Sabitlenmiş Tweet

Álvaro A. Faccini-Martínez
4K posts

@AAFaccini
Médico e Investigador, Enfermedades Infecciosas y Medicina Tropical










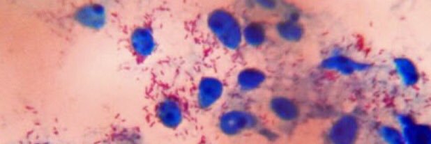
🧪 Un diagnóstico rápido y menos invasivo puede cambiar la historia de la tuberculosis. Las pruebas moleculares en saliva abren una vía prometedora para: ✔️ Detectar antes ✔️ Superar barreras de diagnóstico ✔️ Iniciar tratamiento oportuno Innovar en TB no es opcional: es una urgencia de salud pública. 🫁⚠️ @josemillanonate #Tuberculosis #InnovaciónEnSalud #DiagnósticoTemprano #SaludPública Artículo completo: academic.oup.com/cid/advance-ar…
































