Sabitlenmiş Tweet

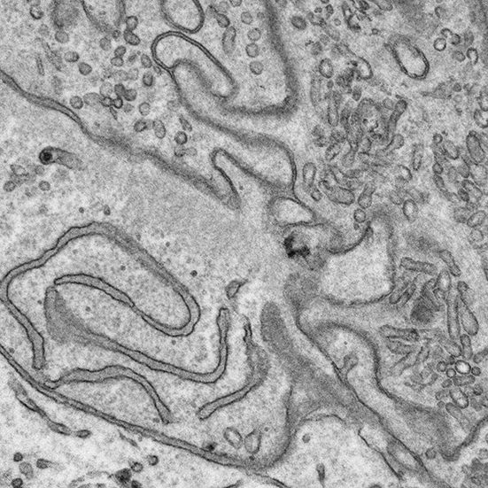
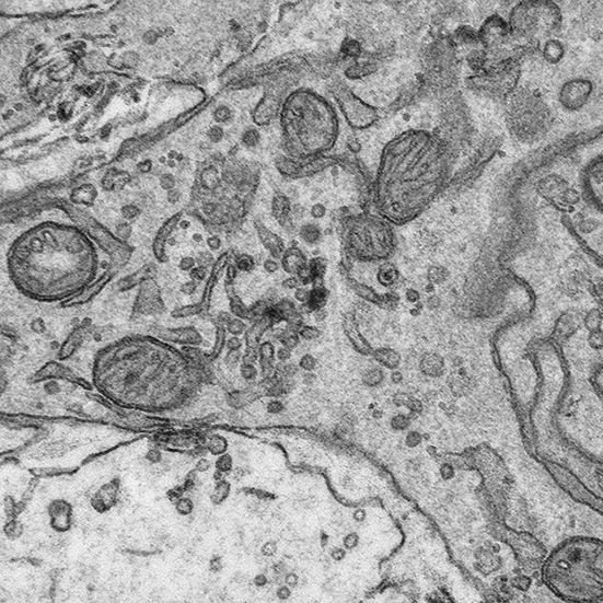
What’s your preferred organelle? We’d like to show it to you here 😇 #TEM #CellBiology
English
Electron Microscopy at uOttawaMed
9 posts

@AtElectron
Official account of the TEM Core Facility @uOttawaMed | Core Director @BaptisteLacost3 |









