DrFecz_ retweetledi

@BrendonStilesMD @DrewMoghanaki @ellakaz @DouglasEWood1 @AshleyEProsper @pfccdirector @findlungcancer @arbmckee @LeciaSequist @F_Fintelmann_MD @QuadShotNews Absolutely agreed. Very misleading.
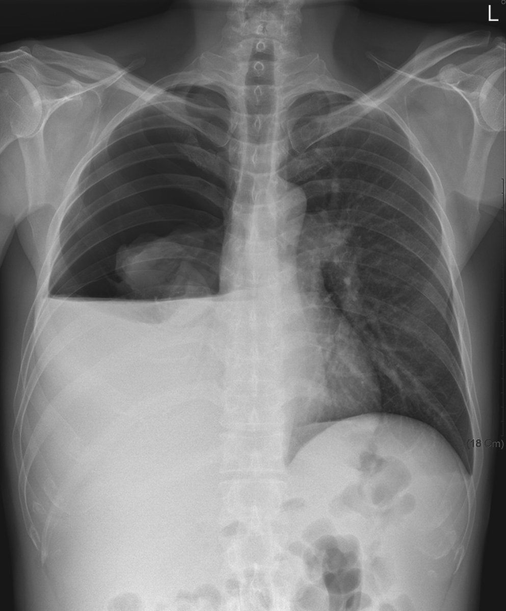
We have published from the @LaheyHospital lung cancer screening program a 0.95% invasive procedure (Dx or Tx) rate in patients without cancer with 0.36% grade III or higher complication rate.
Lung Cancer Screening is SAFE!

English
















