR & check it out for yourself!
ajnr.org/content/46/8/1…

English
Abdulrahman Alshamrani retweetledi

Form follows function!!
Do you know functional neuroanatomy?
This post will help you to remember the functional neuroanatomy you need to function if you are reading brain MRIs!
Here’s how:
1. First start at the top
—At the top you will see a gyrus that looks like a thumbs sticking up. This is the superior frontal gyrus (SFG).
—Remember this bc you get a thumbs up when you do a superior job!
2. Next to the SFG is the middle frontal gyrus
—This looks like knuckles next your superior frontal gyrus thumb
—Remember this bc your MIDDLE finger is in your knuckles
—ALWAYS LOOK FOR THE KNUCKLES W/THE THUMBS UP!
3.Use the SFG to find the motor strip
—SFG has a motor & language component
—Motor component is first at the back (remember, you walk before you talk!)
—Motor component of SFG crashes into the motor strip
—Remember, when two cars crash, their MOTORS hit
4.Confirm its the motor strip by finding the hand omega
—Hand motor region looks like an upside down omega
—Remember Omega is a fancy watch brand you wear near your HAND!
Hopefully now you will be eloquent when it comes to this eloquent cortex!!!

English
Abdulrahman Alshamrani retweetledi

الحمد لله الذي بنعمته تتم الصالحات.
بفضل الله وتوفيقه، ثم بفضل من كانا بعد الله السبب في كل خير، والديّ الغاليين، تم قبولي في تخصص جراحة المخ والأعصاب.
أسأل الله التوفيق، وأن يرزقني الإخلاص في العمل .
#matching2025
#Neurosurgery

العربية














