Biosit

100 posts

Biosit banner
Biosit

Biosit

@Biosit2

Biologie, santé, innovation technologique

Rennes, France Katılım Kasım 2020
56 Takip Edilen57 Takipçiler
Biosit
Biosit@Biosit2·
📰La plateforme H2P2 co-signe un article dans Cancer Letters 🔬H2P2 a apporté son expertise en réalisant des analyses par immunofluorescence 👉bit.ly/3ZyJT03
Biosit tweet media
Français
0
0
0
13
Biosit
Biosit@Biosit2·
🔬 𝗟𝗮 𝗽𝗹𝗮𝘁𝗲𝗳𝗼𝗿𝗺𝗲 𝗠𝗥𝗶𝗰 𝗼𝗿𝗴𝗮𝗻𝗶𝘀𝗲 𝗹𝗲𝘀 𝟭𝟯-𝟭𝟰-𝟭𝟱 𝗷𝗮𝗻𝘃𝗶𝗲𝗿 𝘂𝗻 𝗮𝘁𝗲𝗹𝗶𝗲𝗿 𝗱𝗲 𝟯 𝗷𝗼𝘂𝗿𝘀 𝘀𝘂𝗿 𝗹𝗲𝘀 𝗳𝗼𝗻𝗱𝗮𝗺𝗲𝗻𝘁𝗮𝘂𝘅 𝗱𝗲 𝗹𝗮 𝗺𝗶𝗰𝗿𝗼𝘀𝗰𝗼𝗽𝗶𝗲 👉 lnkd.in/e4fBGFFx
Biosit tweet media
Français
0
1
1
62
Biosit retweetledi
France-BioImaging Research Infrastructure
A l'occasion du #MoisSansTabac, découvrez l'impact du tabac sur les cellules pulmonaires grâce à cette image d'une tumeur générée par des cellules tumorales circulantes. Merci à Rémy Pédeux et son équipe ainsi qu'à la plateforme H2P2 du nœud FBI Bretagne-Loire ! 🔬 @Biosit2
France-BioImaging Research Infrastructure tweet mediaFrance-BioImaging Research Infrastructure tweet media
Français
0
1
4
473
Biosit retweetledi
Aurelien Dupont
Aurelien Dupont@AurelienDuponEM·
L'arrivée du Cryo-ARM 200 a Biosit ! Installation en cours ! Les magnifiques images arrivent dans quelques mois !
Aurelien Dupont tweet mediaAurelien Dupont tweet media
Français
0
2
15
652
Biosit retweetledi
GIS IBiSA
GIS IBiSA@GIS_IBiSA·
Avis aux #plateformes et #CRB IBiSA 🚨 Le GIS est en train de programmer les ateliers de #formation 2024-2025 🤓 Il est encore temps de faire remonter vos besoins et de proposer des thématiques ➡️ ateliers@ibisa.net
GIS IBiSA tweet media
Français
0
4
3
316
Biosit
Biosit@Biosit2·
🔬 Protim co-signe un article avec les sociétés Abyss Ingredients et Clinic'n'Cell L'article paru dans Biomedecines présente les bienfaits de la supplémentation en hydrolysat de cartilage de poisson pour la santé de la peau 👉️ bit.ly/47T9dC1
Biosit tweet media
Français
0
0
0
27
Biosit
Biosit@Biosit2·
La Plateforme Protim co-signe un article dans Cell Reports avec des équipes nantaises; une étude qui fait intervenir plusieurs plateformes du réseau @Biogenouest : GenoA, BiRD, Cytocell, MicroPICell, iPSC 👉🏼 lnkd.in/g6PmAQEg
Biosit tweet media
Français
0
0
2
93
Biosit
Biosit@Biosit2·
J𝗼𝘂𝗿𝗻é𝗲 𝗱'𝗮𝗻𝗶𝗺𝗮𝘁𝗶𝗼𝗻 "𝘀𝘂𝗽𝗲𝗿-𝗿é𝘀𝗼𝗹𝘂𝘁𝗶𝗼𝗻" 𝘀𝘂𝗿 𝗹𝗮 𝗽𝗹𝗮𝘁𝗲𝗳𝗼𝗿𝗺𝗲 𝗠𝗥𝗶𝗰 📅 4 juillet à partir de 9h 📍Campus Santé Rennes Villejean 𝖯𝗋𝗈𝗀𝗋𝖺𝗆𝗆𝖾 𝖾𝗍 𝗂𝗇𝗌𝖼𝗋𝗂𝗉𝗍𝗂𝗈𝗇 👉 lnkd.in/g3GGrXt4
Biosit tweet media
Français
0
0
0
40
Biosit retweetledi
Danglot
Danglot@LydiaDanglot·
Le poste d’ingénieur inserm sur notre plateforme NeurImag vient d’être ouvert au concours externe inserm (concours 8 poste 4). N’hésitez pas à postuler ! :) pro.inserm.fr/rubriques/nous…
Danglot tweet media
Français
0
19
16
4.3K
Biosit retweetledi
Aurelien Dupont
Aurelien Dupont@AurelienDuponEM·
Few weeks ago, our HPM Live µ (@CryoCapCell) arrived on MRic-TEM. Now, the LSM900 (Zeiss) dedicated to CLEM experiments has arrived. The first HPF tests have been done. More are coming next week. Soonish the results then, the CLEM experiments ! 🤓🤩
Aurelien Dupont tweet mediaAurelien Dupont tweet mediaAurelien Dupont tweet media
English
1
1
12
736
Biosit retweetledi
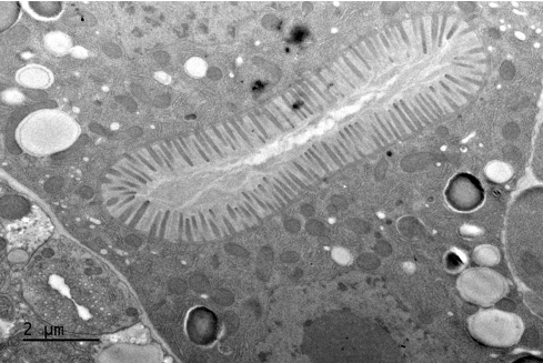
Aurelien Dupont
Aurelien Dupont@AurelienDuponEM·
First test on our HPM live µ (@CryoCapCell). WT C. elegans from G. Michaux's lab (@IGDRennes), prepared & imaged by Ophélie Nicolle. Still few steps to improve but quite promising ! Now let's start the real experiments ! 🤓
Aurelien Dupont tweet mediaAurelien Dupont tweet mediaAurelien Dupont tweet media
English
2
6
14
640