Sabitlenmiş Tweet

Thrilled to share our latest findings from the lab! 🚀
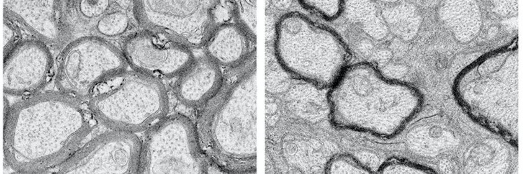
In our article "R-Ras1 and R-Ras2 regulate mature oligodendrocyte subpopulations", we dive into new mechanisms responsible for mature oligodendrocyte heterogeneity.
Check it out! 🧬
onlinelibrary.wiley.com/doi/10.1002/gl…

English

















