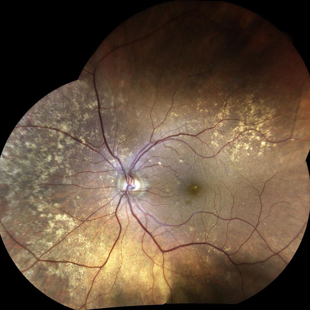
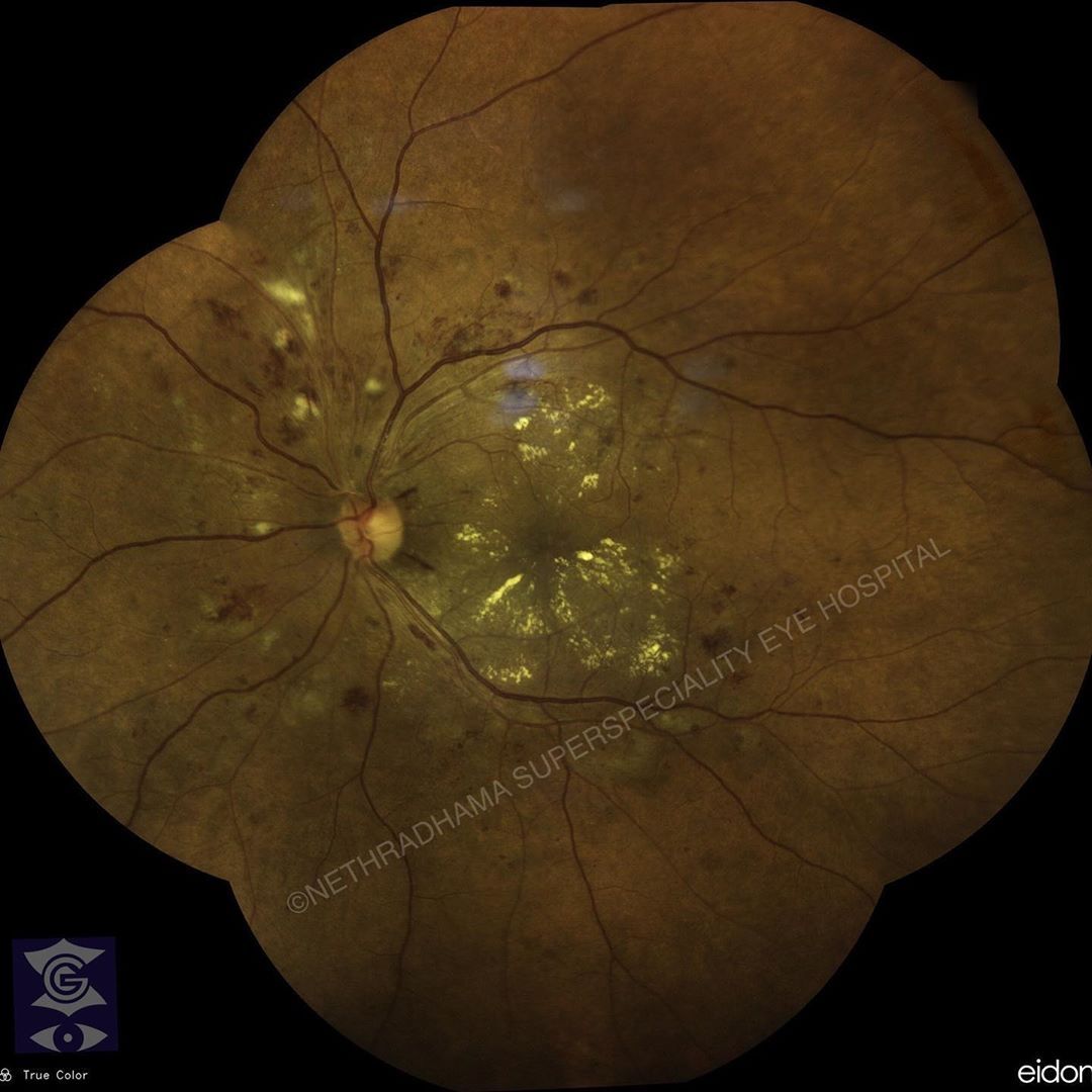
CENTERVUE retweetledi

.@icare_usa released two new, next-generation imaging and tonometry devices: CenterVue DRSplus confocal fundus imaging system and
Icare ic200 handheld tonometer for portable measurement of IOP. buff.ly/2WwYbOi #optometry


English





























