Sabitlenmiş Tweet
Abdullah Aljohani | د.عبدالله الجهني
258 posts

Abdullah Aljohani | د.عبدالله الجهني
@AljohaniMD
استشاري قسطرة الاوعية الدموية والاشعة التداخلية | Vascular & Interventional Radiologist
Al-Madina, KSA Katılım Ocak 2010
109 Takip Edilen238 Takipçiler
Abdullah Aljohani | د.عبدالله الجهني retweetledi
Abdullah Aljohani | د.عبدالله الجهني retweetledi

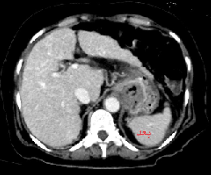
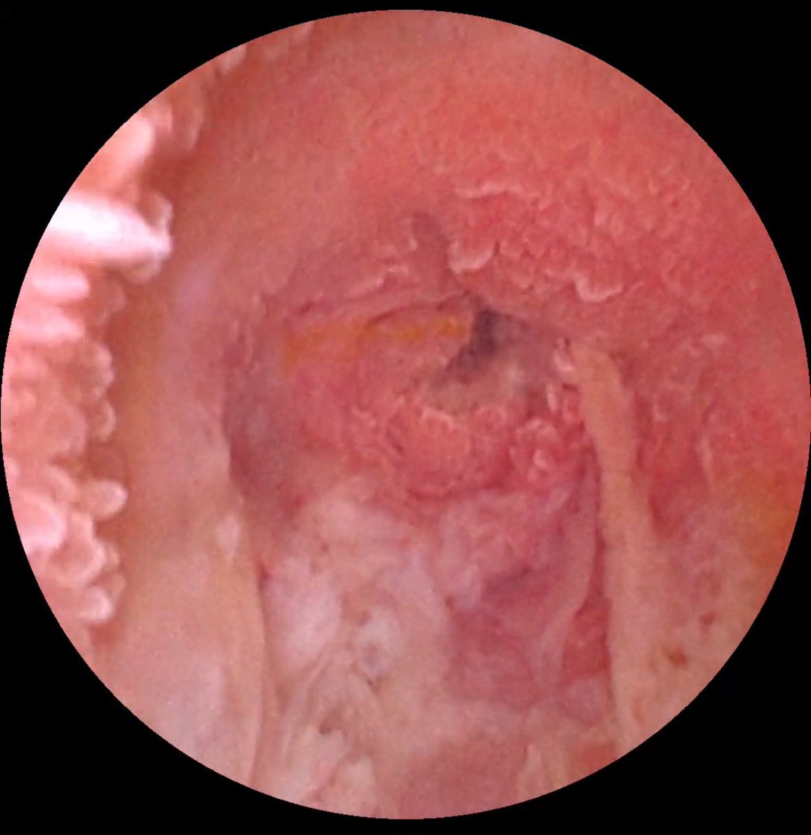
في إنجاز طبي يعد الأول من نوعه في المنطقة الشرقية، تم بنجاح إجراء منظار للقنوات الصفراوية في الكبد عن طريق الجلد، مع تنظيف القنوات الصفراوية وأخذ عينة، وذلك في وحدة الأشعة التداخلية بمستشفى الملك فهد الجامعي.
أتوجه بجزيل الشكر والتقدير إلى إدارة قسم الأشعة التشخيصية وإدارة مستشفى الملك فهد الجامعي وإدارة جامعة الإمام عبد الرحمن بن فيصل على دعمهم المستمر وتوفير الإمكانيات اللازمة لإنجاز مثل هذه الإجراءات المتقدمة، مما يعزز من جودة الرعاية الصحية المقدمة للمرضى.
كما أود أن أعبر عن امتناني العميق للفريق الطبي والفني في وحدة الأشعة التداخلية على جهودهم المتميزة وتفانيهم في تحقيق هذا النجاح.
ولا يفوتني أن أشكر الزملاء الأعزاء من مختلف التخصصات على تعاونهم المثمر ودعمهم خلال هذا الإجراء:
•قسم المسالك البولية:
•د. حاتم الذبياني
•د. شهيد السحيباني
•قسم الجهاز الهضمي:
•د. تركي العمري
•د. إبراهيم الحافظ
•قسم التخدير:
•د. إيهاب
•د. عبد الله
أكرر شكري وتقديري لكل من ساهم في إنجاح هذا العمل الطبي المتميز، ونتطلع إلى المزيد من الإنجازات التي تخدم مرضانا وترتقي بمستوى الرعاية الصحية.



العربية
Abdullah Aljohani | د.عبدالله الجهني retweetledi

يشرفني المشاركة في المؤتمر العلمي الثالث للقدم السكرية لوزارة الصحة بجدة ممثلاً للجمعية السعودية للأشعة التداخلية متحدثاً عن الحلول العلاجية (القسطرة) بعد فشل الحلول الجراحية وبالله التوفيق @sirs_ksa

العربية
Abdullah Aljohani | د.عبدالله الجهني retweetledi
Abdullah Aljohani | د.عبدالله الجهني retweetledi
Abdullah Aljohani | د.عبدالله الجهني retweetledi
Abdullah Aljohani | د.عبدالله الجهني retweetledi
Abdullah Aljohani | د.عبدالله الجهني retweetledi

Abdullah Aljohani | د.عبدالله الجهني retweetledi

🔵 بحمد الله تم تدشين عيادة الاشعة التداخلية والقسطرة ومن اهم الخدمات المقدمه هي إعادة فتح شرايين القدم وتحسين التروية لمنع البتر والغرغرينا
صحي / "مدينة سعود الطبية" تدشّن خدمة علاج القدم السكرية والغرغرينا بالأشعة التداخلية spa.gov.sa/link/uvgp via
@SPAregions
العربية
Abdullah Aljohani | د.عبدالله الجهني retweetledi

خيار ممتاز لبعض مرضى تضخم البروستات الحميد الذين يعانون من أعراض تبول غير شديدة .. خصوصاً مع إحترافية الزملاء في الأشعة التداخلية وتوفر مواد آمنة لإغلاق شريان البروستات، أصبح حتماً أحد الخيارات التي يجب أن نعرضها على المريض.
Dr.Othman Alshehri د.عثمان الشهري@othman_Irad
توفر #الأشعة_التداخلية خياراً علاجياً لتضخم البروستات الحميد عن طريق القسطرة هو آمن الطرق العلاجية على الوظائف الجنسية. اجراء عيادي يتم فيه اصمام شرايين البروستات تحت التخدير الموضعي يخرج المريض بعده الى بيته. استشر طبيبك
العربية
Abdullah Aljohani | د.عبدالله الجهني retweetledi
Abdullah Aljohani | د.عبدالله الجهني retweetledi

1/2 We have been noticing a trend from some physicians from other specialties, whom IR offer competing options to their treatments, to try and underestimate the IR clinical practice.
Claim: IR should not do X procedure, what if complications happen?
Response: Majority of IR practice involve treating complications of other services. Post surgical abscesses, bleeding, biliary/urinary obstructions/leaks, access sites complications, etc. If a complication happens to any physician, the consulted service HAS to respond and manage it. Whether IR were consulting or being consulted, there is no difference. This is healthcare and responding to manage complications is not an option, no one can refuse. If a complication happens and the consulted service refuses, simple documentation would put the refusing physician liable.
Claim: IR can not run clinics
Response: Clinic is a space that allows physician/patient interaction in outpatient basis. Patients need to hear from the specialist the details of the proposed treatment plan before committing to admission. Its not just for providing procedures and peri procedure care. Follow up and long term management of certain patients population. Examples of these patients that need indefinite follow up/management from the time of presentation are numerous; vascular anomalies, families with HHT, patients dependent on tubes, dialysis pts, etc. Clinics are important for most specialties. This is true for anesthesia (pre-op,..), rad onc, genetics, pain clinic, etc.
Claim: IR do not admit patients
Response: Medicine evolves. Nationally and internationally, minimally invasive procedures are most commonly done as day procedures with short stay admission. This has well known advantages over wasting hospital resources with admission, anesthesia booking, OR time. This is true for IR procedures, endoscopy, pain interventions, cosmetic, and other procedures. All of these services provide admission for their patients. In very few IR cases, full admission can be done safely for post procedure pain/nausea control. This is true for oral/OMF surgeons from dental background, pain service from anesthesia background, and now recently for radiation oncology.




English
Abdullah Aljohani | د.عبدالله الجهني retweetledi

#PARTO
علاج دوالي المعده المسببه للنزيف المعوي الحاد بسبب ارتفاع ضغط الوريد البابي في الكبد عن طريق #القسطره و #الأشعه_التداخليه




العربية
Abdullah Aljohani | د.عبدالله الجهني retweetledi

سأل سائل: اذا كانت القسطرة تعالج جميع #دوالي_الخصية ، لماذا قد تعود مع الزمن؟
ثريد؛ (كالعادة مفاجئة صادمة بأخر نقطة)
١- الإجابة على هذا السؤال جدا بسيطة للأطباء المختصين ولكن يصعب شرحها ، لذلك لنوضحها بطريقة يسهل فهمها وتخيلها. لنأخذ طريقة عبور السيارات من الرياض الى الدمام كمثال مبسط. *بالنهاية سنوضح كيف أن القسطرة أفضل من الجراحة المجهرية بأقل نسبة عودة وذلك يعود لثلاث أسباب رئيسية.


العربية
Abdullah Aljohani | د.عبدالله الجهني retweetledi
Abdullah Aljohani | د.عبدالله الجهني retweetledi

#MASLD #cirrhosis with GI bleeding, PVT not improving on heparin despite large acute component developed over 3 wks. ICE TIPS with subsequent asp vs thrombectomy established flow. #VIRad #GItwitter #livertwitter #meded #FOAMed



English
Abdullah Aljohani | د.عبدالله الجهني retweetledi
Abdullah Aljohani | د.عبدالله الجهني retweetledi
Abdullah Aljohani | د.عبدالله الجهني retweetledi

افتتح عميد كلية الطب د.بندر الجفن والمدير التنفيذي للشؤون الصحية في #المدينة_الطبية بـ #جامعة_الملك_سعود د. عبدالعزيز الثنيان ورئيس قسم الاشعة والتصوير الطبي د.نوران ملا ورشة عمل علاج أمراض القنوات الصفراوية باستخدام تقنية المناظير عن طريق الجلد بمشاركة نخبة من الأطباء المتخصصين في مجال الأشعة التداخلية، تم من خلالها طرح أبرز المستجدات والاكتشافات والتجارب في علم الأشعة التداخلية والمناظير، حيث تعتبر هذه الورشة هي الأولى من نوعها على مستوى العالم.



العربية
Abdullah Aljohani | د.عبدالله الجهني retweetledi

وكانت ورشة العمل تدار بالاستعانة بخبرات نخبة من الاستشاريين تضم د. أحمد الأحيدب @alehaideb ، د. بسام الرحيلي @DRSTINGRAY ، د. تركي الفرحان @Turki_fs ، د. سلطان الحربي ، د. عبدالله الجهني @AljohaniMD ، د. علي الجمعة @AljomahAli1 ، د. عمار العتيبي @DrAmmarAlotaibi ، د.يحيى العسيري @YAALSAAS




العربية












