Sabitlenmiş Tweet

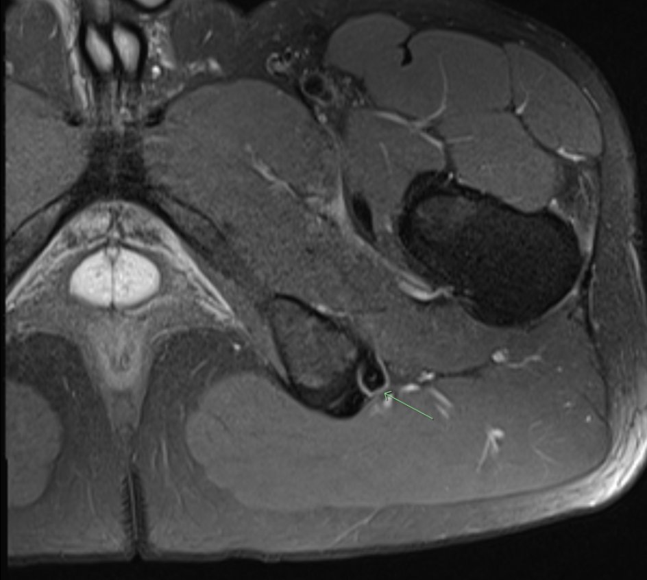
Do you like ice cream AND hamstrings?
Use the ‘Dropped ice cream sign’ to identify proximal hamstring tendon avulsion on MRI:
▶️Tuberosity=Cone
▶️Tendons=Scoops, CaraMEl (Conjoint MEdial) & StracciatelLA (Semimembranosus LAteral)
✅Agreement: κ=0.87
🔓journals.sagepub.com/doi/full/10.11…




English




































