François

5.5K posts

François banner
François

François

@Aephage

Interne en médecine Master 2 Biostatistique, santé publique Licence Écologie, science de la biodiversité Melee puff boi

Lyon, Rhône-Alpes Katılım Ocak 2014
869 Takip Edilen433 Takipçiler
François
François@Aephage·
@nolanensah Mais si justement c'est faux qu'est ce qui est attendu ? C'est une situation complexe, des accusations aussi graves que du revenge porn etc sans aucun témoignage existant et collant parfaitement avec une vague de harcèlement de l'ED qui précédait quelques jours avant...
Français
2
0
0
75
François retweetledi
Antoine Copra
Antoine Copra@Cobra_FX_·
77% de réduction du volume nodulaire. Quelques minutes d’ultrasons au lieu de plusieurs heures d’opération. Réduction immédiate de la douleur, préservation de la fertilité. L’hôpital de la Croix-Rousse révolutionne le traitement de l’endométriose !
Antoine Copra tweet media
Les Électrons Libres@lel_media

Des ultrasons contre l’endométriose Des ultrasons pour vaincre le cauchemar de nombre de femmes ? C’est ce que la recherche française permet désormais de proposer aux victimes de l’endométriose. Cette pathologie touche une femme sur dix et reste, pour beaucoup, une source de douleurs intenses et de souffrances quotidiennes. Dans cette maladie, du tissu semblable à celui qui tapisse l’intérieur de l’utérus se développe en dehors de celui-ci. À chaque cycle menstruel, ce tissu s’enflamme et provoque des douleurs très fortes, pouvant même condamner la possibilité d’enfanter. Longtemps cantonnée à des traitements hormonaux ou à des chirurgies lourdes et complexes, cette maladie invalidante voit enfin poindre une solution thérapeutique, née à Lyon. Aux Hospices civils de Lyon (hôpital de la Croix-Rousse), le professeur Gil Dubernard et son équipe ont détourné une technologie déjà éprouvée dans le traitement du cancer de la prostate : les ultrasons focalisés de haute intensité. Grâce à un dispositif robotisé, développé en collaboration avec l’INSERM et la société EDAP TMS, les médecins appliquent ces ondes de manière précise et non invasive, par voie endorectale, sans incision ni cicatrice. En quelques minutes seulement, les ultrasons génèrent une ablation thermique qui détruit les lésions endométriosiques, notamment dans les formes les plus sévères. La procédure, réalisée en ambulatoire ou avec une hospitalisation très courte, permet aux patientes de rentrer chez elles le jour même ou le lendemain, avec une réduction souvent rapide des douleurs pelviennes, digestives et urinaires, tout en préservant leur fertilité. Aujourd’hui, les Hospices civils de Lyon sont devenus le premier centre au monde à l’offrir en routine, en alternative à la chirurgie traditionnelle. Une capacité initiale d’une centaine de patientes est prévue pour la première année, et l’intervention est désormais remboursée par l’Assurance maladie. Cette avancée porte un immense espoir pour toutes les femmes confrontées à l’endométriose sévère. Elle promet de soulager des souffrances chroniques sans les contraintes mutilantes des opérations classiques, tout en ouvrant la voie à une prise en charge plus douce, plus rapide et plus respectueuse de la qualité de vie. Si elle ne guérit pas toutes les formes de la maladie, elle représente un progrès majeur qui change déjà concrètement le quotidien de nombreuses patientes.

Français
32
800
2.8K
298.7K
François retweetledi
Skydzo
Skydzo@Skydzo_fr·
2.5 years of game dev as a side project. We all start projects we never finish… This time, we did! It was supposed to take a few months, but it ended up taking 2.5 years. Hope this motivates some of you to finish your projects ❤️ #indiedev #indiegame #gamedev #madewithunreal
English
3
3
16
162
François
François@Aephage·
@externisme Lyon c'est solide pour faire la majorité de mes stages en periph
Français
0
0
0
116
Bouquetwunk 🐐
Bouquetwunk 🐐@externisme·
Quelles sont les meilleures subdivisions d'internat pour le sport en montagne/campagne ? Mon plan A ce serait évidemment Grenoble (Alpes), puis peut-être Sainté (Pilat) ou Toulouse (Pyrénées)
Français
2
0
1
1.7K
François
François@Aephage·
@Hulksosa10 T'es en train de lui faire faire un MMSE à ton patient mais ça doit être ça oui
Français
0
0
0
228
François
François@Aephage·
Qu'est ce qui différencie ce réseau du 18-25 de jvc franchement
Français
0
0
1
91
François retweetledi
Dr Jérôme BARRIERE, MD.
Dr Jérôme BARRIERE, MD.@barriere_dr·
Là on a un combo magistral illustrant le sophisme de causalité par juxtaposition Oui certains pesticides sont cancérigènes. Oui il faut limiter leur exposition surtout pour ceux qui les répandent (les agriculteurs le savent) Mais pour les consommateurs les données sont très rassurantes et non les pesticides ne sont pas une cause environnementale principale sciencedirect.com/science/articl… Même si une littérature chinoise fournie suggère un lien avec le cancer du colon sur une vie entière mais avec un mode de vie avec facteurs confondants énormes sciencedirect.com/science/articl… Ensuite non manger bio ne réduit pas le risque de cancer de manière certaine : les données sont bien trop faibles pour l’affirmer avec énormément de facteurs confondants Les 25% viennent de cette étude, toujours la même Elle a suivi près de 70 000 volontaires pendant quatre ans, dont 78 % de femmes, d’un âge moyen de 44 ans. Au total, 1 340 cancers ont été diagnostiqués. Résultat : les consommateurs réguliers de produits bio affichaient un taux de cancers de 1,6 %, contre 2,2 % chez les non-consommateurs soit une différence relative d’environ 25 % effectivement : @RimaHas a donné le juste chiffre qu’on lui a partagé. De quoi nourrir un tweet médiatique sans nuance… mais trompeur. Car il s’agit d’une étude observationnelle de cohorte, sans répartition aléatoire entre groupes « bio » et « non bio ». Or, avec cette méthode, les différences constatées peuvent résulter de biais de confusion (habitudes alimentaires globales, niveau d’études, activité physique, tabagisme…), plutôt que d’un effet direct du mode de production. Dit autrement : les amateurs de bio ne sont pas en meilleure santé parce qu’ils mangent bio, mais mangent bio parce qu’ils prennent soin de leur santé et sont donc sensibles aux messages prétendant cette agriculture plus vertueuse sanitairement.  jamanetwork.com/journals/jamai… Une revue systématique de Stanford, publiée en 2012, n’a identifié aucun bénéfice clair du bio sur la santé, ni de différence notable en valeur nutritionnelle, et pas davantage en morbidité, malgré une exposition réduite aux résidus de pesticides. acpjournals.org/doi/10.7326/00… Une thèse sur le sujet dumas.ccsd.cnrs.fr/dumas-03130141… La conclusion : « À l’échelle individuelle, nous devons continuer à encourager nos patients à manger des fruits et légumes conventionnels s’ils ne peuvent avoir accès au bio. En effet, des études confirment qu’il est préférable de consommer des légumes avec pesticides que de ne pas en manger du tout. » Et oui manger des fruits et légumes est un facteur protecteur peu importe l’origine même si pas bio ! pmc.ncbi.nlm.nih.gov/articles/PMC58… Donc partir d’une incidence et glisser sur les pesticides et le bio pour suggérer que si tout le monde mangeait bio sans pesticide le nombre de cas de cancers chuterait significativement est bien fallacieux et relève du sophisme. Le nombre de cas est d’abord une question démographique. Et les véritables facteurs évitables sont ici nature.com/articles/s4159… C’est du sérieux Et c’est sur ça qu’il faut agir si on est un élu responsable
Rima Hassan@RimaHas

. @LaReleveLaPeste Première cause de mortalité en France. La France est au 9eme rang mondial pour le nombre de cas de cancer, 4eme pour celui du sein, 6eme pour celui de la prostate. De nombreuses études ont établi les liens entre l’exposition aux pesticides et certains cancers. Les consommateurs de produits bio ont 25% de - de risques de développer un cancer.

Français
42
332
906
55.5K
François retweetledi
The Lancet
The Lancet@TheLancet·
Can small changes in physical activity make a major difference? On the cover, a meta-analysis suggests that 5 extra minutes of moderate physical activity a day is associated with a reduction of up to 6% of all deaths in the least active adults. Read this & more 👉 spkl.io/6010AUxdw
The Lancet tweet media
English
20
254
621
80.8K
sarsaux
sarsaux@uwu_sarsaux·
enfait sardoche c'est leffen si il etait ultra nul au jeux de combat?
Français
23
34
1K
67.5K
François retweetledi
Nature Portfolio
Nature Portfolio@NaturePortfolio·
A paper published in February in @CommsEng presents a method to optimally cook both the yolk and white of a boiled chicken egg. "Periodic cooking” yields an evenly-cooked egg. go.nature.com/42HxuKr
Nature Portfolio tweet media
English
0
19
78
30.2K
François retweetledi
TheFrenchPOCUS
TheFrenchPOCUS@TheFrenchPOCUS·
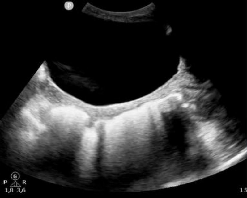
@DrStarWolf @ChampoDr @duran_georg @132_dc @DrGroquik Sans problème, c'est archi-débile. Se et VPN proche de 100%, permet de surseoir au TR. En transversal et longitudinal : image hyperéchogene colique rétro-vésicale avec cône d'ombre post, lignes B possibles si un peu d'air.
TheFrenchPOCUS tweet mediaTheFrenchPOCUS tweet media
Français
4
1
12
510
François retweetledi
⬡ Link69 | 王淼 🦊
⬡ Link69 | 王淼 🦊@Link_69·
Un joueur lyonnais a vécu beaucoup de déconvenues dans sa famille ces derniers mois et ils ont lancé une cagnotte pour essayer de s'en sortir un peu, n'hésitez pas à donner un peu à la hauteur de vos moyens, tout don est le bienvenue 🙏 leetchi.com/fr/c/soutien-p…
Français
0
2
1
141
François
François@Aephage·
C'est vraiment un grand kiff ce stage, vive les periph éloignées
Lyon, France 🇫🇷 Français
0
0
2
151
François
François@Aephage·
@Laf__ Eh non j'ai sagement fait acte de présence mais j'ai quand même osé partir avant 18h...
Crest, France 🇫🇷 Français
0
0
0
20
LAF
LAF@Laf__·
@Aephage T’es parti sans remord finalement ?
Français
1
0
0
51
François
François@Aephage·
Les chefs nous disent de nous casser même avant 17h si on n'a plus rien à faire mais malgré ça j'ose pas et à côté je vois mon cointerne se barrer à 16h sans broncher 🥺
Montoison, France 🇫🇷 Français
1
0
0
151
François
François@Aephage·
@Laf__ C'est mal me connaître
Crest, France 🇫🇷 Français
1
0
0
22
LAF
LAF@Laf__·
@Aephage Bravo tu as passé le test Te voilà docteur en médecine, félicitations
Français
1
0
0
53
François
François@Aephage·
Très triste d'avoir terminé chez le prat, ça m'a vraiment conforté dans mon choix pour la medg et je suis pas fan de l'hôpital. Mais l'équipe dans ce service est vraiment top (et pas de garde/astreinte et week-end de 3j, je crache pas dessus...)
Montoison, France 🇫🇷 Français
0
0
0
182