
Doc Navarrow
4.8K posts

Doc Navarrow
@DocNavarrow
Neuroradiologist. MD, PhD, EDiNR Academic Editor at European Journal of Cancer Care Advisory Editorial Committee, @RevistaRADIOLO2 Medical AI trainer



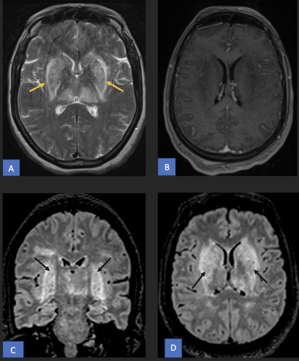
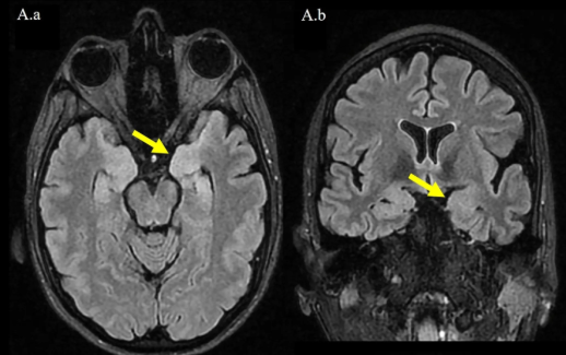
💡Lentiform fork sign on MRI typically points to uremic encephalopathy… but not always. ✅Normal renal function should raise suspicion. In this case, CSF revealed anti-NMDA receptor antibodies → autoimmune encephalitis. doi.org/10.1016/j.radc…



👱♀️58F with 2 weeks of confusion, behavioral change, and seizures. Labs unremarkable, renal function normal. 🍴On MRI I see… a fork? 👀What do you see?







A woman was diagnosed with MS in 2019. A cerebrospinal fluid sample (obtained from spinal anaesthesia in a research study) 15 years prior showed antibodies against Epstein-Barr virus (EBV). A case report from Spain pubmed.ncbi.nlm.nih.gov/41841779/

👩💼25F with 1-year history of low back pain and progressive left-sided radiculopathy, no motor deficit, normal reflexes. Symptoms worsening despite conservative management. 🩺What’s your differential?


👱♀️58F with 2 weeks of confusion, behavioral change, and seizures. Labs unremarkable, renal function normal. 🍴On MRI I see… a fork? 👀What do you see?







🤵♀️A 41-year-old woman develops progressive dysphagia, diplopia, and limb weakness. Days later she deteriorates with seizures and decreased consciousness. Brain MRI is performed during ICU admission. 🥼What is the most likely diagnosis?








