ساعد الغامدي
62 posts

ساعد الغامدي
@DMD_saed
طبيب اسنان عام حاصل على شهادة البكالوريوس من جامعة الملك سعود بن عبدالعزيز للعلوم الصحية بالحرس الوطني | مستشفى الدكتور سليمان الحبيب فرع التخصصي @HMG
Riyadh Katılım Mart 2023
186 Takip Edilen194 Takipçiler

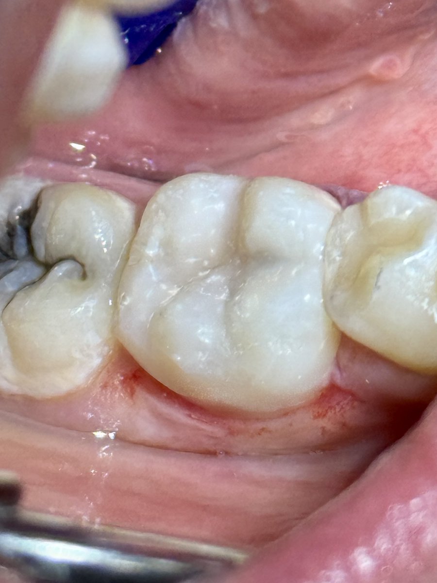
Deep MOB cavity for #46 restored with composite
Free hand buccal wall build up
Like nothing ever happened to this tooth😍




English

اللهم لك الحمد حتى ترضى، ولك الحمد إذا رضيت، ولك الحمد بعد الرضا.
بحمد الله وتوفيقه، حصلت على جائزة “اختيار الاستشاريين” كأفضل طبيب مقيم R1 في طب الطوارئ لهذا العام.
شرف كبير ووسام أعتز فيه، والحمد لله دائماً وأبداً 💙



EM Residency | KAMC-MNGHA@MNGHAED
🎊Best R1 award Dr. Abdulaziz Almahbub Dr. Khaled Alhabdan
العربية

اللهم لك الحمد حتى ترضى ولك الحمد اذا رضيت ولك الحمد بعد الرضا ولك الحمد على كل حال، بفضل من الله وتوفيقه تم تكريمي بجائزة افضل طبيب مقيم في طب الطوارئ R1 بمدينة الملك عبدالعزيز الطبية.


EM Residency | KAMC-MNGHA@MNGHAED
🎊Best R1 award Dr. Abdulaziz Almahbub Dr. Khaled Alhabdan
العربية

اللهم لك الحمد كله، ولك الشكر كله، وإليك يرجع الأمر كله علانيته وسره،
بفضل من الله وكرمه ، تم قبولي في برنامج البورد السعودي لإكمال الدراسات العليا في تخصص طب جذور وعصب الأسنان 🔬🤍
اللهم اجعلها بداية خير ووفقني لما تحب وترضى.
#matching2025

العربية

الحمد لله حمدًا يليق بجلاله وعظيم نعمه
بفضل الله، تم قبولي في برنامج البورد السعودي لطب أسنان الأسرة بجامعة الملك سعود.
مرحلة جديدة أبدأها بكل امتنان، وأسأل الله التوفيق والسداد.
#matching2025

العربية

الحمدلله حتى يبلغ الحمد منتهاه،
تم قبولي في برنامج البورد السعودي لطب أسنان الأطفال في مدينة الملك سعود الطبية.
اللهم اجعلها بدايه خير وتوفيق.
#matching2025

العربية

الحمدلله بفضل الله وتوفيقه
قُبلت في برنامج البورد السعودي لتخصص طب أسنان الأسرة بجامعة الملك سعود
#matching2025

العربية

الحمدلله حتى يبلغ الحمد منتهاه
تم قبولي في برنامج البورد السعودي في تخصص علاج جذور وعصب الأسنان في مدينة الملك عبدالعزيز الطبية للحرس الوطني بالرياض
الله يجعلها بداية خير وتوفيق يارب
#matching2025

العربية
















