Motaz Almaghraby
553 posts

Motaz Almaghraby
@3rb_boss
Some people make the world special just by being in it |E💍💜| General Dentist 🦷
Makkah Al Mukarrama Katılım Ocak 2014
418 Takip Edilen632 Takipçiler

الحمد لله الذي بنعمته تتم الصالحات، عقد قراني على @Elaf_urB 💍🤍
اللهم بارك لنا وبارك علينا واجمع بيننا في خير، وادم بيننا المودة والرحمة.


العربية

الحمد لله دائمًا وأبدًا 🤍
اليوم أودّع سنوات من الجهد والسهر، وأبدأ فصلًا جديدًا بعد تخرّجي من طب الأسنان 🦷
فخور بكوني ضمن قائمة العميد الشرفية، و ممتن لكل من دعمني في هذه الرحلة ❤️
UQU Dental Medicine كلية طب الأسنان@uqudent
تهنئ أسرة كلية طب الأسنان الأطباء و الطبيبات المنضمين لقائمة العميد الشرفية و تتمنى لهم التوفيق و السداد.
العربية
Motaz Almaghraby retweetledi

🎊Congrats🎉
The 13th Umm Al-Qura College of Dentistry Annual Research day
Oral Presentation – Interns’ Category
🥇 1st Place:
Dr. Motaz Almaghraby
Supervisor: Dr. Abdulaziz Bakhsh
Title: Long-Term Outcome of Vital Pulp Therapy and Regenerative Endodontic Procedures in Immature Permanent Maxillary Incisors: A 7-Year Follow-Up Case Report
#UmmAlQura #IADR #DentalResearch #OralHealth #ScientificExcellence #DentalStudents #ResearchRecognition #PosterPresentation #OralPresentation #DentalInnovation #IADR_Saudi #UQU_Dentistry

English

@uqudent إنا لله و إنا إليه راجعون
الله يرحمه و يغفر له و يتجاوز عنه و يسكنه جنات النعيم
العربية

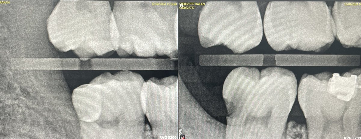
Case of the day #47 OD caries diagnoses Pulp: reversible pulpitis
Periapcal : Normal
VPT approach by direct pulp caping with MTA.
Pt will follow up after 2 weeks for assessment

English

باذن الله راح اكون مقدم الاستديو لكاس العالم للعبة رينبو ٦ متحمس جدا 🔥🔥🔥🔥🔥🔥
كأس العالم للرياضات الإلكترونية@EWC_AR
مواهب رهيبة راح تكون معنا في بطولة @Rainbow6AR! 🤩 الرياض تنتظركم! 🔥 #كأس_العالم_للرياضات_الإلكترونية
العربية

Previously initiated #14 with asymptomatic apical periodontists
RCT was done and post space for future core and crown
Thanks for dr.dowaa


English
















