
Cleft Otolaryngology Forum
24 posts

Cleft Otolaryngology Forum
@CleftNotes
A group of otolaryngology clinicians and research professionals committed to sharing ongoing research in cleft palate and craniofacial differences.





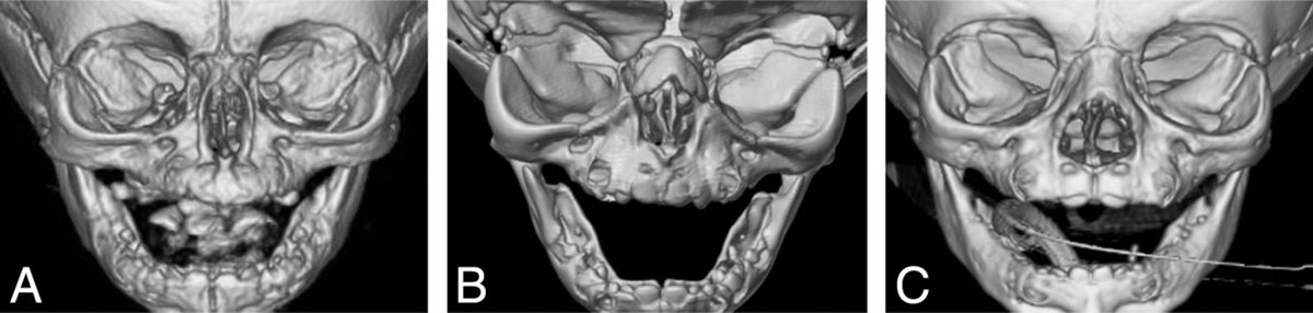
I don't often do case reports but when I do, they are super unusual. This cutie was born with no nasal passage. Nasal anatomy was undescribed in the literature. It will be interesting to see how his maxilla and nose develops #Arhinia journals.sagepub.com/eprint/RHJCFDD…


Studying rare diseases is challenging. My recent PCORI award was funded, so we can continue build our consortium of sites managing children with Pierre Robin Sequence and develop clinical research questions that are important to patients and their parents. #Funded #PRS

Congrats to Hilary McCrary on receiving the Charles Fergeson Award for the Best Clinical Research Project ASPO for our project "Increased Risk of Velopharyngeal Dysfunction in Patients Undergoing Staged‐Palate Repair." Well deserved #mentorship #Winning #PedsOTO #2019COSM

More great work shared at #cosm2019 by Dr Torrecillas! Shockingly, there is almost no studies on the benefits of #TeamCare in managing kids with #cleft palate. That changes now. More VPI diagnosis, VPI surgery and earlier treatment in those seen by the team.

Closing out #COSM2019 with our talk on the translation and validation of the Ecuadorian Dialect of #Spanish VPI #qualityoflife instrument, the VELO. Thanks to @tttollefsonmd, @UCDavis_OTOHNS and @globalsmile for making it possible. More to come!











