
An enlightening final day at #ThunenSoilMetagenomics capped off with some #glühwein at #Braunschweig #ChristmasMarket


English
Alex D. Williams
226 posts

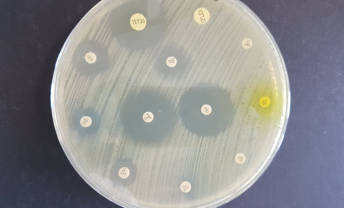
@AMRontheFarm
PhD student studying antibiotic resistance on dairy farms: does the use of slurry as fertiliser promote the spread of resistance in soil and crops? #AMR




























