somayeh boshagh
9 posts

somayeh boshagh
@BoshaghMd
Pathologist work as PA at Fulgent inform dx
Dallas, TX Katılım Mart 2024
71 Takip Edilen110 Takipçiler

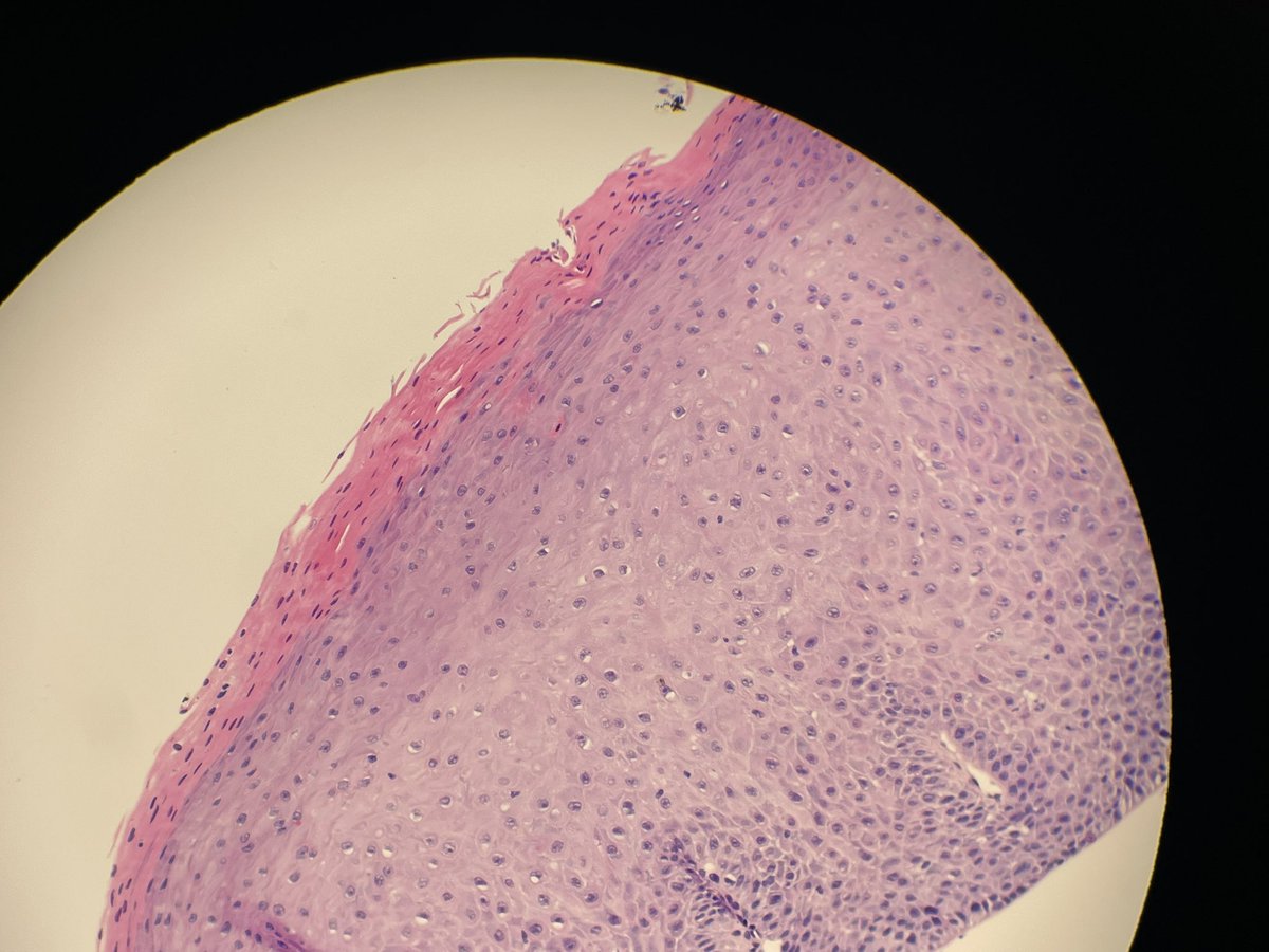
A patient with esophageal stenosis:
Esophageal biopsy shows no active inflammation, but prominent parakeratosis.
PAS stain to the rescue 😁
#pathology #GIpath #pathologylife




English

👏Congratulations to our wonderful Program Director, Dr. Chute, for being featured in Women in Medicine Month Profile Series!
Shout-out to Phillip for the perfectly timed photobomb in the background!📸
#WomenInMedicine #ClevelandClinic #Pathology

English

Hi! I am Somayeh, an Iranian pathologist,
As I applied to the #PathMatch2026,
Looking forward to connect with peers & mentors.
#Path2Path
#Match2026
#Pathtwitter
🌟AAMC ID: 16429027 🌟
Any advice is welcome and appreciated.

English

@sumeyra_md Thank you, Someyra. I wish you all the best as well🤞🏼
English







