Aaron S. Field, MD, PhD
26 posts

Aaron S. Field, MD, PhD
@ASFieldMD
Professor of Radiology and Neuroradiologist at University of Wisconsin - Madison
Katılım Temmuz 2019
28 Takip Edilen191 Takipçiler

We are thrilled to announce that Dr. Patrick Belton has joined our department as an Assistant Professor! We are fortunate to have you as part of the neurological surgery team. More information can be found on Dr. Belton at neurosurgery.wisc.edu/staff/belton-p… #neurosurgery #uwsmph #uwhealth

English

@tabby_kennedy @UWiscNeuroRad @horo58 @UWiscRadiology @TheASNR @JudyGadde It's been a privilege, Chief!
English

Moving to @UWiscNeuroRad for fellowship 15 years ago was one of the best decisions I have made. Little did I know then how impactful that decision was. Howard & Aaron have been THE BEST role models & have supported me every step of the way. Mentorship matters.
#OnWisconsin

English
Aaron S. Field, MD, PhD retweetledi

Always interested in what other alt weeklies are doing, I read this @CapTimes cover story by @NatalieYahr at a general store an hour outside of Madison & am now weeping into my chilaquiles. Run, don’t walk, to read this gorgeous, funny, unsentimental story captimes.com/news/a-dying-a…

English

@DrLongissimus @ASFieldMD is in a real band named “Fringe Field”!
English
Aaron S. Field, MD, PhD retweetledi

@UWiscRadiology is growing! We offer amazing resources & support for faculty, such as access to @WARF_News, close relationship with @wiscmedphys, and state-of-the-art facilities at @uwsmph & @UWHealth. Join the team today: radiology.wisc.edu/jobs/
English

@KVUE Personal choice to die for nothing and leave his family devastated. Shame on him.
English

Allen High School's new football coach, James Shillam, died Sunday, days before his Allen Eagles will play their first game. His family said he made the personal choice to not get vaccinated. kvue.com/article/news/l…
English
Aaron S. Field, MD, PhD retweetledi

In this editorial, Drs Field and Birn discuss results and clinical utility of applying resting-state fMRI independent component analysis technique to sentence completion task–based fMRI data. bit.ly/3rrNoEl @ASFieldMD @rbirn @UWiscNeuroRad

English
Aaron S. Field, MD, PhD retweetledi

Spotted... @ASFieldMD of Fringe Field!! We can’t wait ! #ASNR21
Josh Hirsch@JoshuaAHirsch
One week from tonight (5/24)--an @TheASNR 1st--#soexcited! #Dancing #RockAndRoll #artwork #photography--#NeuroRads will delight your senses--#CrazyFun! #JoinUs though this won't be 4 #CME 😇🤔#RegisterNow #ASNR21 asnr.org/annualmeeting/… @gdabus @docroc99 #TalentShow 🎹🎸🎷🎺👋
English

@tabby_kennedy @UWiscRadiology @uwsmph @UWiscNeuroRad @UWiscRadEd @JW_Stephenson Congratulations on this well-deserved honor!
English

@UWiscRadiology @uwsmph @UWiscNeuroRad @UWiscRadEd Feeling incredibly honored to have been selected by the graduating 4th year medical students from @uwsmph for this award !
This would not have been possible without the support of my friend and peer mentor @JW_Stephenson and my colleagues @UWiscRadiology and @UWiscNeuroRad
English

And the award goes to @tabby_kennedy! Congratulations on being chosen by our graduating @uwsmph medical students to receive the Clinical Science Teaching Award. Click the image below to read more! @UWiscNeuroRad @UWiscRadEd glimpse.link/l/OjUpW0I
English

@DShatzkes @tabby_kennedy @CMGlastonbury @callyrobs @dave_zander @PhilipRChapman1 @ASHNRSociety @AtaSiddiqui4 Sphemotemporal Buttress
English

@tabby_kennedy @CMGlastonbury @callyrobs @dave_zander @PhilipRChapman1 @ASHNRSociety @AtaSiddiqui4 Ok. Maybe not enough coffee today, but what is STB?? I call that greater sphenoid wing (GSW?)
English

@tabby_kennedy @UWiscNeuroRad @JPYu_MDPhD @KunerMd @GregAvey @UWiscRadiology @StephenTangMD @KellyCapelMD @TheASNR @CMGlastonbury @JW_Stephenson Quite a year to be a new Section Chief! Extraordinary leadership at an extraordinarily difficult time. Though I couldn't have known it, I obviously chose the right moment to step down!
English

What a surprise! Flowers from my @UWiscNeuroRad section celebrating my 1 year anniversary as Neuroradiology Section Chief. What a year to start a new leadership role! Grateful for all of my peer mentors locally and from afar. #OnWisconsin

English

@francisdeng @KunerMd @RogerWJordan @TheASNR @UWiscNeuroRad If you don't mind some math, Calamante F, Top Magn Reson Imag 2010;21:75-85 is excellent.
English

@KunerMd @RogerWJordan @ASFieldMD @TheASNR @UWiscNeuroRad Any good reading references for this? I am still confused on the following: if Tmax is affected by both macro and micro vasculature, how can you conclude that prolonged Tmax means macro is affected?
English

@francisdeng @KunerMd @RogerWJordan @TheASNR @UWiscNeuroRad I'm not aware of a good review that facilitates understanding for non-technical readers while remaining true to the theoretical underpinnings - which is why I developed this talk!
English

@francisdeng @KunerMd @RogerWJordan @TheASNR @UWiscNeuroRad In cerebrovascular disease, microvascular pathology is secondary to macrovascular pathology (there is no "micro only" pathology") - therefore, if Tmax is prolonged, something "macro" must be happening...
English

Thank you, Radiology Residents and Neuro Fellows at University of Toronto Department of Medical Imaging! I enjoyed my first day as Visiting Professor because you were such an attentive audience! @NeuroRadTO @UofTMedIm

English

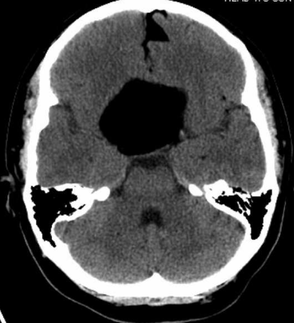
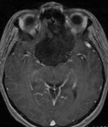
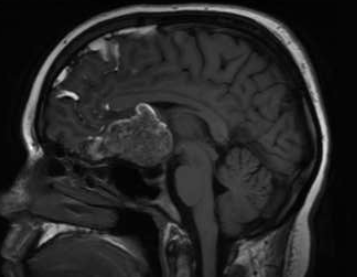
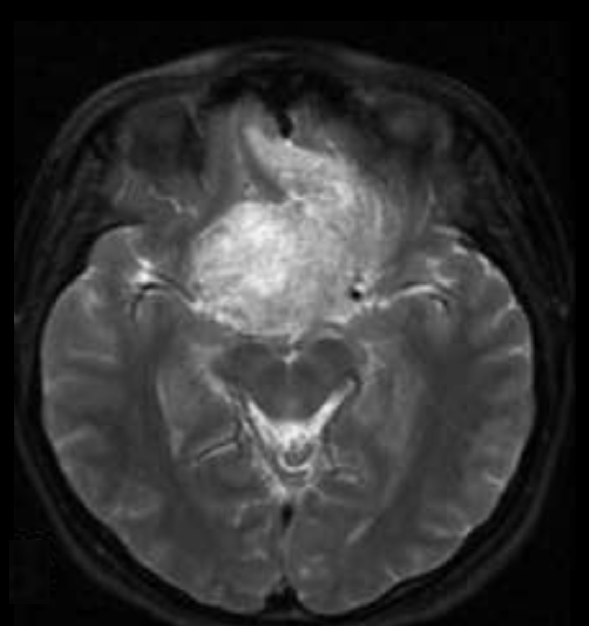
What is the most likely #diagnosis?
#Comment and check out the definitive diagnosis tomorrow!
22 yo F with progressively worsening headaches, intense pressure behind the left eye, photophobia and blurry vision for 1w. PMH: bronchial asthma and mild head trauma. NE: intact #nsgy




English

@Prof_TimStick @MattSmithMDPhD @UWiscRadiology No worries @Prof_TimStick - the Fringe Field will be under 5 gauss for this show... 😁
English

@ASFieldMD @MattSmithMDPhD @UWiscRadiology Will we have to fill out an mri screening form to get close to the band (i.e. zone 4)? 😉
English

If you're at RSNA on Wed (12/4) please come hang with @UWiscRadiology and enjoy some live music courtesy of yours truly (and a few other hard-rockin' MD's/PhD's)! Open to the public! (Just be cool and don't eat all the UW food!) reggieslive.com/show/fringe-fi…

English

@sairaallapeikko No worries Risto - it is a bar, y'know 🍺😉
English

Happy Thanksgiving everyone! Hoping to see some of you next week!!
Aaron S. Field, MD, PhD@ASFieldMD
If you're at RSNA on Wed (12/4) please come hang with @UWiscRadiology and enjoy some live music courtesy of yours truly (and a few other hard-rockin' MD's/PhD's)! Open to the public! (Just be cool and don't eat all the UW food!) reggieslive.com/show/fringe-fi…
English


