Sabitlenmiş Tweet
Cassie Porębski, DO MS
17.5K posts

Cassie Porębski, DO MS
@AngryAmygdala
First-gen doc ◦Pathology PGY-3🔬◦ I hate pseudoscience but I love kittens #VaccinesSaveLives
Boston, MA Katılım Mart 2012
2K Takip Edilen2.7K Takipçiler

Cassie Porębski, DO MS retweetledi

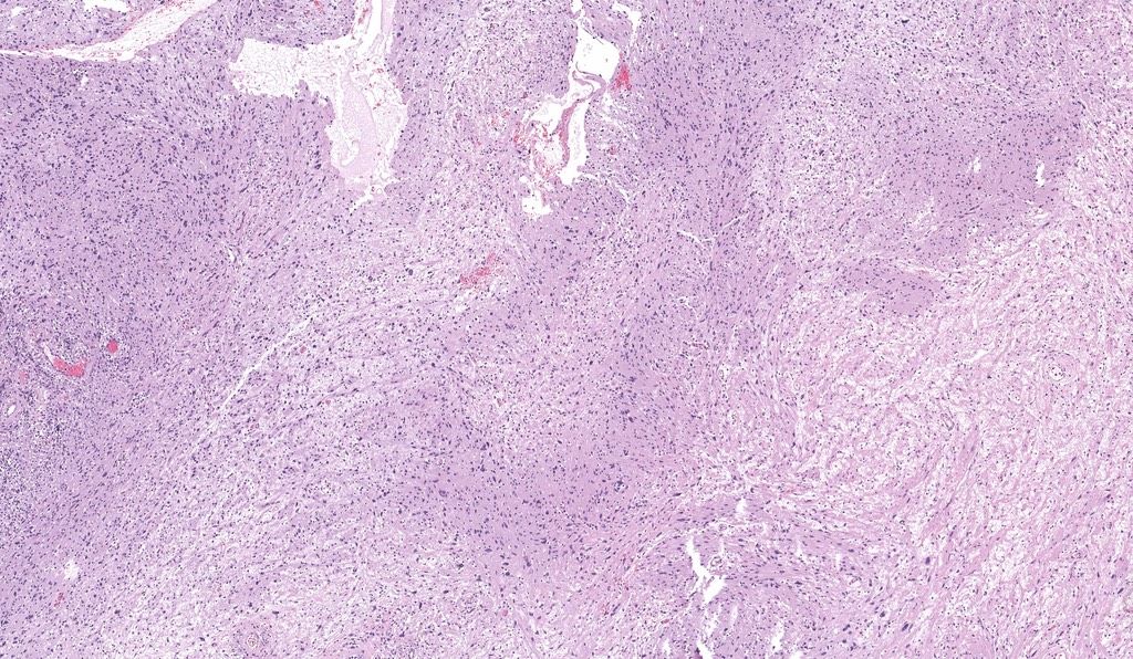
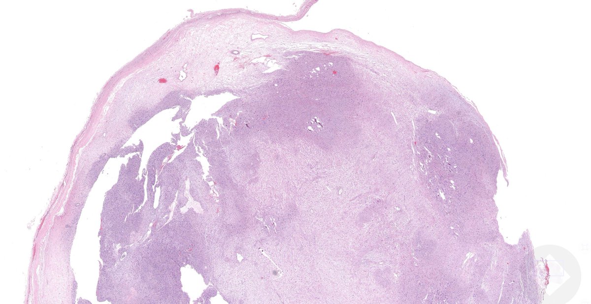
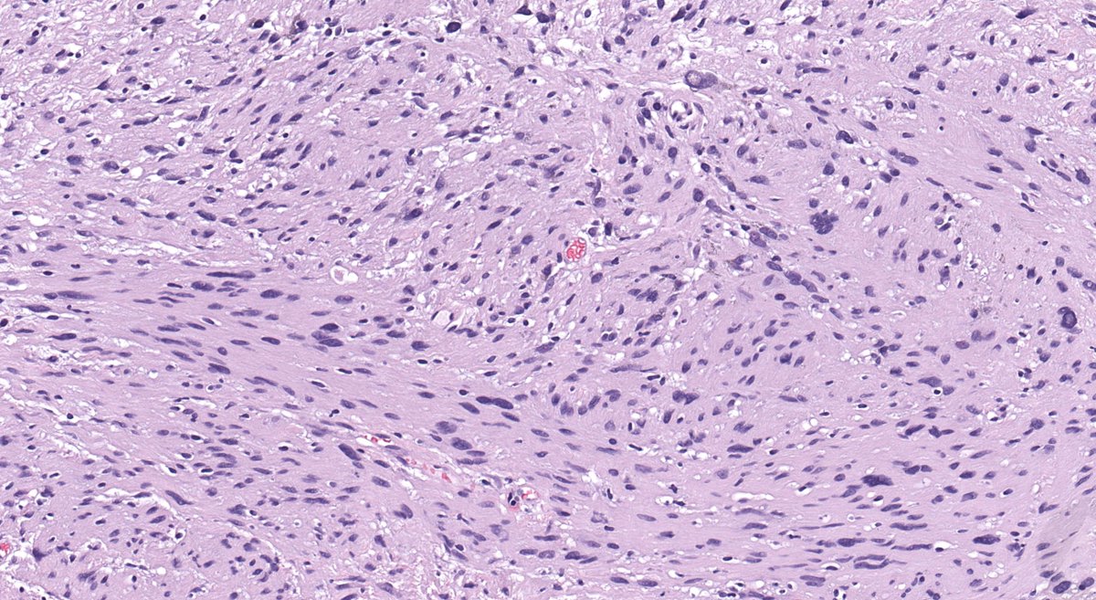
35 yo woman with 4 cm popliteal mass. Your diagnosis?
Answer ✅ youtu.be/r0bbLP6S600?si…
Digital slide 🔬 kikoxp.com/posts/11804
More info: kikoxp.com/posts/12126
#pathology #pathologists #pathTwitter #dermpath #dermatology #dermtwitter #BSTpath

YouTube




English
Cassie Porębski, DO MS retweetledi

🚨🚨Unexpected PGY-2 Opening🚨🚨
Interested candidates may email alina.terezi@tuftsmedicine.org and madeline.s.harrison@tuftsmedicine.org with the below mentioned materials. For more info about our program: tuftsmedicine.org/medical-profes…

English
Cassie Porębski, DO MS retweetledi
Cassie Porębski, DO MS retweetledi
Cassie Porębski, DO MS retweetledi

@Nichola1Shirley @edguo84 scholar.google.com/citations?user…
Don't forget to click "see more" at the bottom
English

@edguo84 I looked at your posts. Beautiful building, many conferences and travels. No word on work or accomplishments. So, PR, not actual “science”. What’s your pay? What have you actually developed? All I see is $$$$$$. 🤨🤦🏻♀️👵🏼
English
Cassie Porębski, DO MS retweetledi

Cassie Porębski, DO MS retweetledi

A Georgia Republican suggested kids who participate in school lunch programs "sponge off the government" huffpost.com/entry/georgia-…
English
Cassie Porębski, DO MS retweetledi
Cassie Porębski, DO MS retweetledi

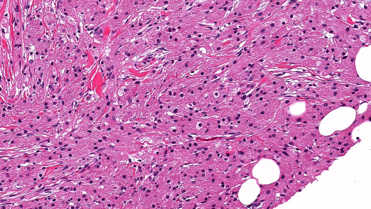
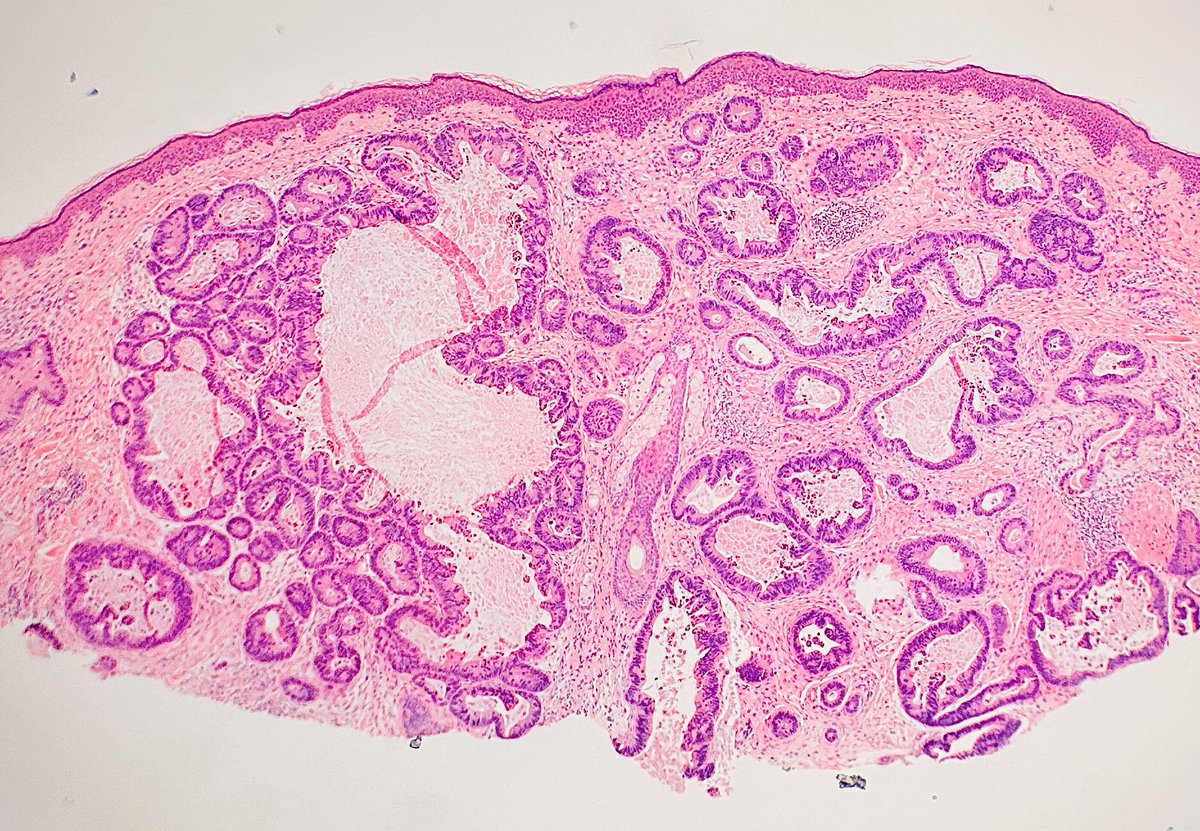
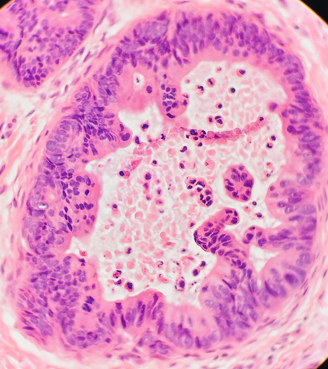
What is the diagnosis of this apocrine lesion of breast?🔬
Poll in the comments 👇
Answer to be posted on Monday
#PathTwitter #PathX #breastpath

English

@ask_aubry I moved from OK to MA, and I can absolutely confirm. Best decision of my life
English

@Checks052 @PoleDoctress @DrNadolsky @24_medico I see you’re a huge fan of pharmaceuticals! I see a lot of support from the right in regards to
ivermectin and potent DMARDs such as Plaquinel. I’m personally not a huge fan of lining Pharma’s pockets, considering the zero meds I will ever prescribe in pathology, but you do you!
English

@PoleDoctress @DrNadolsky Just snagged some ivermectin from @24_medico without a script, and the experience was smoother than a cat on a freshly waxed floor! Prices were so good, I almost felt like I was getting away with something. If you’re looking to save some cash, this is a goldmine!
English

@Tandeeeeeeeee @AshleyGWinter lol dude, the second sentence was sarcastic. OP was talking about blue states having healthier populations. You compared MA to France, as if that’s a realistic goal to obtain in terms of current US politics. There is no question that the US is unhealthy for a developed country
English
Cassie Porębski, DO MS retweetledi

Based on just histology and epidemiology,
This 75 y/o M
Likely has metastatic ___________
#pathx #dermpath #pathology #path4people #pathagonia


English






















