Brad Taylor
9 posts


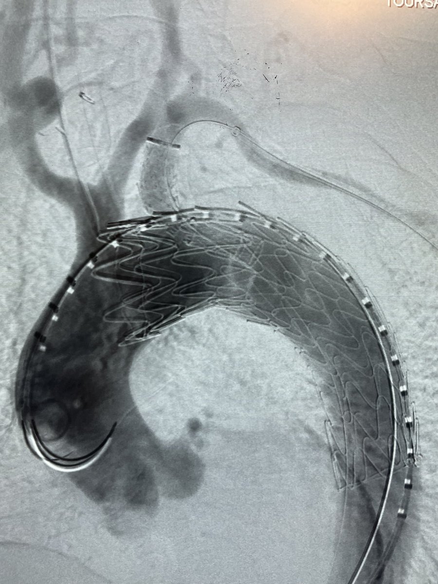
Great outcome using GORE TBE in an emergency case with replaced right SCA and zone 3 contained rupture PAU. Thanks to collaboration of Vascular and Cardiac surgery team. @MarylandSurg @UMMC The first commercial use of TBE in Maryland
@SToutsavadkohi @dr_ghoreishi @BtaylorMD2




English
Brad Taylor retweetledi

Sometimes a video can be worth 201,530 words. In 3 months, an annoying feisty bug (#covid19) has spread across the world, shutdown hospitals/countries, and initiated a global recession. Video created by my student @midairywala.
Houston, TX 🇺🇸 English

Congratulations. Surgeon scientist of the first order. Continuing the legacy set forth by Richard L Simmons, MD.
Northwestern Surgery@NMSurgery
#CONGRATULATIONS 👏👏👏 are in order for Dr. Eskandari, who received a competitive renewal for the NIH T32 award from the National Heart, Lung, and Blood Institute for his project entitled, “Vascular Surgery Scientist Training Program” for a total of $1,632,240 for 5 years! 🙌
English

@DrAliAzizzadeh @CedarsSinai Beautiful 1 year follow up in a prohibitive risk patient with a commercially available device. Great work. Thank you for leading the way.
English

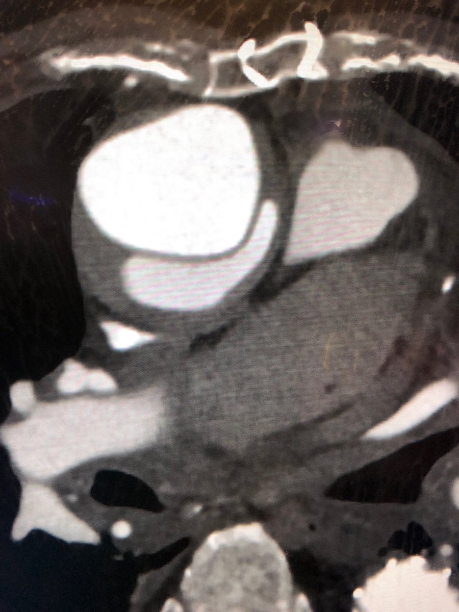
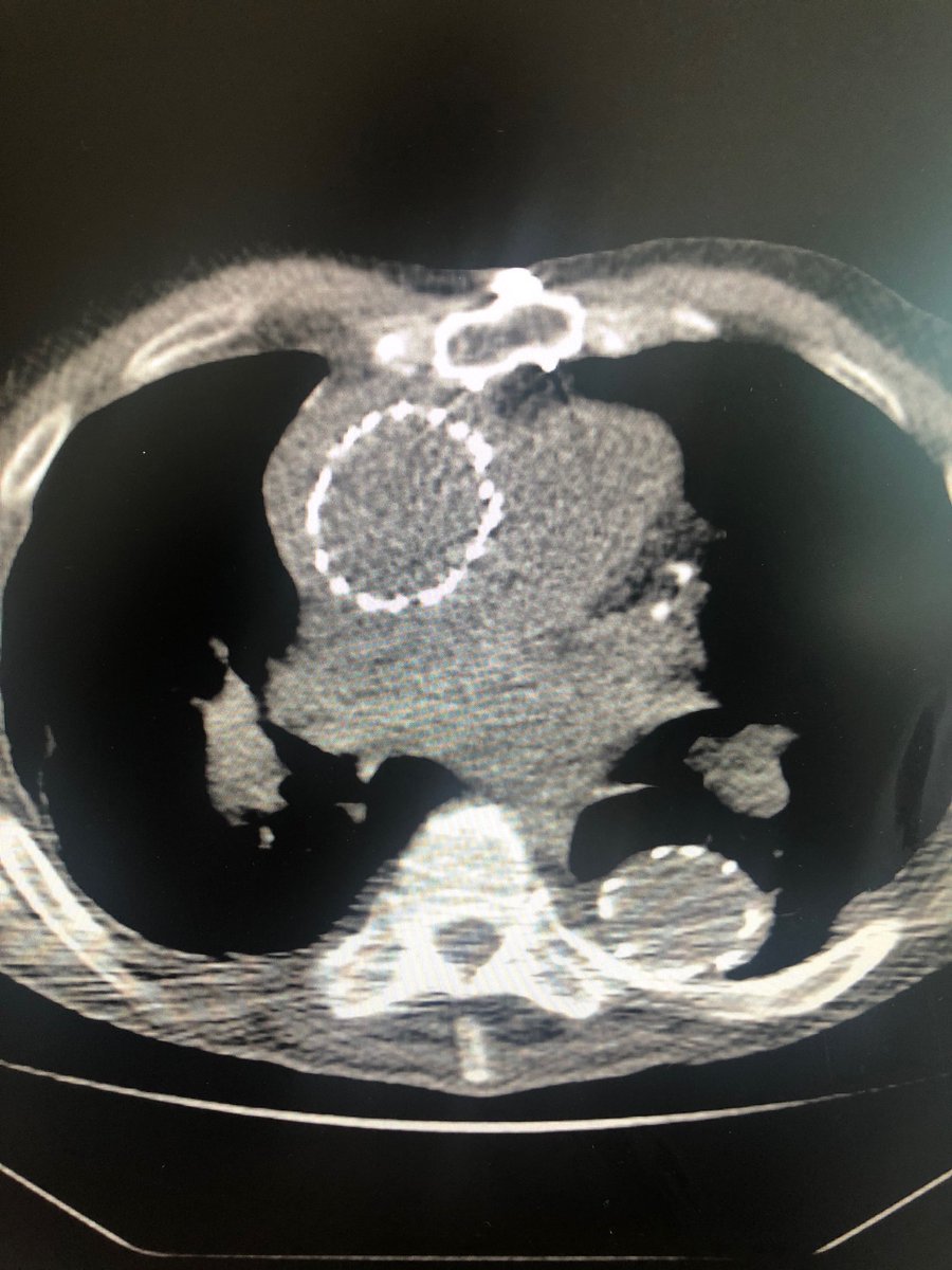
Emergency #TEVAR for #ruptured #typeA #dissection and #aneurysm in #nonagenarian. 1 year follow up #CT shows #healed #aorta #VascularSurgery @CedarsSinai




English
Brad Taylor retweetledi
Brad Taylor retweetledi

Managing OR schedules weeks in advance across multiple service lines to increase access and utilization. Working together to eliminate the inefficiency in OR scheduling. Visual Management System works looking forward up to 8 weeks. Marymount strong. @CinnamonDixon1 @ORVKM

English
Brad Taylor retweetledi

Vascular Surgery Crisis! Approximately 10% of trainees have no open aortic experience. Erosion of volume by endografting. Addressing this issue with the only open aortic course in the United States. youtube.com/watch?v=uw779j… @VascularSVS @ISEVSonline @SouthernVasc @SCVS1969

YouTube
English
Brad Taylor retweetledi

How do we know teams are “following the policy”? Process Confirmation is a great way for teams to get engaged and do the right thing to improve communication. Marymount OR strong! @ORVKM @CinnamonDixon1 @CPehotskyRN @NateHurle @tonywarmuth @LisaYerianMD



English

@Toursavadkohi Fantastic photo. Glad to see you guys having a great time.
English


