Mário

97 posts

Mário

Mário

@BuckBanzai08

Katılım Haziran 2020
264 Takip Edilen5 Takipçiler
Mário
Mário@BuckBanzai08·
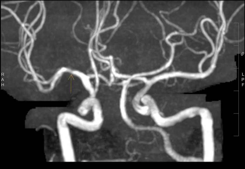
@Brandon_Beaber perfusion study and vessel wall. Optimize risk factors. Are there any ischemic lesions on the right MCA territory?
English
0
0
1
817
Dr. Brandon Beaber
Dr. Brandon Beaber@Brandon_Beaber·
Query for the neurologists. Healthy 37-year-old male. Incidental asymptomatic right middle cerebral artery stenosis noted on a Prenuvo scan. What is your recommendation?
Dr. Brandon Beaber tweet media
English
20
7
40
14.2K
Mário
Mário@BuckBanzai08·
@BraydonDymm Would low dose rivaroxaban be a contraindication for iv thrombolysis in acute stroke?
English
0
0
0
29
Braydon Dymm, MD
Braydon Dymm, MD@BraydonDymm·
COMPASS Protocol 🧭 ACC/AHA recommends low-dose rivaroxaban + aspirin in symptomatic PAD (COR 1, LOE A)
Braydon Dymm, MD tweet media
English
5
15
60
4.5K
Mário
Mário@BuckBanzai08·
@a_john Dá pesadelos à sesta
Português
0
0
0
71
a_john
a_john@a_john·
vamos todos juntos descobrir se esta decisão que eu tomei de ver todos os dias um episódio do Twin Peaks na minha hora de almoço foi uma boa ou má ideia.
Português
5
0
24
1.9K
Mário
Mário@BuckBanzai08·
@sharkinho Muito longe para mim... Obrigado!
Português
0
0
1
8
sharkinho
sharkinho@sharkinho·
Admiro agências capazes de respeitarem o compromisso perante os seus clientes e darem o litro para promoverem os imóveis, sabendo que neste negócio o primeiro passo para a malta ler o livro é obter-se um bom julgamento pela capa. Neste caso, uma moradia de 650k.
sharkinho tweet media
Português
21
0
106
8.9K
O Médico Corporativista
O Médico Corporativista@CEOdoSNS·
O Openevidence é o maior gamechanger na minha prática clinica. Mais alguém usa afincadamente? Tirar dúvidas a meio de consultas com fontes e dados fidedignos.
Português
8
0
12
690
LPDD
LPDD@ligaptdadepre_·
Thread dos jogadores do tugão com os melhores nomes😂
LPDD tweet media
Português
158
129
2.3K
256.4K
Nuñes
Nuñes@galatic_surfer·
@Liberdade_Lapas A Anabela, de Malhadas, diz que é mais de 4kg 1/2
Português
1
1
13
612
Alex Couto
Alex Couto@infinitogesto·
@s0vac0silva Li o Jardim das Tormentas desse cota porque vivi num Largo Aquilino Ribeiro na adolescência e acho que gastei o dicionário só nessa leitura 😂
Português
1
0
0
461
Alex Couto
Alex Couto@infinitogesto·
Há traduções de livros para o português que sejam obras de arte em si mesmas pela qualidade da tradução? Vi agora um bait deste género no Reddit da literatura e fiquei a pensar nisso. Geralmente reparo mais nas más experiências, mas sou todo ouvidos.
Português
31
0
29
7.6K
Mário
Mário@BuckBanzai08·
@escavacaixas Esse dos Tool foi o que mais tocou no meu carro!
Português
0
0
0
29
Mário
Mário@BuckBanzai08·
@CEOdoSNS Se bem me recordo, também para concorrer ao concurso, foi em poucos dias mas após pedido presencial.
Português
0
0
1
101
O Médico Corporativista
O Médico Corporativista@CEOdoSNS·
Quantos dias demora a ACSS a dar-me o certificado de especialista? 🤡
Português
7
0
2
757
Mário
Mário@BuckBanzai08·
@_pedroeramos Que horas eram para puxar para trás?
Português
0
0
1
236
Alex Couto
Alex Couto@infinitogesto·
Juntem-se a mim na ansiedade de saber se a pessoa que mais fez pelo entendimento da maior paixão da minha vida (no meu caso, a literatura), escreve umas palavrinhas mágicas para serem impressas em destaque no meu primeiro livro. E tentem adivinhar quem é, já agora.
Português
4
0
10
1.6K
Miss P
Miss P@miss0pepper·
A pedido de muitas famílias (...ou a algumas. A poucas, vá... A pedido de uma família uma... Ou a nenhuma, pronto!) regressamos com o passatempo #QualOFilme. Este é fácil, para retomarem o balanço. Já sabem, nada de spoilers para os demais, deixem emojis, sinais, subentendidos.
Miss P tweet media
Português
42
1
39
8.3K
Mário
Mário@BuckBanzai08·
@ianzelbo Too bad the shuffle option not working
English
0
0
0
15
Ian Zelbo
Ian Zelbo@ianzelbo·
The new macOS Sonoma screensavers are simply remarkable...
English
162
585
11.6K
923.5K
Mário
Mário@BuckBanzai08·
@ppaodemonio É do mais Sporting que há! Mas vamos lá ver... Não fizeram mais nada, não tiveram nenhuma ocasião de golo, não mandaram no jogo e nem bola tiveram... Tiveram arte de meter duas batatas em dois livres. 🤷🏽
Português
0
0
0
67
pão-demónio
pão-demónio@ppaodemonio·
Mais importante para nós, adeptos do Sporting, que se foi falta ou penalty é ficar preocupado com a forma em que abordamos um jogo em que estamos a ganhar 2-0 com mais um e isto acontece, ainda por cima situação que não é virgem neste campeonato.
Português
10
5
101
7.9K