Ijeoma Ezeife MD retweetledi
Ijeoma Ezeife MD
1.1K posts

Ijeoma Ezeife MD
@Doctor___ICE
Associate Program Director ChristianaCare Cardiology Fellowship. Tweets are my own opinion not medical advice.
Katılım Ocak 2011
277 Takip Edilen172 Takipçiler

@kenethegod I know but apparently they are now saying once a week but with really great quality can be as good. These people and their data keep changing lol
English

@Doctor___ICE Oh okay. It’s the teaching here and if I remember in Nigeria too.
English
Ijeoma Ezeife MD retweetledi
Ijeoma Ezeife MD retweetledi
Ijeoma Ezeife MD retweetledi

When your patient comes all prepared for cardiac ablation. 😊😊😊 #ablationist #cardiacep #electrophysiology

English
Ijeoma Ezeife MD retweetledi

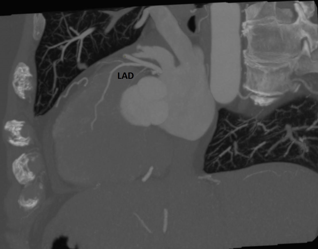
Reading #YesCCT I have seen many intramuscular LAD but this one struck me as particularly deep in the myocardium and long (44mm) in a chest pain pt #MorristownCards @Heart_SCCT @mmartinezheart @LindaGillamMD @CardiacConsult @lillian_aldaia @PhilGenereuxMD

English
Ijeoma Ezeife MD retweetledi

1/7 Beautiful case of quadricuspid aortic valve #whyCMR with analysis of #aorticregurg below
English
Ijeoma Ezeife MD retweetledi

Nice case of #YesCCT RCA to coronary sinus (CS) fistula (red arrow) with giant tortuous RCA @Heart_SCCT @AChoiHeart @mmartinezheart @CardiacConsult @lillian_aldaia @LindaGillamMD

English
Ijeoma Ezeife MD retweetledi

#TipsForNewDocs
Abnormal ECGs: "forest-vs-the-trees" approach:
Truly abnormal? (Sustained VT, ST elevation MI)
Abnormal in context? (LBBB, long QTc)
Variant of normal? (iRBBB)
Abnormal vs need clinical info vs variant = more clinical relevance!
#kittlesonrules
English
Ijeoma Ezeife MD retweetledi

Title: 'The magnet tells a story'
Remote cardiac surgery at an outside hospital, progressive fatigue and intolerance to increasing GDMT dose @seth_uretsky @mmartinezheart @CardiacConsult @lillian_aldaia @YashPatel_MD @SalamonJn @Doctor___ICE @NMamdaniMD
GIF
English
Ijeoma Ezeife MD retweetledi

routine #YesCCT incidental finding of a fistulous connection between a branch from the LMCA to the prox PA (white arrow) @Heart_SCCT @LindaGillamMD @mmartinezheart @AtlanticHealth

English
Ijeoma Ezeife MD retweetledi

The #MMCFrontiers conference is back for 2020 and it’s all virtual. An amazing faculty and you dont have to be in the #GardenState to attend! Listen/watch a truly World class group discuss their areas of expertise. Like a #MatserClass In cardiology. register.gotowebinar.com/register/68217…

English
Ijeoma Ezeife MD retweetledi

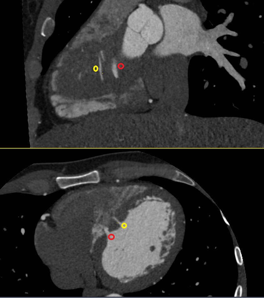
Nice example of a sort of Type IV LAD #YesCCT short LAD which becomes a septal branch with a branch off the prox RCA coursing anterior to the RVOT to the anterior interventricular groove @Heart_SCCT



English
Ijeoma Ezeife MD retweetledi







