
Read now in CVIR 📖
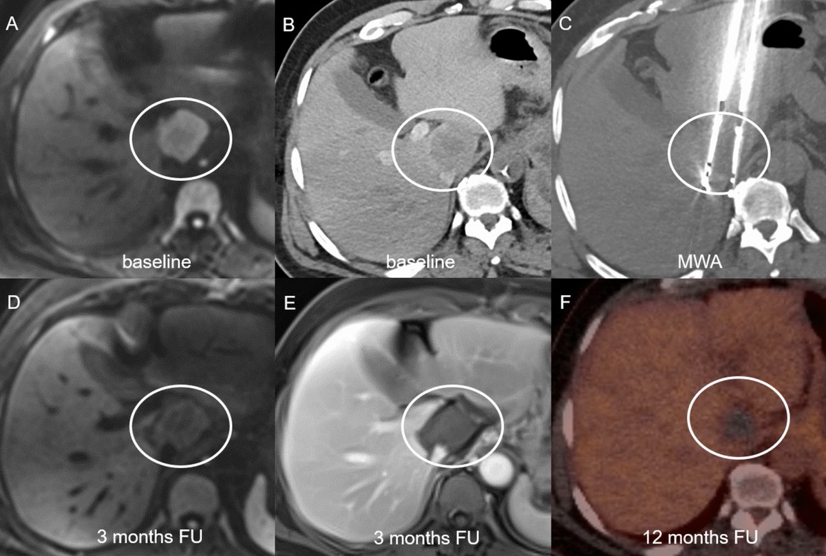
MARGIN: Randomized Trial of Arterial CT Portography Versus Standard Imaging Guidance for Percutaneous Thermal Ablation of Colorectal Liver Metastases
link.springer.com/article/10.100…
English
CVIR Journal
4.3K posts

@CVIR_Journal
Official account of CVIR - CIRSE's flagship journal and the longest-running journal in the field of IR (admin: CVIR Editorial Office).

































