
Andrew Sanchez
7.1K posts

Andrew Sanchez
@ASanchez_PS
Hospitalist @BIDMC_IM Teaching/Learning Dx @HarvardMed❓, Co-host @Dx_Atypia 🦓 🐎, @CPSolvers Academy🕵🏽♂️, @YaleIMed @ColumbiaPS @UF 👨🏽🎓
Boston, MA Katılım Mayıs 2009
1.7K Takip Edilen8.5K Takipçiler
Sabitlenmiş Tweet

📌 See below for my collection of:
- Tweetorials for Diagnosis❓
- Case Challenges❗️
- @CPSolvers Presentations ♥️
docs.google.com/spreadsheets/d…
English
Andrew Sanchez retweetledi

We are so excited to welcome to our @BIDMC_IM 2026-27 Intern Class to @BIDMChealth! This exceptional class represents 46 medical schools nationwide and they bring strengths in global health, medical education, QI, research and beyond. We can't wait to see them shine next year! 🌟

English

Looking forward to meeting all the incoming @BIDMC_IM interns in a few short months! 🙌
English
Andrew Sanchez retweetledi

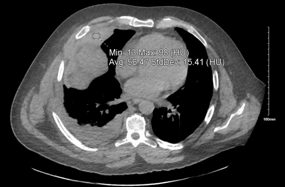
@ASanchez_PS I am seeing an homogenous mass around the right paraspinal area, infiltrating the bone. Wondering if it could be any soft tissue sarcoma???
English

@davserantes What I was thinking … IgG level almost 3000. Light chain ratio slightly off. Will update when SIFE comes back
English
Andrew Sanchez retweetledi

@RodrigoPLCosta Thank you for sharing! Patient's lesions were painless
English

@ASanchez_PS osler nodes have more inflamation (red, tenderness) and appers lately. Janeway appears early and are petechial and painless
English

Following-up! Final findings:
- TEE w/ aortic valve vegetation
- No BCx were drawn on admission, so BCx ⊖ after 72hr of CTX+azithromycin for "pneumonia"
- Skin bx w/ thrombotic vasculopathy, no vasculitis, culture ⊖
Dx = presumed IE c/b Janeway lesions!
Andrew Sanchez@ASanchez_PS
Lots of amazing answers -- no one has put the whole thing together yet though! Here is a clue ✨ 1. What is PMHx? 2. Answer = Osler nodes 3. How to tie PMHx into the finding of Osler nodes?
English

x.com/annkumfer/stat…
- There are other causes of a monoclonal M spike
- SPEP does not determine the type of immunoglobin and associated light/heavy chain causing the M spike.

John Njoroge@4donjohn
Why does M-spine on serum electrophoresis need further analysis🤔? #MedEd
English

@ROKeefeMD @Mark_Heslin @MadellenaC @AdamRodmanMD If you have CME leftover it's fairly inexpensive conference, also starts at 8pm EST so can watch after shift 😃 I'll be Zooming in!
English

Conference invite for my Diagnostic Excellence friends! ✨
You will recognize some faces ... @Mark_Heslin @MadellenaC @AdamRodmanMD
#DxEx

English
Andrew Sanchez retweetledi

Renal hemosiderosis in paroxysmal nocturnal hemoglobinuria - Kidney International kidney-international.org/article/S0085-…
English
Andrew Sanchez retweetledi

Our study of AMIE at @BIDMC_Medicine is out! You can read about what we did in posts from my co-authors (including the Google post below).
But I wanted to talk about some background for this study, and what I think are most interesting findings. 🧵⬇️
x.com/GoogleResearch…
Google Research@GoogleResearch
Today we announce results from a first-of-its-kind study with @BIDMC_Medicine on AMIE, our conversational AI for clinical reasoning. In a real-world clinical study, AMIE was found to be safe, feasible, and well-received by patients. Learn more: goo.gle/4sXCogz
English








