Anapat

291 posts

Anapat banner
Anapat

Anapat

@Anapat_Lab

Laboratorio de Anatomía Patológica

Mérida, Yucatán Katılım Temmuz 2012
436 Takip Edilen731 Takipçiler
Anapat
Anapat@Anapat_Lab·
Anapat tweet mediaAnapat tweet media
ZXX
0
1
3
0
Anapat
Anapat@Anapat_Lab·
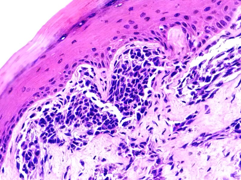
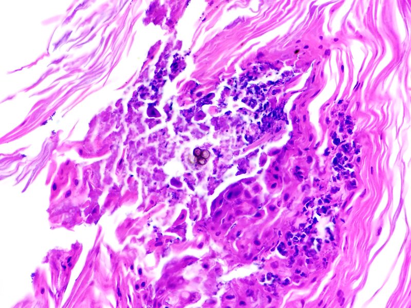
Cromoblastomicosis cutánea.
Anapat tweet media
Español
2
3
9
0
Anapat
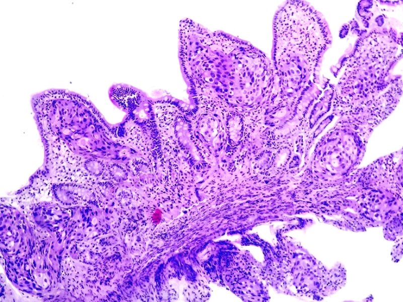
Anapat@Anapat_Lab·
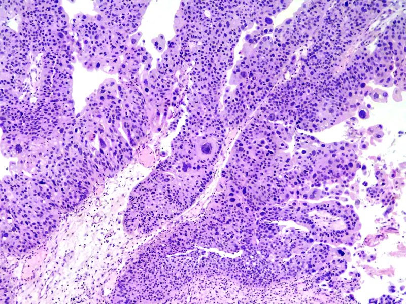
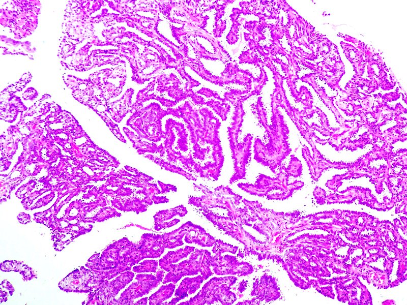
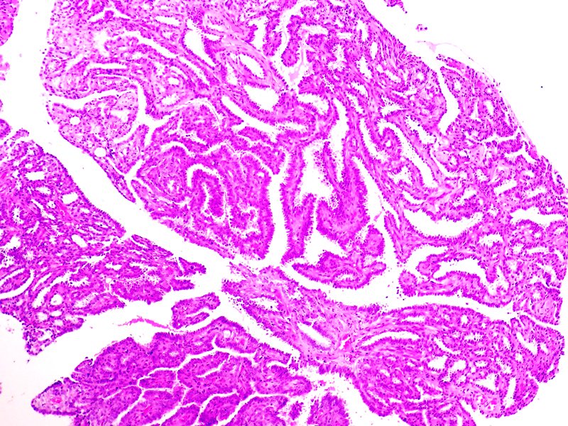
Vejiga. Carcinoma papilar urotelial invasor.
Anapat tweet mediaAnapat tweet mediaAnapat tweet media
Español
0
5
14
0
Anapat
Anapat@Anapat_Lab·
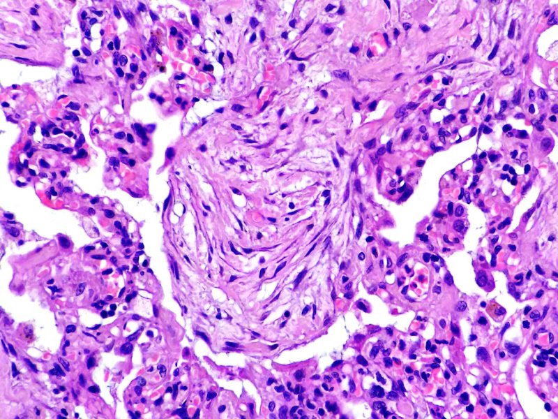
Pulmón. Neumonía organizada con bronquiolitis obliterante (BOOP) por daño farmacológico.
Anapat tweet mediaAnapat tweet mediaAnapat tweet media
Español
0
4
12
0
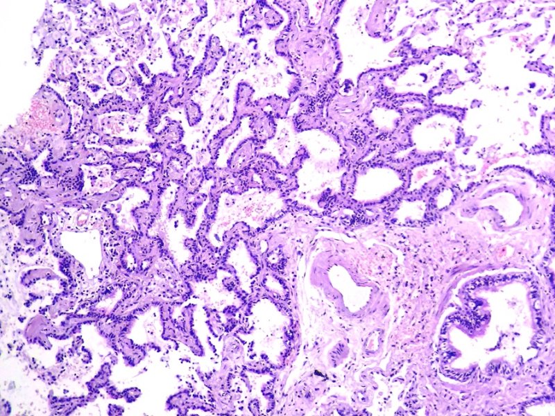
Anapat
Anapat@Anapat_Lab·
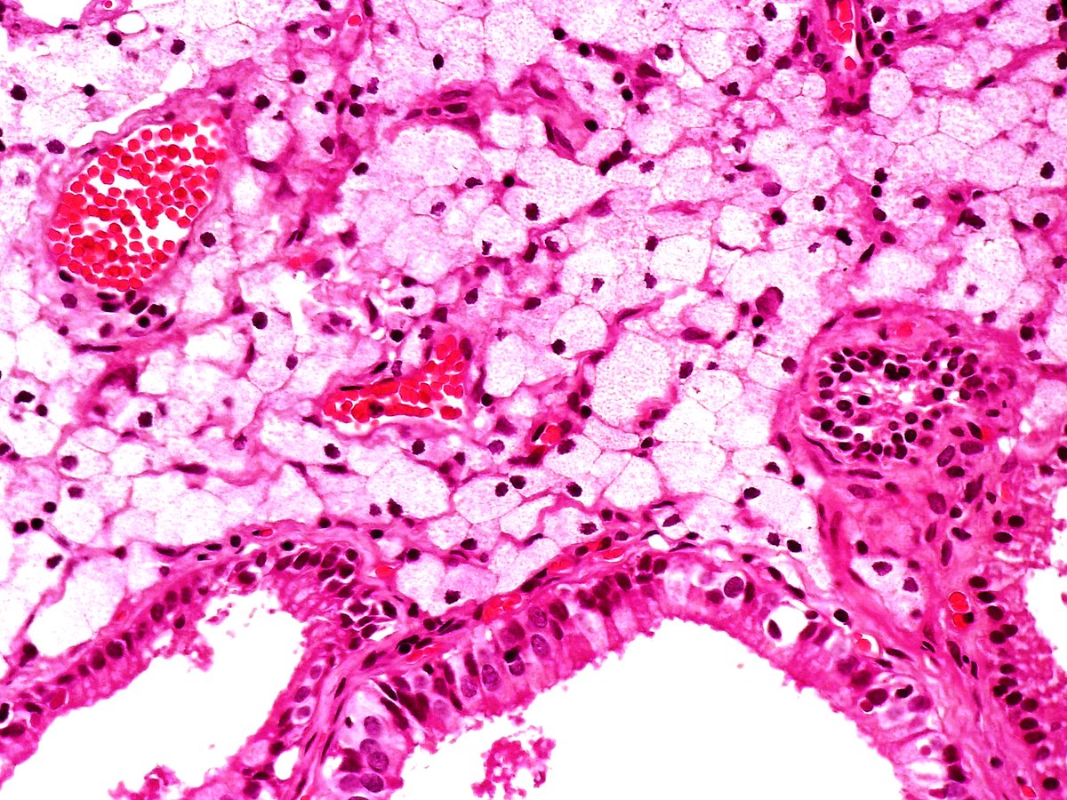
Pulmón. Hiperplasia adenomatosa atípica.
Anapat tweet mediaAnapat tweet mediaAnapat tweet media
Español
0
0
5
0
Anapat
Anapat@Anapat_Lab·
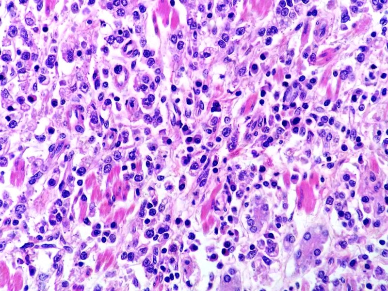
Primer artejo de pie izquierdo. Melanoma subungueal. Tinción HE
Anapat tweet mediaAnapat tweet mediaAnapat tweet media
Español
0
9
13
0
Anapat
Anapat@Anapat_Lab·
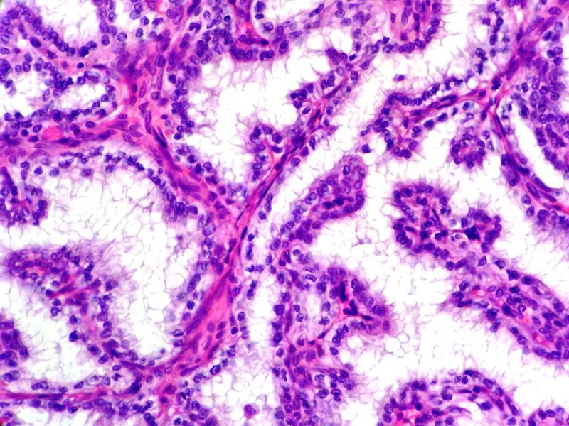
Epidídimo. Cistadenoma papilar. Tinción HE
Anapat tweet mediaAnapat tweet mediaAnapat tweet media
Español
1
10
17
0
Anapat
Anapat@Anapat_Lab·
Ámpula de Vater con adenocarcinoma moderadamente diferenciado. Tinción HE
Anapat tweet mediaAnapat tweet mediaAnapat tweet media
Español
0
1
1
0
Anapat
Anapat@Anapat_Lab·
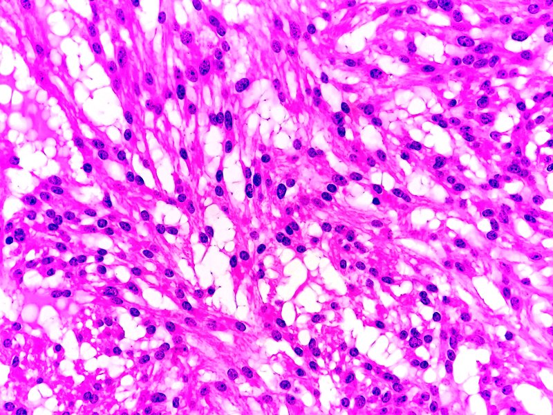
Elastofibroma de región escapular. Tinción HE
Anapat tweet mediaAnapat tweet mediaAnapat tweet media
Español
0
8
8
0
Anapat
Anapat@Anapat_Lab·
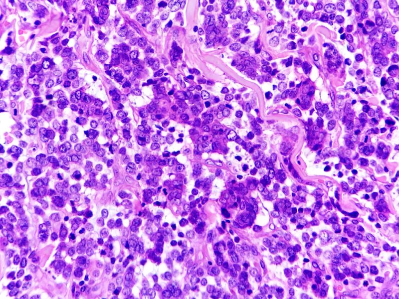
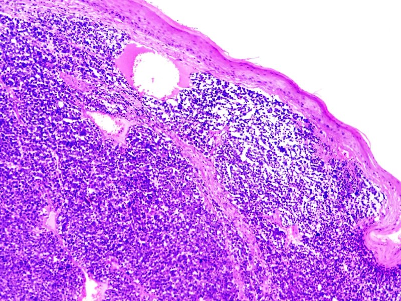
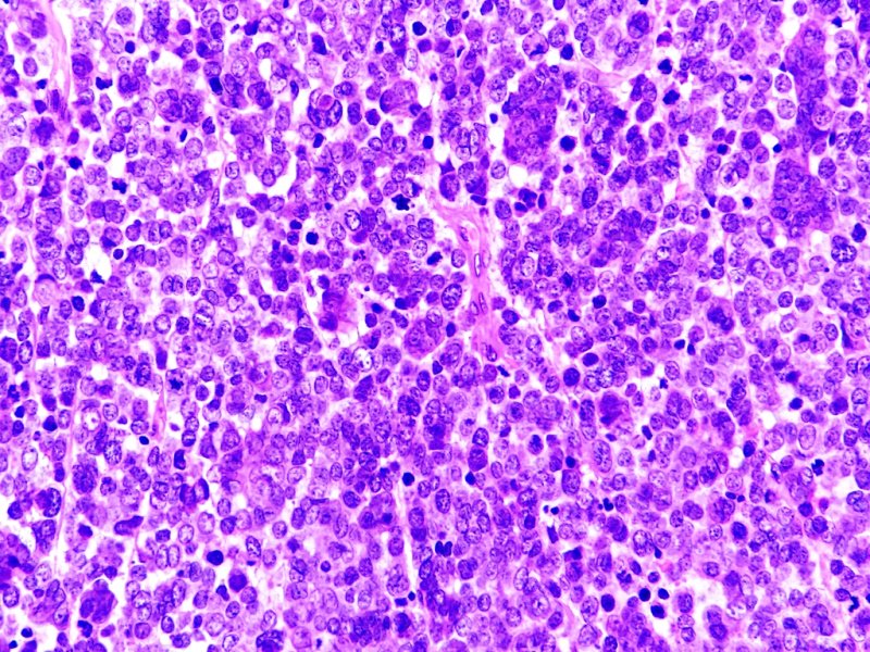
Piel. Carcinoma decélulas de Merkel. Tinción HE
Anapat tweet mediaAnapat tweet mediaAnapat tweet media
Español
0
1
4
0
Anapat
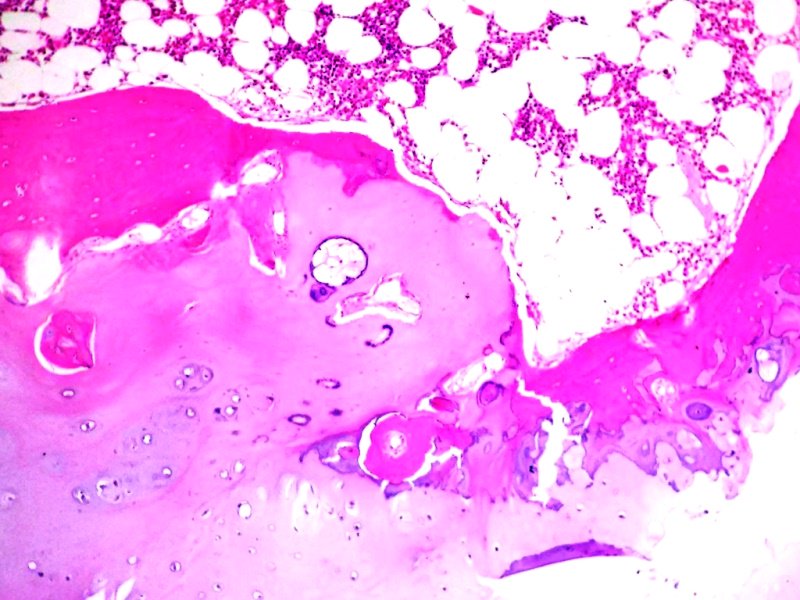
Anapat@Anapat_Lab·
Osteocondroma humeral. Tinción HE
Anapat tweet mediaAnapat tweet mediaAnapat tweet media
Español
0
0
2
0
Anapat
Anapat@Anapat_Lab·
Estómago. Adenocarcinoma gástrico difuso con estroma linfoide. Tinción HE
Anapat tweet mediaAnapat tweet mediaAnapat tweet media
Español
0
1
7
0
Anapat
Anapat@Anapat_Lab·
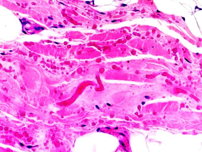
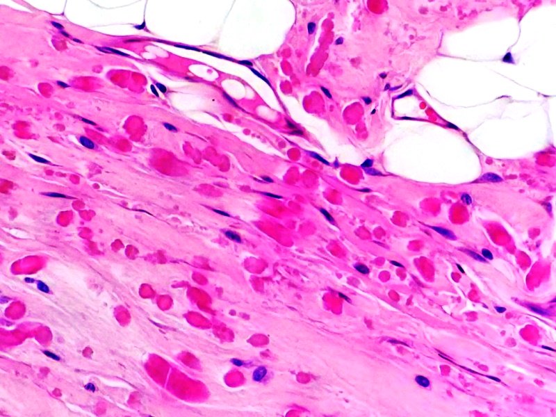
@AlfredoDinamita Son eritrocitos (glóbulos rojos) y están dentro de vasos sanguíneos
Español
0
0
0
0
Anapat
Anapat@Anapat_Lab·
Vesícula biliar. Colesterolosis y pólipos. Tinción HE (3)
Anapat tweet media
Español
0
18
12
0
Anapat
Anapat@Anapat_Lab·
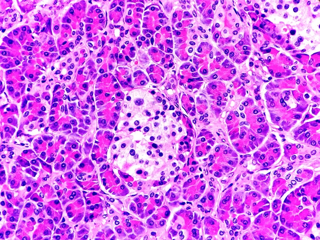
Páncreas normal. Acinos e islotes de Langerhans. Tinción HE
Anapat tweet mediaAnapat tweet mediaAnapat tweet media
Español
0
1
9
0
Anapat
Anapat@Anapat_Lab·
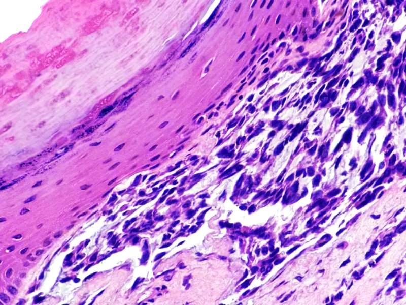
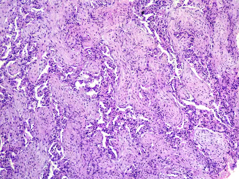
Próstata. Tumor estromal de potencial maligno incierto. Tinción HE.
Anapat tweet mediaAnapat tweet mediaAnapat tweet media
Español
0
1
10
0
Anapat
Anapat@Anapat_Lab·
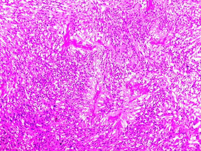
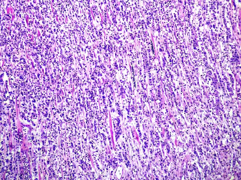
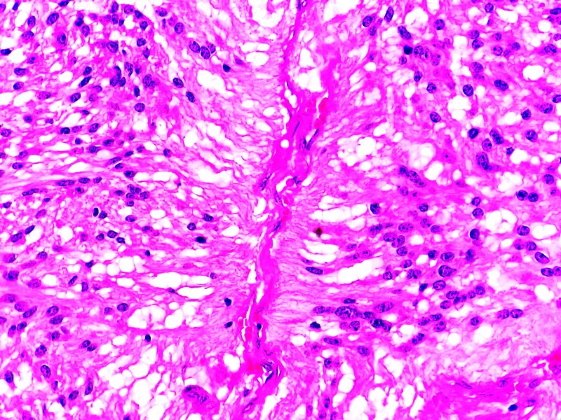
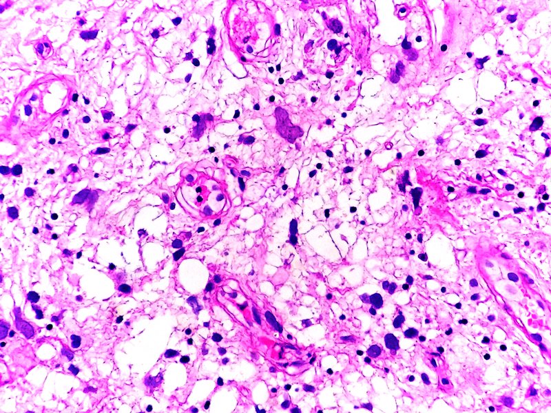
Tumor en conducto de médula espinal lumbar. Ependimoma tanicítico. Tinción HE.
Anapat tweet mediaAnapat tweet mediaAnapat tweet media
Español
0
2
6
0
Anapat
Anapat@Anapat_Lab·
Lesión vulvar. Hidradenoma papilífero. Tinción HE.
Anapat tweet mediaAnapat tweet mediaAnapat tweet media
Català
0
1
4
0
Anapat
Anapat@Anapat_Lab·
Restos óvulo-placentarios con globo ocular embrionario. Tinción HE
Anapat tweet mediaAnapat tweet mediaAnapat tweet media
Español
0
1
4
0
Anapat
Anapat@Anapat_Lab·
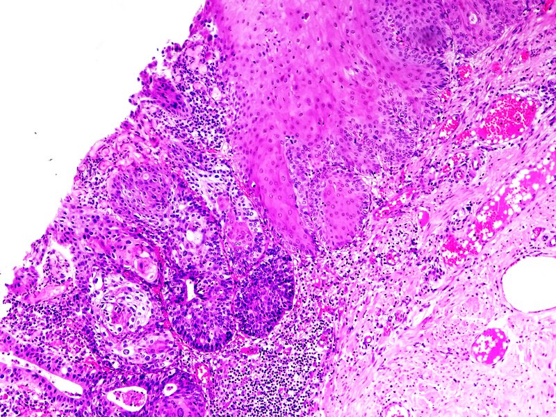
Cérvix uterino. Zona de transformación con carcinoma epidermoide in situ. Tinción HE
Anapat tweet mediaAnapat tweet mediaAnapat tweet media
Español
0
5
5
0