Sabitlenmiş Tweet
Adel Alenazi
577 posts

Adel Alenazi
@AEnazy
استشاري جراحة الفم و الوجه والفكين - عيادات ايليفيت 0530208282 / 0582202020. حساب شخصي
Riyadh- Saudi Arabia Katılım Ocak 2012
244 Takip Edilen2.5K Takipçiler
Adel Alenazi retweetledi

على بعد أسبوع من انطلاق المؤتمر السعودي العالمي لطب الأسنان SIDC 2026.
✅ معتمد من:
🔹️ الهيئة السعودية للتخصصات الصحية
24 CME
🔹️ الجمعية الأمريكية لطب الأسنان(ADA)
21.14CME
📍 واجهة الرياض للمعارض والمؤتمرات
📅 5 – 7 فبراير 2026
للمزيد من المعلومات يرجى زيارة الموقع: sidc.org.sa
للتسجيل والاستفسارات: onlinev2.index.ae/linkedin/pYPHw…
📧 info@sidc.org.sa
📞+966114677743



العربية
Adel Alenazi retweetledi
Adel Alenazi retweetledi

@fayez_malki @elevateclinicsa الشكر لك بعد شكر الله فنانا الكبير ابو راكان على إهتمامك في كثير من قضايا المجتمع وفي العمل الخيري .. ماقمنا به هو واجبنا وحق المجتمع علينا
العربية
Adel Alenazi retweetledi

فتاة عانت من الالم سنوات كسر في الفك وتفت عظام اجتماع خمسة اطباء سعوددين
على حالتها في عيادات ايليڤيت @elevateclinicsa
وكانت النتيجة عظيمة شكرا لكم بحجم السماء



العربية
Adel Alenazi retweetledi
Adel Alenazi retweetledi

✅ *Ceramic Onlays and Endocrowns*
- حضوري ✅
- عملي *Hands on* ✅
🏢 الرياض
🗓️ الجمعة 14 فبراير
2:00 p.m - 8:00 p.m
- ⏰ ساعات معتمدة CME
- شهادة معتمدة
للتسجيل
forms.gle/eus5BsgWuwwF43…


@dr_atel مبارك عليكم التقاعد دكتور عبدالله .. كفيت ووفيت كنت ومازلت لنا خير معلم وخير قدوة .. اسأل الله أن يمتعك بالصحه والعافية الدائمة ويحفظك 🌺🌺
العربية

الف مبروك مراجعي الغالي الله يهنيك ويبارك لك وجعلها ابتسامة العافيه يا رب
.
.
استبدال حشوات وتركيبات سابقة بعدسات وتركيبات بشكل ولون طبيعي حتى اللثه ارتاحت ما شاء الله 🤍🤍
•#تجميل_الأسنان
•#ابتسامة_هوليوود
•#علاج_الأسنان
•#تقويم_الأسنان
•#طب_الأسنان
•#زراعة_الأسنان
•#صحة_الفم
•#العناية_بالأسنان
•#عيادة_أسنان
#أفضل_دكتور_أسنان


العربية
Adel Alenazi retweetledi

سعدت بزيارة عرّاب العمل الخيري الخلوق أبو راكان …
شكراً على كل ماتقدم جعلها الله في موازين حسناتك
@elevateclinicsa
@fayez_malki
العربية
Adel Alenazi retweetledi

{فَاسْتَجَابَ لَهُمْ رَبُّهُمْ أَنِّي لَا أُضِيعُ عَمَلَ عَامِلٍ مِنكُم}
بتوفيق الله، قُبلت في البورد السعودي بتخصص جراحة الوجه والفكين بمدينة الأمير سلطان الطبية العسكرية🥇
I matched into Maxillofacial Surgery 💀 !
#Matching2024

العربية

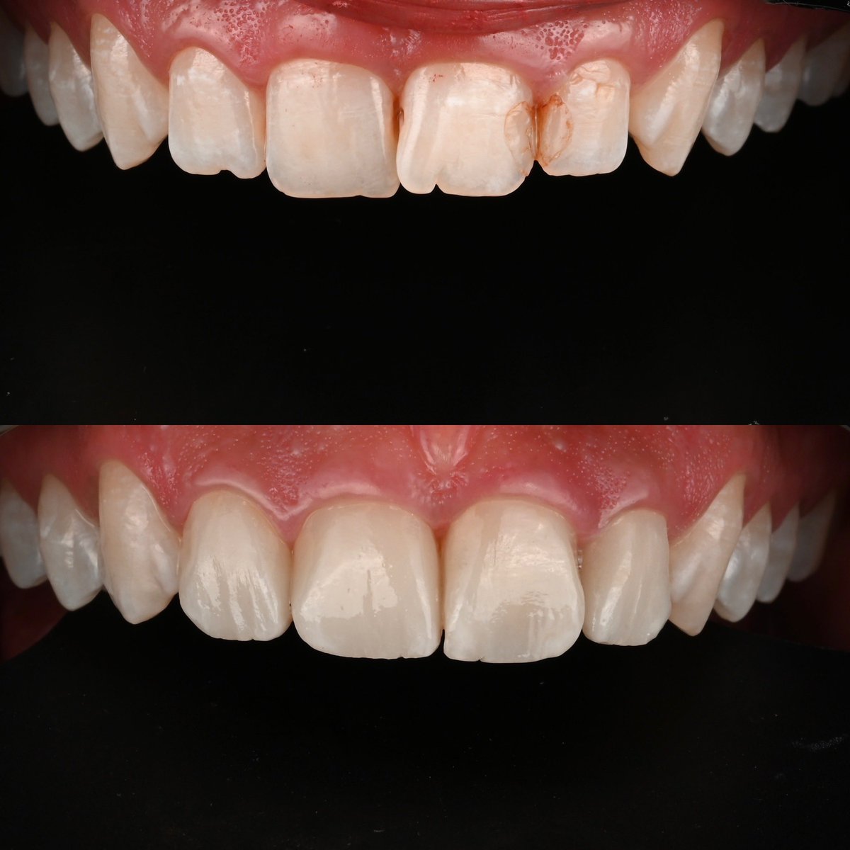
إبداع ماشاء الله تبارك الله..
د.صالح ال فرحان@alfarhansale7
ما شاء الله تبارك الله الف مبروك مراجعي الغالي عدسات وتركيبات إيماكس بشكل ولون طبيعي ولثة صحية 🤍🤍 #تجميل #أسنان
العربية
Adel Alenazi retweetledi

*كورس زراعة الاسنان*
*و أحدث التقنيات في المجال 🦷
- حضوري ( نظري + عملي ) ✅
- 5 ساعات معتمدة ✅
- شهادة حضور معتمدة ✅
🏢 الرياض
• 8 مارس يوم الجمعة
من الساعة 2 ظهرا- 7:30 مساء
للتسجيل : forms.gle/52HQc4yed5jkY4…

العربية






















