Sabitlenmiş Tweet
DermpathPRO
3.3K posts

DermpathPRO
@DermPathPro
A Dermatopathology Educational Website
Katılım Eylül 2011
948 Takip Edilen2.1K Takipçiler

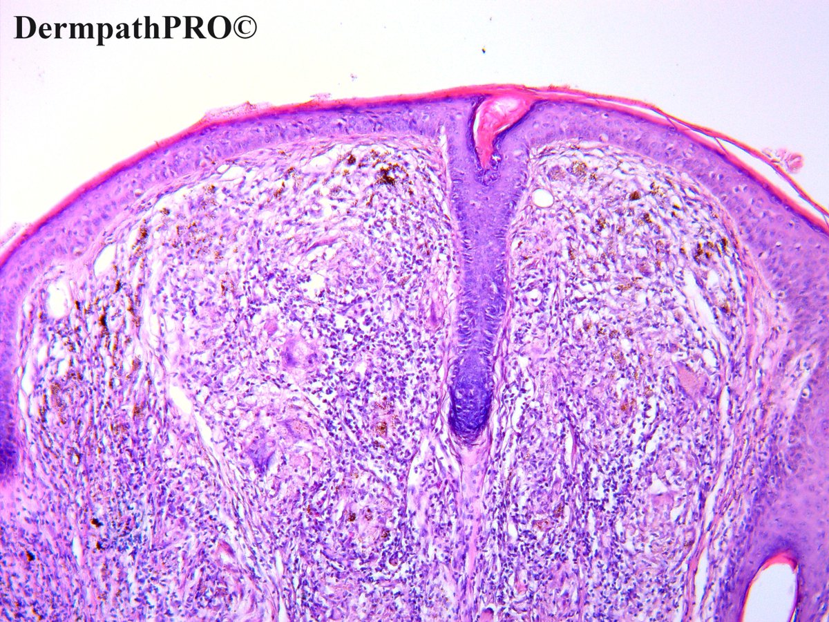
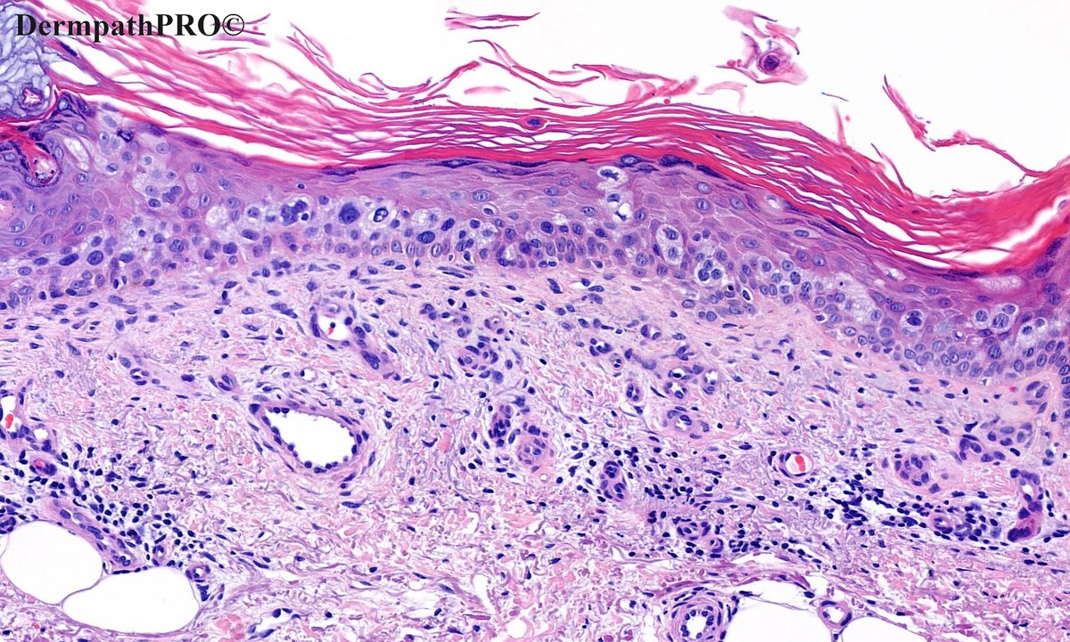
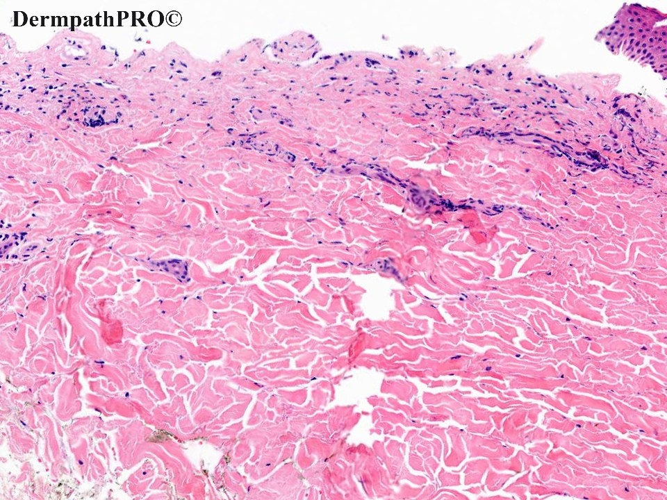
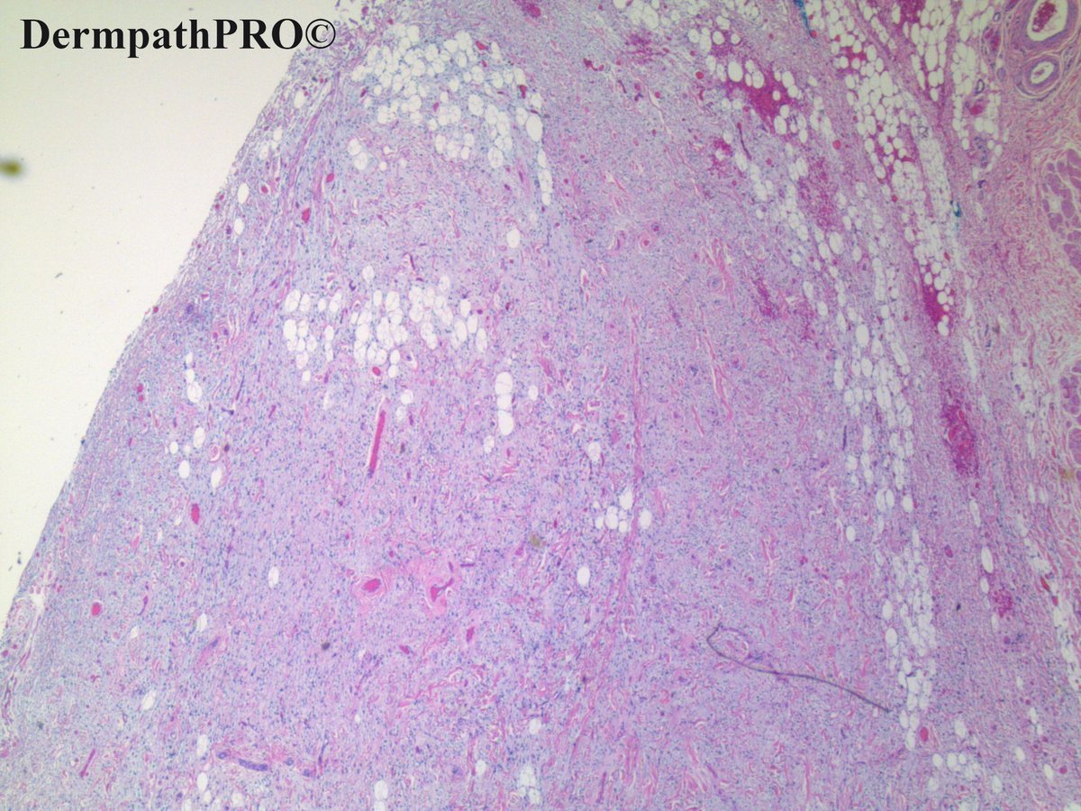
Case: 2729 - 22 December 2020
History: 69 year old male with caruncular lesion.
Posted By: Dr. Uma Sundram
🔎🔬
dermpathpro.com/spot-diagnosis…

English

Case: 2728 - 21 December 2020
History: M36, Renal stones. Fragility and blistering of skin on knees and elbows for 3 years.
Posted By: Dr. Richard Logan
🔎🔬
dermpathpro.com/spot-diagnosis…

English

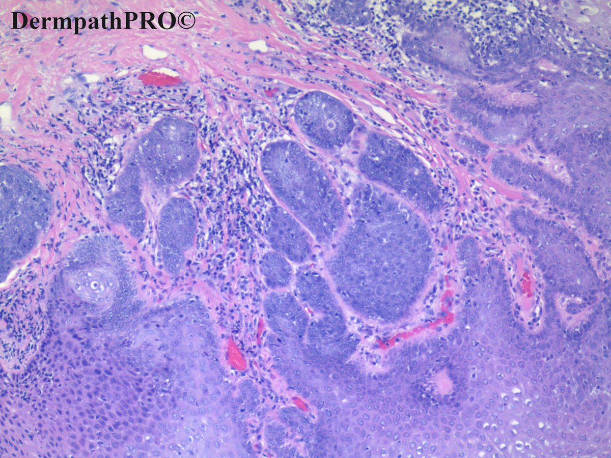
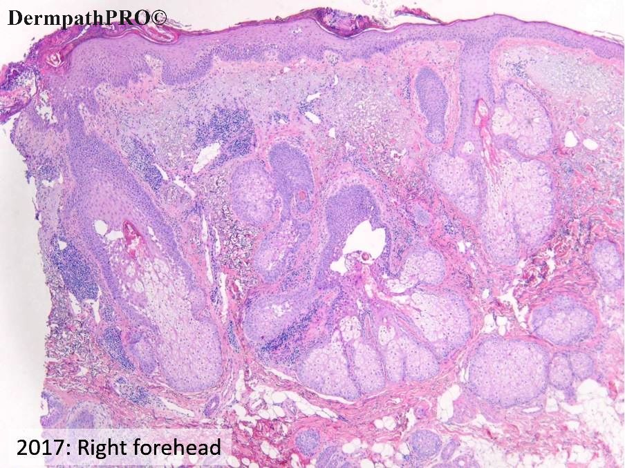
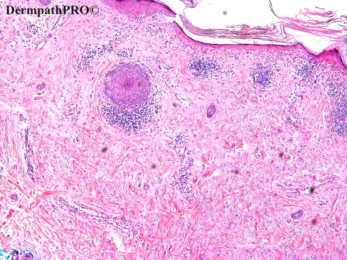
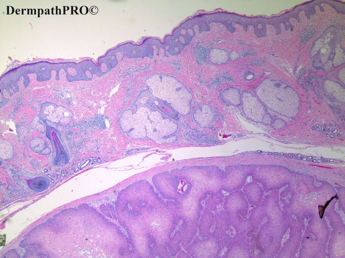
Case: 2727 - 18 December 2020
History: M70. Right forehead (2017). ?BCC.
Posted By: Dr. Richard Carr
🔎🔬
dermpathpro.com/spot-diagnosis…

English

Case: 2726 - 17 December 2020
History: 38F, 4 year history of itchy red spots – punch biopsy abdomen.
Posted By: Dr. Saleem Taibjee
🔎🔬
dermpathpro.com/spot-diagnosis…

English

Case: 2725 - 16 December 2020
History: 61 year-old with rash on neck, chest, and arms for 1 year, worse with sun exposure.
Posted By: Dr. Hafeez Diwan
🔎🔬
dermpathpro.com/spot-diagnosis…

English

Case: 2724 - 15 December 2020
History: 43 year old male with scalp lesion.
Posted By: Dr. Uma Sundram
🔎🔬
dermpathpro.com/spot-diagnosis…

English

Case: 2723 - 14 December 2020
History: F51, History of pulmonary sarcoidosis, in remission since 8 years. Micro blading for eyebrows one year ago. Erythematous papules on both eyebrows 1 month ago.
Posted By: Dr. Mona Abdel-Halim
🔎🔬
dermpathpro.com/spot-diagnosis…

English

Case: 2722 - 11 December 2020
History: M19, Scalp. 7mm changing pigmented lesion ?Naevus ?MM
Posted By: Dr. Richard Carr
🔎🔬 For more details - Please visit
dermpathpro.com/spot-diagnosis…

English

Case: 2721 - 10 December 2020
History: 78F, Pink brown scaly plaque on the lower leg.
Posted By: Dr. Saleem Taibjee
🔎🔬 For more details - Please visit
dermpathpro.com/spot-diagnosis…

English

Case: 2720 - 09 December 2020
History: M44, Rapidly growing lesion on right zygoma.
Posted By: Dr. Richard Logan
🔎🔬 For more details - Please visit
dermpathpro.com/spot-diagnosis…

English

Case: 2719 - 08 December 2020
History: 64 year old female with lesion of the left caruncle.
Posted By: Dr. Uma Sundram
🔎🔬 For more details - Please visit
dermpathpro.com/spot-diagnosis…

English

Case: 2718 - 07 December 2020
History: 73M, Blistering rash abdomen.
Posted By: Dr. Iskander H. Chaudhry
🔎🔬 For more details - Please visit
dermpathpro.com/spot-diagnosis…

English

Case: 2717 - 04 December 2020
History: M75. Thigh. Clinically KA. History of extensive psoriasis, on methotrexate, many AKs and BCCs.
Posted By: Dr. Richard Carr
🔎🔬 For more details - Please visit
dermpathpro.com/spot-diagnosis…

English

Case: 2716 - 03 December 2020
History: 27F, excision right back, longstanding pigmented lesion, incidentally noticed by GP when the patient attended for an unrelated medical reason. No other history available.
Posted By: Dr. Saleem Taibjee
🔎🔬
dermpathpro.com/spot-diagnosis…

English

Case: 2715 - 02 December 2020
History: 87F, Left cheek growing lesion.
Posted By: Dr. Iskander H. Chaudhry
🔎🔬 For more details - Please visit
dermpathpro.com/spot-diagnosis…

English

Case: 2714 - 01 December 2020
History: 67 year old female with left cheek lesion.
Posted By: Dr. Uma Sundram
🔎🔬 For more details - Please visit
dermpathpro.com/spot-diagnosis…

English

Case: 2713 - 30 November 2020
History: M28, Very long history (dating since early childhood as the patient recalls). Pruritic papules and nodules over both legs, some are crusted ......
Posted By: Dr. Mona R E Abdel-Halim
🔎🔬
dermpathpro.com/spot-diagnosis…

English

Case: 2712 - 27 November 2020
History: F90, Central chest. 3/12 hyperkeratotic nodule ?SEBK, ?BAK, ?resolving KA
Posted By: Dr. Richard Carr
🔎🔬 For more details - Please visit
dermpathpro.com/spot-diagnosis…

English

Case: 2711 - 26 November 2020
History: 76F, lesion right upper lip – Courtesy of Luiza Elena and Corrado D’Arrigo.
Posted By: Dr. Saleem Taibjee
🔎🔬 For more details - Please visit
dermpathpro.com/spot-diagnosis…

English

Case: 2710 - 25 November 2020
History: 70M, Right forehead excision. 6mm nodule 1-2 months.
Posted By: Dr. Iskander H. Chaudhry
🔎🔬 For more details - Please visit
dermpathpro.com/spot-diagnosis…

English
