
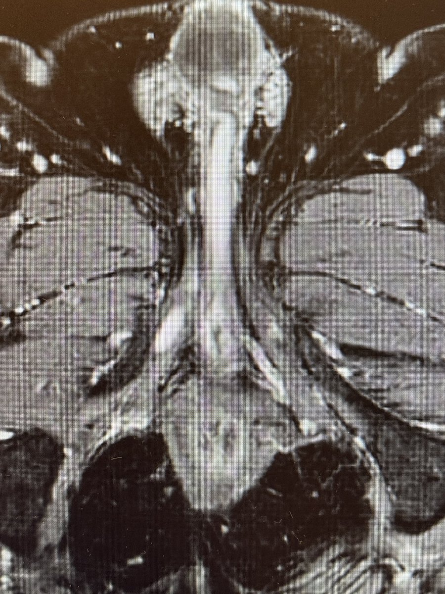
What about supportive care with corticosteroids for these patients in the concomitant setting 🤔. Coud this affect the efficacy of Nivolumab; is there a precise threshold of steroids that investigators permitted to use? Any author around ? #radonc
English






















